Jugulodigastric lymph node size by age on CT in an adult cancer-free population - Clinical Imaging
Rp

Jugulodigastric lymph node size by age on CT in an adult cancer-free population - Clinical Imaging

1378 × 1669 px October 18, 2024 Peter Rp

Jugulodigastric lymph node size by age on CT in an adult cancer-free population - Clinical Imaging is a high-quality image in the Rp collection, available at 1378 × 1669 pixels resolution — ideal for both digital and print use.

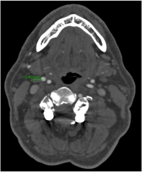
Learn about the jugulodigastric lymph node, a critical component of the head and neck lymphatic system. Discover its clinical significance, typical size, and how to identify abnormal swelling. Understanding this key cervical node is essential for recognizing potential infections or underlying pathology in the neck area. Get expert insights on when to consult a doctor regarding neck node enlargement.

Image Details

TitleJugulodigastric lymph node size by age on CT in an adult cancer-free population - Clinical Imaging
Dimensions1378 × 1669 px
CategoryRp
PublishedOctober 18, 2024
AuthorZeus
Downloads1,937
Views127

Read full article: Jugulodigastric Lymph Node

// More Images