Rp

Lefort Iii Fracture

Lefort Iii Fracture

A Lefort III fracture, also known as craniofacial dysjunction, represents one of the most severe forms of facial trauma in medical practice. Unlike less extensive injuries that affect only the lower or middle portions of the face, a Lefort III fracture involves a complete detachment of the mid-facial bones from the cranial base. Because this injury typically results from high-velocity impact—such as motor vehicle accidents or severe falls—it is considered a life-threatening emergency that necessitates rapid, multidisciplinary medical intervention to stabilize the patient and restore structural integrity.

Understanding the Mechanics of a Lefort III Fracture

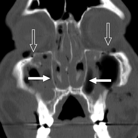
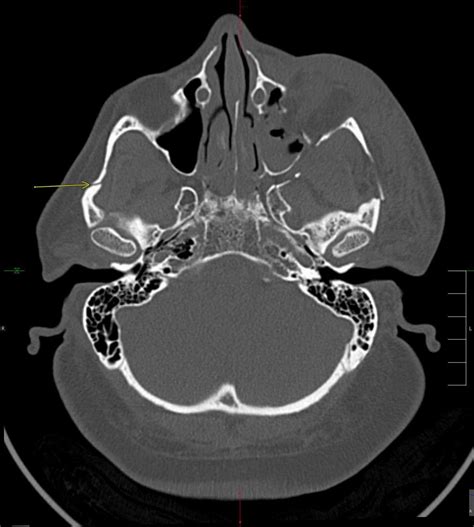
The classification system developed by René Le Fort remains the gold standard for describing patterns of maxillary fractures. While a Lefort I fracture affects the lower maxilla and a Lefort II involves the mid-maxilla and nose, the Lefort III fracture is defined by a transverse fracture line that traverses the frontozygomatic suture, the orbit, and the nasofrontal suture. Essentially, the entire facial skeleton is disconnected from the skull, creating a "floating" midface.

Due to the complexity of these injuries, patients often present with a characteristic "dish-face" deformity, where the middle of the face appears sunken or pushed backward. The diagnostic process is rigorous, often requiring high-resolution CT scans to map the displacement of bone fragments precisely before surgical planning can begin.

Diagnostic Criteria and Classification

Clinical evaluation of a potential Lefort III fracture requires a systematic approach. Physicians look for specific signs, including airway obstruction, massive facial swelling, and malocclusion, where the upper and lower teeth fail to align correctly. The following table summarizes the key clinical indicators often associated with these high-impact facial injuries:

Clinical Sign Description
Dish-Face Deformity Midface recession due to posterior displacement.
Periorbital Ecchymosis "Raccoon eyes" caused by basal skull or orbital fractures.
CSF Rhinorrhea Clear fluid leaking from the nose, indicating a dural tear.
Malocclusion Inability to close teeth properly due to skeletal shift.
Anesthesia Numbness in the infraorbital nerve distribution area.

⚠️ Note: Always prioritize Airway, Breathing, and Circulation (ABC) protocols before attempting to assess or manipulate facial bone stability in trauma settings.

Surgical Management and Reconstruction

Treating a Lefort III fracture is a highly technical process involving specialized maxillofacial and neurosurgical teams. The goal of surgery is to achieve anatomical reduction, ensuring that the facial bones are returned to their original position and fixed securely. Surgeons typically utilize open reduction and internal fixation (ORIF) techniques.

  • Access Incisions: Surgeons often use coronal or bicoronal incisions (hidden behind the hairline) to expose the zygomatic arches and the top of the facial skeleton without visible scarring.
  • Bone Plating: Titanium mini-plates and screws are used to bridge the fracture gaps, effectively pinning the midface back to the stable, non-fractured parts of the cranium.
  • Bone Grafting: In cases of significant comminution, where bones are shattered into many pieces, bone grafts may be necessary to provide the required volume and stability for healing.
  • Stabilization: Maxillomandibular fixation (wiring the jaws shut) may be used temporarily to ensure the bite is aligned correctly during the initial recovery phase.

Recovery and Post-Operative Considerations

Recovery from a Lefort III fracture is a marathon rather than a sprint. Because the injury involves the orbital regions and the nasal cavity, patients must be monitored for long-term complications. Common post-operative focuses include:

Early rehabilitation is crucial to restore function. Patients are typically placed on a soft-food diet for several weeks to prevent unnecessary stress on the newly fixed facial bones. Furthermore, patients often require physical therapy to manage trismus (lockjaw) or facial muscle stiffness that can occur during the prolonged healing period.

💡 Note: Regular follow-up appointments with a surgeon are mandatory to ensure that the hardware (plates and screws) is not causing inflammation and that the bone is knitting together properly.

Potential Complications to Monitor

While modern surgical techniques have high success rates, the severity of a Lefort III fracture carries inherent risks. Surgeons and patients must stay vigilant for secondary issues, including:

  • Ocular Damage: Because the fracture line runs through the orbit, vision changes, extraocular muscle entrapment, or nerve damage may occur.
  • Infection: Given the proximity to the nasal and sinus cavities, there is a risk of sinusitis or osteomyelitis at the hardware sites.
  • Chronic Malocclusion: Even with surgical intervention, the original bite may be slightly altered, requiring secondary orthodontic treatment.
  • Psychological Impact: Facial trauma is psychologically taxing; patients may experience trauma-related anxiety or body image concerns that require counseling.

The Multidisciplinary Approach

The successful management of a Lefort III fracture relies heavily on the collaboration between different medical disciplines. An oral and maxillofacial surgeon acts as the lead for reconstruction, while an ophthalmologist assesses eye function, and a neurosurgeon manages any associated brain injuries. This team-based approach ensures that the patient’s health is managed holistically, addressing both the structural facial needs and the potential systemic impact of the high-force trauma that caused the injury.

In summary, the management of this severe trauma requires an intricate balance of immediate stabilization and meticulous long-term reconstruction. Through advancements in imaging technology and refined surgical techniques, medical professionals are now better equipped than ever to handle the complexities of such extensive craniofacial fractures. While the journey to recovery is undoubtedly challenging, the primary focus remains on restoring both the aesthetic appearance and the vital functions of the patient. By following rigorous post-operative care and maintaining consistent communication with a specialized surgical team, patients can work toward regaining their quality of life and facial function following these critical injuries.

Related Terms:

  • le fort type iii fracture
  • lefort i fracture
  • le fort fracture chart
  • lefort iii fracture definition
  • le fort type 2 fracture
  • closed le fort iii fracture