Cleve

Left Gastric Artery

Left Gastric Artery

The Left Gastric Artery (LGA) serves as a critical vascular structure within the human abdominal cavity, playing a pivotal role in the oxygenation and nourishment of the stomach and the lower esophagus. As the smallest branch of the celiac trunk—the primary artery that supplies oxygenated blood to the upper abdominal viscera—the LGA is anatomically significant for both surgeons and diagnostic radiologists. Understanding its pathway, variations, and clinical implications is essential for managing conditions ranging from gastrointestinal bleeding to complex oncological procedures.

Anatomy and Pathway of the Left Gastric Artery

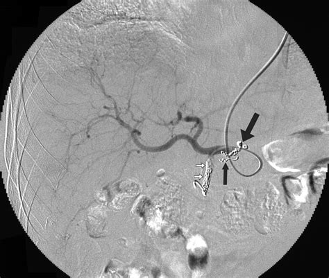
Medical anatomy representation

The origin of the Left Gastric Artery typically occurs at the celiac trunk, branching off alongside the splenic and common hepatic arteries. From its point of origin, the artery follows a distinct trajectory, ascending toward the esophageal hiatus of the diaphragm. During this initial phase, it often gives off esophageal branches that supply the distal esophagus, which later anastomose with branches from the thoracic aorta.

Upon reaching the cardiac region of the stomach, the artery makes a sharp turn, descending along the lesser curvature of the stomach between the two layers of the lesser omentum. Along this path, it provides vital blood supply to both the anterior and posterior surfaces of the stomach. Its final destination involves a significant anastomosis with the right gastric artery, creating a continuous vascular arch along the lesser curvature, which ensures collateral blood flow and structural integrity of the gastric walls.

Clinical Significance and Surgical Considerations

In the realm of modern medicine, the Left Gastric Artery is frequently the subject of clinical focus due to its involvement in various pathological and interventional procedures. Because it lies in close proximity to the stomach, it is a primary site of concern during gastric surgeries, particularly those involving partial or total gastrectomies, as well as bariatric procedures.

  • Gastrointestinal Hemorrhage: The LGA is a common source of upper GI bleeding, especially in cases of peptic ulcer disease located along the lesser curvature.
  • Bariatric Embolization: Bariatric arterial embolization is a minimally invasive technique that targets the Left Gastric Artery to reduce the production of ghrelin, a hormone associated with hunger, thereby assisting in weight loss.
  • Oncological Mapping: In cases of gastric cancer, the LGA is a primary pathway for potential metastasis. Surgeons often identify and ligate these branches to prevent tumor spread and minimize blood loss during resection.

Anatomical Variations

While the standard anatomical textbook description places the Left Gastric Artery as a direct branch of the celiac trunk, anatomical variations are observed in a significant percentage of the population. These variations are particularly important for interventional radiologists performing hepatic or gastric embolizations.

Variation Type Description Clinical Impact
Standard Origin Arises from the celiac trunk. Predictable surgical approach.
Accessory LGA Originates from the left hepatic artery. Crucial to identify during liver surgery.
Shared Trunk Arises from a combined gastro-splenic trunk. Requires careful vessel identification.

💡 Note: Always perform a preoperative CT angiography or digital subtraction angiography when planning interventions involving the Left Gastric Artery to identify individual vascular mapping and prevent accidental damage to accessory vessels.

Diagnostic Imaging and Evaluation

Imaging techniques play a vital role in evaluating the health and patency of the Left Gastric Artery. Computed Tomography (CT) scans with contrast enhancement are the gold standard for visualizing the vessel’s diameter and identifying any aneurysms or atherosclerotic changes. In cases of acute hemorrhage, angiography allows for both the diagnosis and immediate therapeutic intervention via transcatheter arterial embolization.

Ultrasonography can also be used in some clinical settings, though it is often limited by bowel gas and the depth of the vessel in the abdominal cavity. MRI, specifically MR angiography, offers a high-resolution view of the Left Gastric Artery without the use of ionizing radiation, making it a preferred choice for long-term monitoring of patients with chronic vascular conditions or post-surgical follow-ups.

Pathology Involving the Gastric Vasculature

Diseases that affect the stomach often have a direct impact on its blood supply. Gastric ulcers, specifically those that erode into the Left Gastric Artery, represent a medical emergency due to the high-pressure flow within the vessel. Furthermore, gastric varices—which are dilated submucosal veins—can be associated with portal hypertension. In these patients, the blood flow dynamics within the LGA and its tributaries are often altered, potentially leading to increased risk of rupture and life-threatening hemorrhage.

Physicians must maintain a high index of suspicion for vascular involvement in patients presenting with hematemesis or melena. Early identification of the vessel status through diagnostic imaging can guide the treatment team toward the most effective management strategy, whether it be endoscopic clipping, surgical ligation, or endovascular embolization.

💡 Note: Managing patients with suspected Left Gastric Artery rupture requires rapid stabilization, including aggressive fluid resuscitation and immediate consultation with an interventional radiologist or gastrointestinal surgeon.

Final Perspectives on Gastric Hemodynamics

The Left Gastric Artery remains a fundamental element of the human digestive system’s circulatory network. From its structural role in maintaining the gastric mucosal barrier through robust blood flow to its critical importance in modern surgical and radiological procedures, it is a vessel of immense clinical value. Mastery of its anatomical variations and its response to various pathologies allows medical professionals to provide more precise and safer care. By integrating advanced imaging with anatomical knowledge, practitioners can effectively navigate the complexities associated with the gastric vascular bed, ensuring better patient outcomes for those suffering from conditions affecting the upper digestive tract. As medical technology continues to evolve, our ability to manipulate and treat the Left Gastric Artery with high precision will likely continue to improve, further highlighting the necessity of understanding this vital component of human anatomy.

Related Terms:

  • left hepatic artery
  • short gastric artery
  • left gastric artery function
  • left gastric vein
  • left gastric artery supplies
  • left gastric artery ultrasound