An Abdominal Mass - Gastroenterology
Cleve

An Abdominal Mass - Gastroenterology

2344 × 2026 px August 9, 2025 Peter Cleve

An Abdominal Mass - Gastroenterology is a high-quality image in the Cleve collection, available at 2344 × 2026 pixels resolution — ideal for both digital and print use.

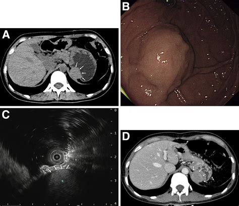
Discovering a mass in stomach can be concerning. Learn about potential causes, common symptoms like abdominal pain or bloating, and why timely diagnostic testing is essential. Understand when to consult a gastroenterologist for an accurate medical diagnosis, imaging scans, and effective treatment options to address abnormal growths or tumors in the digestive tract.

Image Details

TitleAn Abdominal Mass - Gastroenterology
Dimensions2344 × 2026 px
CategoryCleve
PublishedAugust 9, 2025
AuthorZeus
Downloads1,424
Views1,795

Read full article: Mass In Stomach

// More Images