Cleve

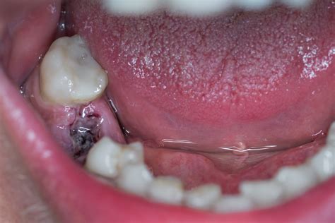
How Does Dry Socket Look

How Does Dry Socket Look

Recovering from a wisdom tooth extraction is generally a routine process, but for some patients, the healing journey takes an unexpected turn. One of the most feared complications following oral surgery is alveolar osteitis, commonly known as a dry socket. When the protective blood clot that forms in the empty tooth socket is dislodged or fails to develop, the underlying bone and nerves are left exposed. Many patients find themselves frantically searching for visual cues to identify if their recovery is on track or if they are developing a complication. Understanding how does dry socket look is essential for early intervention and effective pain management.

What Exactly is a Dry Socket?

Following a tooth extraction, your body naturally initiates a healing response. The blood pools in the empty space and forms a dark, gelatinous clot. This clot acts as a biological bandage, protecting the sensitive bone and nerve endings while the gum tissue begins to regenerate. A dry socket occurs when this clot is either washed away, dissolved prematurely, or never forms in the first place.

Without this protective barrier, the extraction site becomes an open wound. Because the jaw bone is highly sensitive, its exposure to air, food particles, and fluids triggers intense, radiating pain. Recognizing the physical appearance of the site can help you distinguish between normal post-operative healing and a genuine dental emergency.

How Does Dry Socket Look: Visual Indicators

If you suspect you are dealing with a dry socket, you might be tempted to inspect the area closely in a mirror. However, it is important to note that the site is often difficult to see, especially if the tooth was located far back in the mouth. When examining the site, look for these specific characteristics:

  • Absence of the Blood Clot: Instead of seeing a dark, deep red or maroon-colored clot, the socket will appear empty or hollow.
  • Visible Bone: If the clot is missing, you may be able to see the whitish or grayish structure of the exposed jawbone at the bottom of the socket.
  • Lack of Granulation Tissue: Normal healing involves the growth of soft, pinkish tissue. A dry socket will appear “clean” or empty, lacking any signs of healing tissue.
  • Inflamed Surrounding Gums: The tissue immediately surrounding the empty hole often looks bright red, puffy, or irritated compared to the surrounding healthy gum tissue.

⚠️ Note: Do not probe or touch the extraction site with your finger or any object to inspect it, as this can introduce bacteria and potentially dislodge an existing clot that you might not be able to see clearly.

Comparing Normal Healing vs. Dry Socket

It is common to confuse the natural stages of healing with a dry socket. To help differentiate, refer to the following comparison table.

Feature Normal Healing Socket Dry Socket Appearance
Clot Status Present (dark red/brown) Missing or degraded
Visibility Filled with tissue Bone exposed (white/gray)
Pain Level Decreases over 3-5 days Increases after 3-5 days
Odor Neutral Strong, foul metallic smell

Common Symptoms Accompanying the Appearance

While the visual aspect is a key indicator, dry socket rarely presents without accompanying physical sensations. The pain associated with a dry socket is often described as throbbing, intense, and radiating. It frequently starts two to four days after the extraction.

Keep an eye out for these additional symptoms that often confirm the visual diagnosis:

  • Radiating Pain: The discomfort often spreads from the socket to your ear, eye, temple, or neck on the same side of the face.
  • Halitosis: A persistent, unpleasant taste in the mouth or a foul odor that does not go away with brushing or rinsing.
  • Increased Sensitivity: Even drinking room-temperature water or breathing in cool air can trigger a sharp, shooting pain.

Risk Factors and Prevention

Certain behaviors significantly increase the risk of the blood clot being dislodged. Understanding these factors is just as important as knowing how does dry socket look, as it empowers you to protect your recovery.

  • Tobacco Use: Smoking or vaping creates suction in the mouth and introduces chemicals that delay healing and reduce blood flow to the gums.
  • Using Straws: The vacuum pressure created by sipping through a straw is one of the most common causes of clot dislodgement.
  • Aggressive Rinsing: Vigorous spitting or rinsing within the first 24 hours can physically disturb the formation of the clot.
  • Poor Oral Hygiene: While you must be gentle, failing to keep the mouth clean can lead to bacteria breaking down the clot prematurely.

💡 Note: If you have been prescribed medications or given specific post-operative instructions by your oral surgeon, follow them strictly for the duration of the healing period, usually at least 7 to 10 days.

When to See a Dentist

If you look in the mirror and notice an empty hole where there should be a clot, or if your pain level is rising rather than falling after 72 hours, you should contact your dentist or oral surgeon immediately. A dry socket is not something that will heal on its own quickly, and the pain can be debilitating. Your dentist can provide relief by cleaning the area and packing it with a medicated dressing that soothes the exposed bone and promotes healing.

Remember that the earlier you address the symptoms, the faster you will return to your daily routine. Do not attempt to pack the socket yourself with over-the-counter products, as this can trap debris and lead to a more serious bone infection, known as osteomyelitis.

Final thoughts on managing your recovery involve staying vigilant about your oral health in the week following any tooth extraction. While the prospect of a dry socket is unpleasant, it is a manageable condition that most dentists see quite frequently. By knowing exactly what to look for and understanding the importance of the blood clot, you are better equipped to monitor your progress. Always prioritize rest, avoid substances that inhibit healing, and stay in consistent contact with your dental care provider if your recovery does not follow the standard timeline of improvement. Staying informed and proactive ensures that you navigate your post-operative healing with the best possible outcome.

Related Terms:

  • photos of healing tooth socket
  • pictures of dry socket healing
  • dry socket vs normal pictures
  • examples of dry socket
  • dry socket pictures photos
  • how to identify dry socket