Cleve

Image Of Anus Fistula

Image Of Anus Fistula

Dealing with persistent discomfort in the anal region can be both physically exhausting and mentally taxing. Many individuals, when faced with recurring drainage, pain, or swelling, often search for an image of anus fistula to see if their symptoms align with what others have experienced. While visual references can sometimes provide a sense of reassurance or identification, it is crucial to understand that an anal fistula is a complex medical condition that requires professional evaluation rather than self-diagnosis. Understanding the underlying anatomy and the progression of this condition is the first step toward effective treatment and long-term relief.

What Exactly Is an Anal Fistula?

An anal fistula is essentially an abnormal, tunnel-like connection that forms between the anal canal and the surrounding skin. It typically develops as a result of an abscess—a collection of pus—that did not heal properly or was not drained adequately. When the infection from an abscess fails to resolve, it can tunnel through the tissue until it breaks through the skin near the anus. Patients often describe the sensation as a persistent, uncomfortable bump or an opening that repeatedly drains fluid.

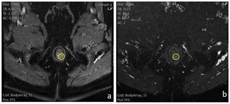
While looking for an image of anus fistula online might show you what the exterior opening looks like, it cannot reveal the depth or the complexity of the internal tract. Fistulas are categorized based on their path relative to the anal sphincter muscles, which is why clinical examination via imaging techniques like MRI or endorectal ultrasound is far more reliable than visual comparison alone.

Common Symptoms and Warning Signs

Recognizing the symptoms early is vital for preventing the condition from becoming chronic or leading to more serious infections. If you are experiencing any of the following, it is highly recommended to consult a colorectal surgeon:

  • Persistent pain: Discomfort that worsens when sitting, moving, or having a bowel movement.
  • Recurring discharge: The presence of pus, blood, or foul-smelling fluid near the anal opening.
  • Swelling and redness: Inflammation of the skin around the anus that does not go away.
  • Fever: Systemic signs of infection, such as chills or fatigue, indicating that the abscess may be spreading.
  • Skin irritation: Constant moisture or irritation caused by the leaking fluid.

It is common to confuse an anal fistula with other conditions such as hemorrhoids or skin tags. The following table provides a quick reference to help distinguish these issues based on their clinical presentation:

Condition Primary Symptom Key Characteristic
Anal Fistula Pus/Fluid Drainage Persistent tunnel with an external opening.
Hemorrhoids Bright Red Blood Swollen veins; usually no drainage.
Anal Fissure Sharp, Intense Pain A small tear in the lining of the anus.
Skin Tag Non-painful bump Excess tissue; no drainage or infection.

The Diagnostic Journey

When you visit a specialist, they will not rely on a photograph of an image of anus fistula you might have taken; instead, they will perform a physical exam and, if necessary, advanced diagnostics. The goal is to map the tract accurately. This is important because the “course” of the fistula determines which surgical procedure will be most effective while preserving the function of the sphincter muscles.

Diagnostic tools often include:

  • Anoscopy: Using a small instrument to look inside the anal canal.
  • Fistulography: Injecting contrast dye to trace the path of the tunnel on X-rays.
  • Endorectal Ultrasound: Providing high-resolution images of the internal tissue.
  • MRI: The gold standard for identifying complex or branching fistula tracts.

⚠️ Note: Do not attempt to drain a potential abscess or fistula at home. Doing so can cause the infection to spread into the bloodstream (sepsis) or lead to the formation of multiple new tracts, significantly complicating future surgical repair.

Treatment Approaches

Treatment for an anal fistula is almost always surgical because the tissue tract will not heal on its own. The primary objective is to eliminate the fistula while protecting the sphincter muscles to ensure bowel control remains intact. Common surgical techniques include:

  • Fistulotomy: The most common procedure, involving the laying open of the entire fistula tract so it heals from the inside out.
  • Seton Placement: A thin surgical thread (seton) is passed through the tract to promote drainage and healing over time.
  • Advancement Flap: A piece of tissue is moved over the internal opening to seal the tract.
  • LIFT Procedure: Ligation of the intersphincteric fistula tract, which involves tying off the fistula path between the sphincter muscles.

Post-Operative Care and Recovery

Recovery is a gradual process. Following surgery, maintaining hygiene is essential. Surgeons often recommend sitz baths—soaking the anal area in warm water several times a day—to keep the wound clean and reduce discomfort. High-fiber diets and stool softeners are also commonly prescribed to prevent constipation, which can irritate the healing tissue.

Final Perspectives

Seeking clarity through an image of anus fistula is a natural response to health anxiety, but it is rarely a substitute for expert medical advice. Because these conditions vary significantly from person to person, the best course of action is to schedule an appointment with a board-certified colorectal specialist as soon as you notice symptoms. Early intervention is the most effective way to manage an anal fistula, prevent painful complications, and ensure a smooth recovery. While the topic may feel sensitive or embarrassing to discuss, remember that colorectal surgeons manage these cases daily and provide treatments that lead to significant improvements in quality of life. By focusing on professional care rather than digital imagery, you move one step closer to resolving the issue and regaining your physical comfort.

Related Terms:

  • fistula in ano usg
  • fistula anus icd 10
  • fistula in ano meaning
  • fistula around anus
  • fistula in ano symptoms
  • types of fistula in ano