Rp

Magnetic Resonance Venography Brain

Magnetic Resonance Venography Brain

When you experience persistent, unexplained headaches, vision disturbances, or other neurological symptoms, your doctor may suggest advanced imaging to get to the bottom of the issue. One highly specialized tool used to visualize the complex network of blood vessels returning oxygen-depleted blood from the brain is Magnetic Resonance Venography (MRV). Understanding what the Magnetic Resonance Venography brain procedure entails can help alleviate anxiety and prepare you for what to expect during this diagnostic journey.

What is Magnetic Resonance Venography (MRV) of the Brain?

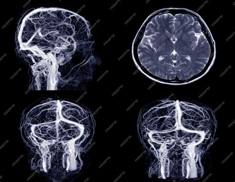
Magnetic Resonance Venography (MRV) is a sophisticated medical imaging technique that uses magnetic fields and radio waves to generate detailed images of the cerebral veins. Unlike a standard MRI, which primarily looks at the brain tissue itself, an MRV is specifically designed to assess blood flow and identify potential abnormalities within the venous system.

Doctors frequently use this scan to detect issues such as cerebral venous thrombosis (blood clots in the brain's veins), narrowing of the veins (stenosis), or other vascular anomalies that might be affecting cerebral circulation.

Medical imaging of the brain

Indications for an MRV Brain Scan

Medical professionals typically order a Magnetic Resonance Venography brain scan when they suspect a problem that cannot be identified through routine imaging. Common clinical reasons for ordering this test include:

  • Unexplained persistent headaches: Particularly those that are severe or have changed in pattern.
  • Suspected Cerebral Venous Thrombosis (CVT): A condition where a blood clot forms in the dural venous sinuses, which can be life-threatening if not diagnosed early.
  • Increased intracranial pressure: Symptoms such as vision loss, ringing in the ears (tinnitus), or nausea.
  • Evaluation of suspected stroke: Specifically in cases where a venous cause is suspected rather than an arterial one.
  • Monitoring vascular anomalies: Tracking the progress of known issues like arteriovenous malformations (AVMs).

How the Procedure Works

The core technology behind an MRV is the same as a standard MRI machine—a large tube surrounded by a powerful circular magnet. For an MRV, the process is often enhanced with the use of a gadolinium-based contrast agent. This contrast dye is injected into a vein in your arm, which helps the blood vessels "light up" on the resulting images, providing a clear contrast between the vessels and the surrounding brain tissue.

The imaging machine detects the signals emitted by the blood flow within these enhanced vessels, creating a high-resolution map of the venous drainage system. The entire process is non-invasive, meaning no surgical intervention is required.

⚠️ Note: Always inform your physician if you have any metal implants, such as pacemakers, cochlear implants, or certain surgical clips, as the powerful magnet in the MRV can pose serious risks to these devices.

Comparison of Imaging Modalities

It is common to confuse different types of neuroimaging. The following table helps distinguish between common diagnostic tests used for brain health.

Imaging Type Primary Focus Uses Contrast?
Brain MRI Soft tissue/Brain structure Sometimes
Magnetic Resonance Venography (MRV) Veins and venous blood flow Usually
Magnetic Resonance Angiography (MRA) Arteries and arterial blood flow Usually
CT Scan Bone and emergency structure Sometimes

Preparing for Your MRV Scan

Preparation for a Magnetic Resonance Venography brain scan is relatively straightforward. Because the machine is a magnet, safety is the primary concern.

  • Remove metal items: Jewelry, watches, hairpins, and glasses must be removed before entering the exam room.
  • Review medical history: Ensure your radiologist is aware of any kidney conditions, as contrast agents can occasionally affect kidney function.
  • Dress comfortably: Wearing loose-fitting clothing without metal zippers or snaps is recommended.
  • Fasting requirements: Depending on the facility, you may be asked not to eat or drink for a few hours before the scan, especially if contrast is used.

What to Expect During the Procedure

Once you are positioned on the sliding table, you will be moved into the center of the scanner. You will hear loud clicking or humming noises during the process; this is the magnetic coils functioning. You will be provided with earplugs or headphones to make this more comfortable.

It is crucial to remain perfectly still during the scan, as movement can blur the images and make them difficult for the radiologist to interpret. If you feel claustrophobic, speak with your doctor beforehand, as they may offer strategies or medication to help you feel more relaxed.

💡 Note: The injection of contrast dye may cause a cool or warm sensation in your arm; this is normal and typically dissipates within a few minutes.

Interpreting the Results

After the scan is complete, a neuroradiologist—a doctor who specializes in brain imaging—will analyze the images. They will look for signs of blood clots, narrowed vessels (stenosis), or malformations that could be disrupting normal circulation. Your primary physician will receive a formal report and will schedule a follow-up appointment to discuss these findings with you in detail and determine the appropriate path forward for treatment if necessary.

Final Thoughts

Advancements in diagnostic imaging have made it much easier for medical teams to pinpoint the sources of neurological distress. A Magnetic Resonance Venography brain scan is a safe, effective, and precise way to gain critical insights into your cerebral venous system. While the prospect of undergoing an imaging procedure can feel daunting, understanding the process and knowing that you are in the hands of trained medical professionals can make the experience much more manageable. If you are experiencing symptoms, prioritize your health by following your doctor’s recommendations for diagnostic imaging, as early detection is often the most significant factor in successfully managing your neurological wellbeing.

Related Terms:

  • does mrv need contrast
  • contrast venography
  • what does an mrv do
  • mrv vs mri
  • what is an mrv scan
  • mrv with or without contrast