Cleve

Indirect Hernia Vs Direct

Indirect Hernia Vs Direct

Understanding the difference between an inguinal hernia and its specific variants is essential for anyone experiencing abdominal discomfort. When you consult with a medical professional, you might hear the terms indirect hernia vs direct hernia used frequently. Both conditions involve tissue, such as a portion of the intestine, protruding through a weak spot in the abdominal muscles. While they share similar symptoms and anatomical locations, they originate from different points of weakness within the groin area. Recognizing these distinctions is the first step toward effective diagnosis, treatment, and recovery planning.

Defining Inguinal Hernias

An inguinal hernia occurs in the groin area where the abdominal wall meets the thigh. This is a common occurrence, affecting millions of people globally. The inguinal canal is a passage through the abdominal wall that, in males, contains the spermatic cord and, in females, contains the round ligament of the uterus. When the muscles surrounding this canal weaken, the internal lining of the abdomen may push through, creating a bulge.

The primary point of confusion for patients is often how these are categorized. By analyzing the indirect hernia vs direct classification, physicians can determine the exact pathway the bulge is taking. This distinction is not merely academic; it influences the surgical approach and the long-term prognosis for the patient.

What is an Indirect Inguinal Hernia?

An indirect hernia is considered a congenital condition, meaning it is often present from birth, although it may not become symptomatic until adulthood. It occurs through the internal inguinal ring—a natural opening where the spermatic cord or round ligament passes through the abdominal muscles.

  • Cause: Failure of the internal inguinal ring to close properly during development.
  • Path: The hernia follows the same path the testicles took to descend into the scrotum during fetal development.
  • Demographics: It is the most common type of hernia in both children and young adults.

What is a Direct Inguinal Hernia?

In contrast to the congenital nature of the indirect type, a direct inguinal hernia is almost exclusively an acquired condition. It occurs due to the breakdown of the abdominal wall tissue over time, often as a result of aging, chronic coughing, or heavy lifting.

  • Cause: Weakness in the muscles of the abdominal wall (the floor of the inguinal canal) known as Hesselbach’s triangle.
  • Path: The tissue pushes directly through the weakened muscle wall rather than following the natural path of the inguinal canal.
  • Demographics: It is far more common in older adults, as muscle tone and abdominal wall strength naturally decline with age.

Comparing Indirect Hernia Vs Direct: Key Differences

When comparing indirect hernia vs direct, the primary difference lies in the anatomical point of origin. While both present as a lump in the groin that may worsen when coughing or straining, the underlying physical mechanism varies significantly.

Feature Indirect Hernia Direct Hernia
Primary Cause Congenital defect Acquired weakness (Aging/Strain)
Anatomical Path Through the internal inguinal ring Through the Hesselbach's triangle
Patient Age Common in children/young adults Common in older adults
Risk of Strangulation Higher risk Lower risk

⚠️ Note: If you experience sudden, sharp pain, nausea, or a bulge that becomes hard, red, or painful to the touch, seek emergency medical care immediately as these may be signs of a strangulated hernia.

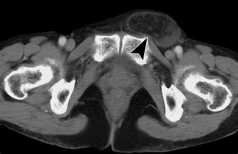
Diagnosis and Physical Examination

A physical examination is the gold standard for diagnosing these conditions. A doctor will typically perform a “cough test” while palpating the groin area to feel for an impulse or bulge. Because the indirect hernia vs direct distinction is based on where the pressure is felt against the doctor’s fingers, the examination can often help distinguish between the two.

In some cases, imaging studies like an ultrasound or MRI may be ordered to confirm the diagnosis, especially if the physical exam is inconclusive or if the hernia is small. Accurate diagnosis is vital because an indirect hernia is more likely to extend into the scrotum, whereas a direct hernia typically remains localized to the groin.

Also read: Before And After Photos Of Mohs Surgery On Face

Treatment Pathways and Surgical Intervention

Not every hernia requires immediate surgery. If a hernia is small and does not cause significant discomfort, a “watchful waiting” approach might be suggested by your physician. However, for most patients, surgical repair is the only definitive treatment.

The two main types of surgery are open repair and laparoscopic surgery:

  • Open Repair: A single, larger incision is made to push the bulge back and reinforce the abdominal wall, often using a synthetic mesh.
  • Laparoscopic Repair: Several small incisions are made, and a camera is used to guide the repair. This typically leads to a faster recovery time.

Your surgeon will decide the best approach based on the type of hernia, your overall health, and your specific anatomical needs.

Recovery and Lifestyle Considerations

Recovery times vary based on the surgical method chosen. Regardless of whether you had an indirect or direct repair, post-operative care involves avoiding strenuous activity for several weeks. Following the surgeon’s specific lifting restrictions is critical to prevent a recurrence of the hernia.

To reduce the likelihood of developing a future hernia or worsening an existing one, consider the following:

  • Maintain a healthy weight: Excess abdominal weight places constant pressure on the abdominal wall.
  • Use proper lifting techniques: Always lift with your legs, not your back or abdomen.
  • Manage chronic coughs: Persistent coughing strains the abdominal wall muscles.
  • Eat a high-fiber diet: Preventing constipation reduces the need to strain during bowel movements.

💡 Note: Always consult with your primary care provider or a specialist before beginning an exercise routine after surgery to ensure your abdominal wall has sufficiently healed.

Choosing the right path for your health begins with informed decision-making. By understanding the core distinctions between indirect hernia vs direct cases, you are better equipped to discuss your symptoms with a healthcare professional. Whether you are dealing with a congenital weakness or an acquired injury, modern surgical techniques offer highly effective solutions with relatively short recovery periods. Prioritizing early evaluation, maintaining a supportive lifestyle, and strictly adhering to post-operative recovery guidelines are the cornerstones of successfully managing inguinal hernias and restoring your quality of life.

Related Terms:

  • indirect versus direct inguinal hernias
  • direct vs indirect hernia definition
  • inguinal hernias direct vs indirect
  • indirect and direct hernia difference
  • direct vs indirect hernia repair
  • direct vs indirect hernia pictures