Discovering that you have a lung nodule can be an understandably anxious experience. Often referred to as a "spot on the lung," a lung nodule is a small growth or lesion that appears on imaging tests like X-rays or CT scans. Because these findings are increasingly common due to the widespread use of high-resolution diagnostic imaging, it is crucial to understand that most lung nodules are benign and do not necessarily indicate a serious health condition. However, understanding lung nodule symptoms—or the frequent lack thereof—is the first step toward informed medical consultation and peace of mind.
What Exactly is a Lung Nodule?
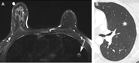
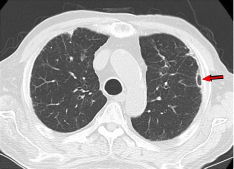
A lung nodule is defined as a growth measuring less than 3 centimeters in diameter. If the growth is larger than 3 centimeters, it is typically classified as a lung mass, which requires a more urgent diagnostic approach. These nodules can be caused by various factors, including old infections, inflammation, or scar tissue. While the term "lung nodule" might sound alarming, it is important to remember that they are often incidental findings discovered during scans performed for completely unrelated reasons, such as a routine physical or after a minor injury.

The Truth About Lung Nodule Symptoms
One of the most frequently asked questions is, "What do I feel if I have a nodule?" The reality is that most lung nodules do not cause any symptoms at all. Because the lungs do not have sensory nerves that detect pain in the same way your skin does, small growths often go completely unnoticed. They are usually identified during screenings, not because of physical discomfort.
However, if a nodule grows large enough to irritate the airways or compress nearby structures, you may start to experience certain lung nodule symptoms. These can include:
- Persistent cough that does not go away or worsens over time.
- Shortness of breath or difficulty catching your breath during mild physical activity.
- Chest pain that may be localized or feel like tightness in the ribcage.
- Wheezing or an unusual whistling sound when breathing.
- Recurrent respiratory infections, such as bronchitis or pneumonia.
- Unexplained hoarseness or changes in voice quality.
⚠️ Note: If you experience sudden, sharp chest pain accompanied by difficulty breathing, seek emergency medical care immediately, as these may indicate other acute pulmonary issues unrelated to a stable nodule.
Risk Factors and Characteristics
Determining whether a nodule requires treatment depends on its appearance, size, and your personal medical history. Physicians use several criteria to assess the risk of malignancy. For example, solid nodules with smooth borders are generally less concerning than those with irregular or "spiculated" edges. The following table summarizes how medical professionals categorize risk factors associated with these findings.
| Factor | Low-Risk Indicators | High-Risk Indicators |
|---|---|---|
| Size | Less than 8mm | Greater than 8mm |
| Appearance | Smooth, well-defined | Irregular, spiculated |
| Growth Rate | Stable over 2 years | Rapid doubling time |
| Patient History | Non-smoker, young age | Heavy smoker, over 65 |
Diagnostic Steps to Consider
If your doctor discovers a nodule, they will likely start with a "watch and wait" approach. This involves periodic surveillance using low-dose CT scans to monitor the nodule for changes in size or density. If the nodule remains stable over two years, it is typically deemed benign and no further action is required.
For nodules that appear suspicious, your healthcare provider may suggest further testing, which could include:
- PET Scans: These help differentiate between benign and malignant tissue by measuring metabolic activity.
- Biopsy: A sample of the tissue may be collected via a needle or through bronchoscopy to examine cells under a microscope.
- Pulmonary Function Tests: These evaluate how well your lungs are working overall.
💡 Note: Always consult with a pulmonologist or a thoracic specialist. They are specifically trained to interpret imaging patterns and determine the most appropriate follow-up schedule based on current clinical guidelines.
Lifestyle and Prevention Strategies
While you cannot always prevent the development of a nodule, you can focus on overall lung health to reduce the risk of more serious issues. Smoking cessation is the single most effective way to improve your lung health. Additionally, reducing exposure to environmental toxins such as radon, asbestos, and heavy air pollution can significantly lower your risk of developing lung complications.
Maintaining a healthy, anti-inflammatory diet rich in antioxidants—such as leafy greens, berries, and nuts—supports immune function. Regular cardiovascular exercise also strengthens the respiratory system, making it easier to identify if a change in your lung function—a key indicator of potential issues—should occur.
Managing the Psychological Aspect
It is perfectly normal to feel stressed when waiting for follow-up results. Many patients find it helpful to write down a list of questions before their appointments. Focus on asking about the specific size of the nodule, its location, and the projected timeline for future scans. Understanding that doctors are often being "cautious" rather than "alarmed" can help reduce the anxiety associated with the diagnosis.
Being informed is your best defense against health-related stress. While lung nodule symptoms are rarely the initial sign of a problem, monitoring your overall wellness and attending regular check-ups ensures that any changes are caught early. By working closely with your healthcare team, you can navigate the diagnostic process with clarity, focus, and a proactive mindset. If you have been told you have a nodule, remember that time is often a diagnostic tool in itself; waiting for follow-up imaging is a standard medical protocol designed to provide the most accurate assessment of your health. Stay consistent with your follow-up appointments and maintain open communication with your medical team to ensure the best possible outcomes for your long-term respiratory health.
Related Terms:
- can lung nodules affect breathing
- symptoms of lung nodules women
- can benign lung nodules grow
- can lung nodules be removed
- 9 cm nodule on lung
- non solid lung nodules