Cleve

Lateral Medullary Stroke

Lateral Medullary Stroke

A Lateral Medullary Stroke, medically recognized as Wallenberg syndrome, is a complex and often misunderstood neurological event that occurs when a blood clot or vessel rupture disrupts blood flow to the lateral portion of the medulla oblongata. This specific part of the brainstem is responsible for controlling several vital autonomic functions, as well as sensory and motor pathways. Because the medulla acts as a "highway" for nerve signals traveling between the brain and the body, damage here can manifest in a surprising and diverse array of symptoms that often baffle patients and their families. Understanding the nuances of this condition is essential for early detection, which remains the single most important factor in improving long-term patient outcomes.

Understanding the Anatomy and Causes

The medulla oblongata is the lowest part of the brainstem, serving as the bridge between the spinal cord and the brain. A Lateral Medullary Stroke typically occurs due to an occlusion of the vertebral artery or the posterior inferior cerebellar artery (PICA). When these vessels are blocked—whether through atherosclerosis, arterial dissection, or an embolism—the supply of oxygen-rich blood to the lateral medulla is cut off. This leads to cell death in a very small but highly specialized area of the brain tissue.

Risk factors for this type of stroke mirror those of other cerebrovascular accidents, including:

  • Hypertension (High blood pressure)
  • Smoking and tobacco use
  • Hyperlipidemia (High cholesterol)
  • Diabetes mellitus
  • Atrial fibrillation or other heart rhythm disorders
  • Arterial dissection, often associated with neck trauma or underlying connective tissue conditions

Common Clinical Symptoms

The presentation of a Lateral Medullary Stroke is unique because it often affects the body in a "crossed" pattern. For instance, a patient might experience sensory loss on the face on one side, but experience sensory loss in the limbs on the opposite side of the body. This occurs because the pain and temperature fibers for the face have not yet crossed over, while the fibers for the rest of the body have already decussated (crossed) lower down in the spinal cord.

Key symptoms include:

  • Dysphagia: Difficulty swallowing due to paralysis of the pharyngeal and laryngeal muscles.
  • Ataxia: Significant unsteadiness, poor coordination, and a tendency to fall toward the side of the lesion.
  • Horner’s Syndrome: A triad of symptoms on the affected side including ptosis (drooping eyelid), miosis (constricted pupil), and anhidrosis (decreased sweating).
  • Vertigo and Nystagmus: Intense dizziness and involuntary rapid eye movements that often mimic vestibular neuritis.
  • Loss of Pain and Temperature Sensation: An ipsilateral loss on the face and a contralateral loss on the body.

⚠️ Note: Because the symptoms of a Lateral Medullary Stroke—specifically vertigo and nausea—closely mimic inner ear problems, it is frequently misdiagnosed in the emergency room. Always request an MRI if symptoms are persistent.

Diagnostic Procedures

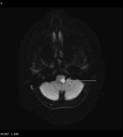
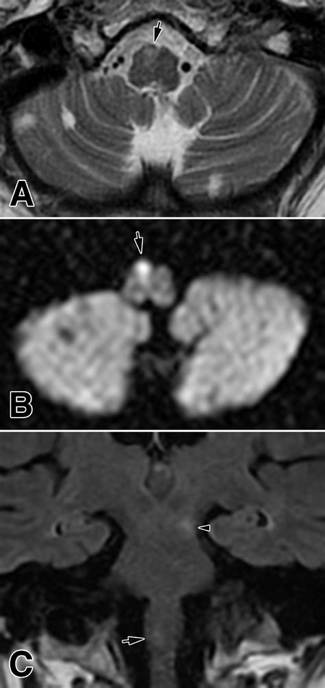
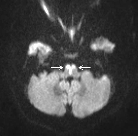
To confirm a Lateral Medullary Stroke, physicians rely on advanced imaging techniques. While a CT scan is often the first line of defense to rule out hemorrhage, it is frequently insensitive to small strokes in the brainstem. Therefore, a diffusion-weighted MRI (DWI-MRI) is the gold standard for visualization.

Diagnostic Test Purpose
MRI (Magnetic Resonance Imaging) Best for identifying infarctions in the brainstem tissue.
MRA or CTA Used to visualize the vertebral and PICA arteries for blockages.
Echocardiogram Checks for blood clots originating from the heart.
Carotid Ultrasound Assesses blood flow through the major neck vessels.

Treatment and Rehabilitation Strategies

Immediate management focuses on stabilizing the patient and preventing further brain injury. In the acute phase, clinicians work to control blood pressure and stabilize metabolic factors. If the patient arrives within the narrow therapeutic window, intravenous thrombolytics (clot-busting drugs) might be considered, though this is highly dependent on the timing and nature of the vessel occlusion.

Long-term recovery following a Lateral Medullary Stroke centers on comprehensive rehabilitation. Because the brain possesses neuroplasticity—the ability to rewire itself—intensive therapy can help patients regain lost functions:

Also read: Before And After Photos Of Mohs Surgery On Face
  • Speech and Swallow Therapy: Essential for preventing aspiration pneumonia, which is a major complication of dysphagia.
  • Physical Therapy: Focuses on gait training and balance exercises to manage ataxia.
  • Occupational Therapy: Helps patients regain fine motor control and adapt to sensory deficits.
  • Vision Therapy: Addresses diplopia (double vision) and eye movement disorders.

💡 Note: Patients recovering from a stroke should prioritize staying hydrated and maintaining a nutrient-rich diet, as swallowing difficulties may make caloric intake challenging during the initial weeks of recovery.

Lifestyle Adjustments and Secondary Prevention

Preventing a recurrence of a Lateral Medullary Stroke requires a rigorous commitment to secondary prevention. This involves lifestyle modifications and pharmacological management. Smoking cessation is non-negotiable, as is strict control of hypertension. Many patients will be placed on antiplatelet therapy, such as aspirin or clopidogrel, or anticoagulants if atrial fibrillation is the underlying cause.

Regular follow-ups with a neurologist and a cardiologist are vital. Patients should be educated on the "FAST" acronym—Face drooping, Arm weakness, Speech difficulty, Time to call emergency services—to ensure that any future warning signs are identified immediately. By managing vascular health through diet, exercise, and medication, the risk of secondary events can be significantly reduced, allowing for a better quality of life and sustained recovery.

The journey toward recovery after a Lateral Medullary Stroke is undoubtedly demanding, requiring patience, persistence, and a strong support system. While the initial symptoms can be frightening due to their impact on fundamental functions like balance and swallowing, the brain’s capacity for adaptation is significant. Through consistent rehabilitation, diligent medical management of blood pressure and clotting factors, and a focus on physical therapy, many individuals find that they can reclaim a high level of independence. The key remains prompt medical intervention during the acute phase and a sustained commitment to healthy lifestyle habits that protect the vascular system. By prioritizing long-term health and following the guidance of medical professionals, survivors can navigate the complexities of this condition and focus on their path toward wellness and regained function.

Related Terms:

  • medullary stroke prognosis
  • lateral medulla
  • left pica stroke symptoms
  • left lateral medullary stroke symptoms
  • what vessel supplies lateral medulla
  • left medullary infarct symptoms