Mayo

Leucemia Linfoblastica Aguda

Leucemia Linfoblastica Aguda

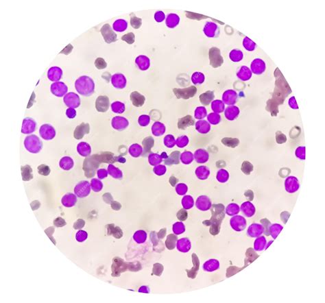
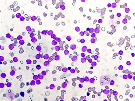
La Leucemia Linfoblastica Aguda (LLA) es una afección compleja y desafiante que afecta principalmente al sistema hematopoyético, específicamente a los glóbulos blancos. Esta neoplasia maligna se caracteriza por la proliferación descontrolada de linfoblastos inmaduros en la médula ósea, lo que interfiere con la producción normal de células sanguíneas sanas. Aunque históricamente se consideraba una enfermedad de pronóstico sombrío, los avances significativos en la medicina moderna han transformado drásticamente el panorama para los pacientes, logrando tasas de remisión esperanzadoras mediante protocolos terapéuticos altamente especializados.

Entendiendo la Fisiopatología de la LLA

La Leucemia Linfoblastica Aguda se origina cuando una célula madre linfoide sufre una mutación genética. Estas células mutadas no logran madurar correctamente y comienzan a acumularse en la médula ósea, desplazando a las células sanas que producen glóbulos rojos, plaquetas y glóbulos blancos funcionales. Esta invasión medular es la causa directa de los síntomas clínicos más comunes, como la anemia, la tendencia a sufrir hemorragias y la susceptibilidad a infecciones recurrentes.

Es fundamental destacar que la LLA es la forma más común de leucemia en niños, aunque también puede presentarse en adultos, donde suele mostrar un comportamiento biológico más complejo y resistente. La diferenciación entre los linajes de células B y células T es un paso crítico en el diagnóstico, ya que cada subtipo responde de manera distinta a los diversos esquemas de quimioterapia.

Principales Manifestaciones Clínicas

Los síntomas de la Leucemia Linfoblastica Aguda suelen aparecer de manera rápida, reflejando el fallo de la médula ósea para realizar sus funciones básicas. Entre las señales de alerta que deben ser evaluadas de inmediato por un especialista se encuentran:

  • Fatiga extrema y palidez: Causadas por una deficiencia severa de glóbulos rojos (anemia).
  • Fiebres recurrentes: Debido a la incapacidad del sistema inmunitario para combatir infecciones.
  • Hemorragias inexplicables: Pequeños puntos rojos en la piel (petequias) o sangrado de encías y nariz, debido a un recuento bajo de plaquetas.
  • Dolor óseo o articular: Provocado por la expansión de los blastos dentro de la cavidad medular.
  • Inflamación de ganglios linfáticos: Especialmente en el cuello, axilas o ingles, debido a la infiltración tumoral.

⚠️ Note: Estos síntomas no son exclusivos de la leucemia y pueden presentarse en otras condiciones benignas; sin embargo, cualquier persistencia de estos signos debe ser investigada mediante un hemograma completo.

Abordaje Diagnóstico y Clasificación

Para confirmar el diagnóstico de Leucemia Linfoblastica Aguda, el equipo médico emplea una serie de pruebas invasivas y no invasivas. El proceso diagnóstico es vital para determinar la intensidad del tratamiento necesario. Los métodos principales incluyen:

Prueba Diagnóstica Propósito del Examen
Aspirado de Médula Ósea Permite observar la morfología de las células y contar el porcentaje de blastos.
Citometría de Flujo Identifica los marcadores de superficie de los linfoblastos para clasificar el subtipo (B o T).
Análisis Citogenético Detecta alteraciones en los cromosomas (como el cromosoma Filadelfia) que dictan el pronóstico.
Punción Lumbar Evalúa si las células leucémicas han migrado al sistema nervioso central.

Estrategias de Tratamiento Actuales

El tratamiento de la Leucemia Linfoblastica Aguda es un proceso largo y meticuloso que generalmente se divide en varias etapas. El objetivo principal es lograr la remisión completa (desaparición de las células leucémicas detectables) y prevenir la recaída a largo plazo.

Las etapas típicas incluyen:

  • Inducción a la remisión: La fase intensiva inicial para eliminar la mayor cantidad posible de blastos.
  • Consolidación (o intensificación): Uso de dosis altas de quimioterapia para erradicar cualquier célula residual que pueda haber sobrevivido a la inducción.
  • Mantenimiento: Periodo prolongado de quimioterapia de baja intensidad diseñada para prevenir la reaparición de la enfermedad.
  • Profilaxis del Sistema Nervioso Central: Administración de fármacos directamente en el líquido cefalorraquídeo para evitar que la leucemia se refugie en áreas protegidas por la barrera hematoencefálica.

💡 Note: En casos de alto riesgo, los hematólogos pueden recomendar un trasplante de células madre hematopoyéticas (médula ósea) como parte del plan terapéutico para consolidar la remisión a largo plazo.

Avances en Inmunoterapia

La medicina de precisión ha revolucionado el manejo de la Leucemia Linfoblastica Aguda en años recientes. Hoy en día, terapias dirigidas como los anticuerpos monoclonales y la terapia de células T con receptores de antígenos quiméricos (CAR-T) ofrecen nuevas oportunidades para pacientes que no responden adecuadamente a los esquemas convencionales. Estos tratamientos enseñan al sistema inmunitario del propio paciente a reconocer y destruir las células cancerosas, minimizando el daño a los tejidos sanos en comparación con la quimioterapia tradicional.

Consideraciones sobre el Pronóstico

El pronóstico de un paciente con Leucemia Linfoblastica Aguda depende de factores multifactoriales. La edad en el momento del diagnóstico es un parámetro crucial; generalmente, los niños tienen una tasa de supervivencia significativamente superior a la de los adultos. Otros factores determinantes incluyen el recuento de glóbulos blancos al inicio, la presencia de anormalidades genéticas específicas y la rapidez con la que el paciente logra alcanzar la remisión tras el primer ciclo de tratamiento. La adherencia estricta al protocolo médico es el factor más determinante para garantizar un desenlace favorable.

El acompañamiento psicológico y el apoyo familiar juegan un rol determinante durante todo el proceso. La carga emocional que conlleva un diagnóstico de esta magnitud requiere un equipo multidisciplinario que atienda tanto las necesidades físicas del paciente como su bienestar mental. La educación del paciente sobre su propia enfermedad es un pilar que ayuda a reducir la ansiedad y mejora la cooperación durante las etapas a menudo extenuantes de la terapia.

Al reflexionar sobre la trayectoria de esta enfermedad, queda claro que la ciencia ha logrado avances extraordinarios. La Leucemia Linfoblastica Aguda ha pasado de ser una condición inevitablemente fatal a ser una enfermedad con altas posibilidades de curación gracias a la investigación constante y a la personalización de las terapias. Aunque el camino del tratamiento puede ser riguroso, la detección temprana y el acceso a centros especializados marcan la diferencia fundamental entre el éxito clínico y la progresión de la enfermedad, manteniendo la esperanza de una recuperación total para la gran mayoría de los pacientes diagnosticados.

Related Terms:

  • aguda leucemia cancer
  • leucemia linfoblástica aguda tratamiento
  • leucemia linfoblástica aguda lla
  • leucemia linfocytica aguda tratamiento
  • leucemia linfoblastica aguda gpc
  • leucemia linfoide aguda pdf