Cleve

Hypertrophic Actinic Keratosis

Hypertrophic Actinic Keratosis

Understanding the complexities of skin health is essential, especially when you notice persistent rough patches or scaly lesions on areas frequently exposed to the sun. Among the various types of skin growths, Hypertrophic Actinic Keratosis is a specific and distinct clinical presentation that demands careful attention. While many people are familiar with standard actinic keratosis—the precursor to skin cancer—the hypertrophic variant presents with unique characteristics that often make it more noticeable and, in some cases, more aggressive in appearance. Recognizing these signs early is a critical step in maintaining your dermatological health and preventing the progression to squamous cell carcinoma.

What is Hypertrophic Actinic Keratosis?

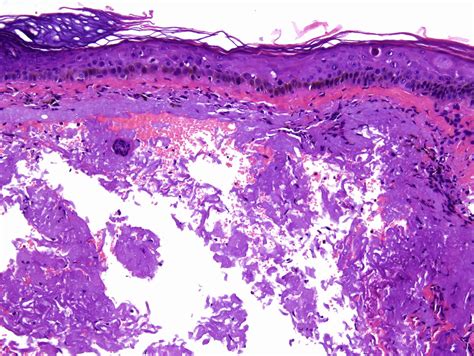
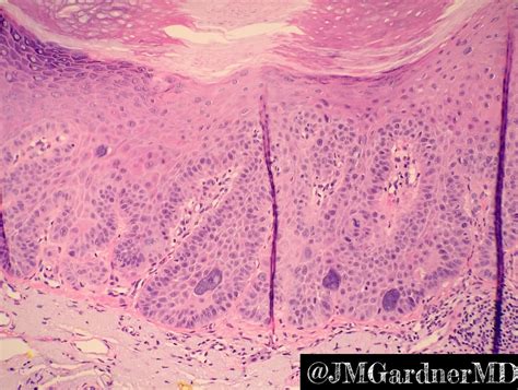
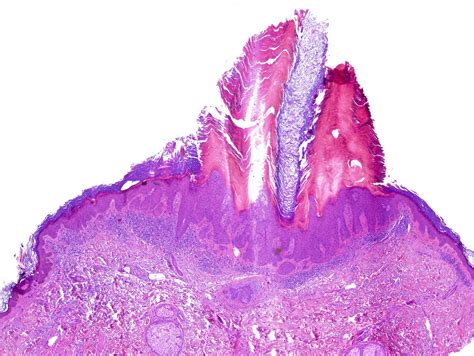
Hypertrophic actinic keratosis is a subtype of actinic keratosis (AK) that is characterized by excessive keratin production, leading to a thickened, elevated, and crusty lesion. Unlike the flat or slightly raised texture of typical actinic keratosis, the hypertrophic variant feels physically hard, rough, and may even resemble a small horn or a wart-like growth. Because these lesions accumulate a thick layer of scales, they are often more palpable and visually distinct against the surrounding skin.

These growths are primarily the result of cumulative ultraviolet (UV) radiation exposure. Years of sun damage alter the DNA of keratinocytes—the cells in the top layer of your skin—causing them to grow in a disorderly fashion. When these damaged cells replicate excessively, they form the thick, hardened layer that defines this condition.

Identifying the Symptoms and Physical Characteristics

The primary way to distinguish this condition from other skin irregularities is through its texture and growth pattern. Patients often describe the feeling as sandpaper-like or even sharp. Key indicators that you may be dealing with this specific dermatological issue include:

  • Elevated surface: The lesion is significantly raised above the skin level.
  • Hyperkeratosis: A thick, adherent scale or crust that does not easily rub off.
  • Hard consistency: The growth feels firm or indurated upon touch.
  • Solar damage surroundings: Often accompanied by other signs of sun damage, such as freckling, thinning skin, or telangiectasia (visible blood vessels).
  • Persistence: Unlike a temporary scrape, these lesions remain, grow slowly, or bleed if the crust is picked away.

⚠️ Note: If you notice a lesion that grows rapidly, changes color, or becomes painful, seek a professional dermatological evaluation immediately, as these can be signs of invasive squamous cell carcinoma.

Comparison of Skin Lesions

To better understand how this condition fits into the broader spectrum of skin growths, refer to the following table comparing common dermatological presentations.

Condition Texture Typical Appearance
Typical Actinic Keratosis Rough, sandpaper-like Flat or slightly raised, red/pink
Hypertrophic Actinic Keratosis Thick, crusty, hard Elevated, wart-like, horn-like
Squamous Cell Carcinoma Ulcerated or hard Crater-like, may bleed easily
Seborrheic Keratosis Waxy, stuck-on Brown, tan, or black

Why Medical Intervention is Necessary

The transition from a precancerous lesion to invasive skin cancer is a spectrum. Because Hypertrophic Actinic Keratosis contains a higher concentration of abnormal cells and possesses a thicker structure, it carries a higher risk of evolving into squamous cell carcinoma compared to thinner, non-hypertrophic variants. Leaving these lesions untreated is a risk that most dermatologists advise against. By removing these growths, you effectively remove the precancerous cells, providing a "clean slate" for healthy skin to regenerate.

Common Treatment Approaches

Dermatologists have several effective tools at their disposal to treat these thick, stubborn lesions. The choice of treatment often depends on the number of lesions, their location, and the patient's medical history.

  • Cryotherapy: The application of liquid nitrogen to freeze and destroy the abnormal cells. This is the gold standard for individual, localized lesions.
  • Curettage: A procedure where the dermatologist uses a specialized instrument to "scrape" the thick, hardened growth away. This is often followed by electrocautery to ensure all residual cells are neutralized.
  • Topical Chemotherapy: Creams such as 5-fluorouracil or imiquimod are applied to the skin over several weeks to trigger an immune response or chemically eliminate precancerous cells.
  • Photodynamic Therapy (PDT): A light-sensitive solution is applied to the skin, followed by exposure to a specific light source that activates the medicine to kill the damaged cells.

💡 Note: Proper wound care following physical removal procedures like curettage is vital to minimize scarring and prevent secondary bacterial infections.

Preventive Strategies for Long-Term Skin Health

Once you have been diagnosed with this condition, prevention becomes your best ally. Since UV exposure is the primary culprit, modifying your relationship with the sun is non-negotiable. Implementing the following habits can significantly reduce the formation of new lesions:

  1. Consistent SPF usage: Apply a broad-spectrum sunscreen with at least SPF 30 every single day, regardless of the weather.
  2. Protective clothing: Wear wide-brimmed hats, sunglasses with UV protection, and long-sleeved shirts when working or playing outdoors.
  3. Avoid peak UV hours: Plan outdoor activities before 10:00 AM or after 4:00 PM when the sun's rays are less intense.
  4. Self-exams: Perform monthly skin checks in front of a mirror to spot new growths or changes in existing ones.

Managing the health of your skin after a diagnosis of Hypertrophic Actinic Keratosis requires a proactive mindset. By recognizing that these hard, thickened lesions are a direct message from your skin regarding years of sun exposure, you can take the necessary steps to treat them early. Whether through clinical interventions like cryotherapy or consistent adherence to sun-safe lifestyle habits, you have the power to stop the progression of these lesions and significantly reduce your risk of developing more serious skin cancers. Always prioritize regular skin screenings with a board-certified dermatologist, as they are the most qualified professionals to monitor your skin’s health, detect subtle changes, and provide the appropriate medical care to keep your skin safe and healthy for years to come.

Related Terms:

  • actinic keratosis ulcerated
  • is hypertrophic actinic keratosis cancer
  • hypertrophic actinic keratosis pictures
  • hypertrophic actinic keratosis treatment
  • hypertrophic actinic keratosis histology
  • hypertrophic actinic keratosis pathology outlines