Discovering that your newborn or young child is struggling with feeding, speech, or oral comfort can be a stressful experience for any parent. One of the most frequently overlooked yet impactful factors in these challenges is Lip And Tongue Tie. These conditions, medically known as ankyloglossia for the tongue and a restricted labial frenulum for the lip, occur when the thin membrane connecting the tongue to the floor of the mouth or the lip to the gum is too tight or thick. While these anatomical variations are relatively common, understanding their implications on early development, nutrition, and long-term health is essential for ensuring your child thrives.
Understanding the Basics of Lip And Tongue Tie

To put it simply, a Lip And Tongue Tie restricts the normal range of motion for these oral structures. The tongue requires significant mobility to facilitate proper latching during breastfeeding, efficient chewing, and clear speech articulation. Similarly, the upper lip needs to be able to flange outward to create a deep, airtight seal against the breast or bottle nipple.
When these tissues—the frenulums—are shorter or tighter than they should be, they effectively act as a tether. This restriction can lead to a cascade of difficulties. It is important to remember that not every tie requires intervention, but when it causes functional impairment, identifying it early can make a world of difference for both the infant and the breastfeeding parent.
Symptoms and Signs to Look For
Recognizing the symptoms of a Lip And Tongue Tie often involves observing behaviors during feeding or developmental milestones. The signs can be subtle in the beginning, but they often become more pronounced as the child grows.
Signs in Infants
- Difficulty maintaining a deep latch during breastfeeding.
- Clicking sounds during feeding, indicating a broken seal.
- Excessive gas or fussiness after eating due to swallowing air.
- Slow weight gain or failure to thrive.
- The breastfeeding parent experiences significant pain, cracking, or bleeding of the nipples.
Signs in Older Children
- Difficulty chewing solid foods or moving food around the mouth.
- Speech articulation issues, particularly with sounds like “t,” “d,” “l,” and “r.”
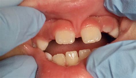
- Gaps forming between the two front teeth (common with lip ties).
- Mouth breathing or habits related to an inability to keep the mouth closed comfortably.
Comparing the Impact of Lip and Tongue Ties
While often discussed together, they affect oral function in distinct ways. The following table highlights the primary differences in how these restrictions manifest:
| Condition | Primary Functional Impact | Common Developmental Concern |
|---|---|---|
| Tongue Tie | Restricted elevation and protrusion of the tongue. | Feeding inefficiency, speech delays, tongue-thrust patterns. |
| Lip Tie | Inability to flange the upper lip outward. | Difficulty maintaining a vacuum seal, potential for tooth decay. |
Seeking a Professional Diagnosis
If you suspect your child has a Lip And Tongue Tie, it is crucial to seek an evaluation from a knowledgeable professional. This is not something that should be self-diagnosed. A comprehensive assessment typically involves evaluating the “functional” ability of the tongue, not just the physical appearance of the tie.
Professionals who specialize in diagnosing and treating these conditions include:
- Pediatricians or Pediatric Dentists.
- International Board Certified Lactation Consultants (IBCLC).
- Speech-Language Pathologists (SLP).
- Myofunctional therapists.
💡 Note: A professional assessment will look at both the anatomy and the actual function—how the child moves their tongue and lip during tasks—before recommending any treatment.
Treatment Options: Frenectomy and Beyond
When a tie is deemed symptomatic, a common procedure known as a frenectomy may be recommended. This is a quick procedure that releases the restrictive tissue. Modern practices often utilize a laser for this release, as it offers precision and promotes faster healing compared to traditional surgical scissors.
However, simply “cutting the tie” is rarely the entire solution. The brain and muscles have learned to function with the restriction for months or years. Therefore, rehabilitation is key.
The Importance of Rehabilitation
After a release procedure, exercises and bodywork are often necessary to ensure the best outcome. These may include:
- Oral motor exercises: To help the child learn how to move their tongue and lips correctly.
- Cranio-sacral therapy or pediatric chiropractic care: To address muscular tension in the neck, shoulders, and jaw that developed as a result of the restriction.
- Lactation counseling: To help re-train the infant to latch effectively with their new range of motion.
Addressing Long-Term Development
Leaving a significant Lip And Tongue Tie untreated can lead to long-term implications. As children enter school, speech issues may become more apparent. Furthermore, the way the tongue rests in the mouth influences jaw development. If the tongue is constantly held low due to a tie, it can lead to a narrower palate, which may contribute to sleep-disordered breathing or orthodontic issues later in life. Early intervention can often mitigate these downstream effects, allowing for more natural growth and development of the oral cavity.
Navigating the concerns surrounding a potential lip or tongue tie can feel overwhelming, but it is a manageable situation when addressed with the right information and professional support. By focusing on both the anatomical restriction and the functional challenges, parents can take proactive steps to improve their child’s comfort and long-term health. If you notice persistent feeding struggles, speech difficulties, or other signs of oral restriction, reach out to a trusted professional to discuss an evaluation. Addressing these issues early on provides the best opportunity for your child to develop strong oral habits and enjoy a healthier, more comfortable future.
Related Terms:
- tongue tie release medical term
- lip and tongue tie specialist
- congenital maxillary lip tie
- lip tie baby vs normal
- upper lip tie in infants
- tongue tied baby and breastfeeding