Many of us take our oral health for granted until we feel that sharp, nagging twinge while sipping a cold drink or chewing a piece of candy. By the time pain sets in, the damage is often already well-established. Understanding how do cavities look like in their various stages is a crucial skill for early detection, which can save you from painful root canals or expensive extractions. While a dental professional is the only person who can provide a definitive diagnosis, learning to spot the visual markers of tooth decay can empower you to seek treatment sooner rather than later.
The Early Visual Signs of Tooth Decay

The progression of a cavity is a slow process, often starting long before you feel any discomfort. When you ask how do cavities look like, you must first look for subtle changes in the enamel’s appearance. The initial stage of decay, known as demineralization, often manifests in the following ways:
- White Chalky Spots: These appear on the surface of the tooth, often near the gum line. They look dull compared to the shiny, healthy enamel surrounding them.
- Changes in Texture: If you were to run a dental explorer over these spots, the surface would feel slightly rough or “tacky” rather than smooth and glass-like.
- Opacity: Healthy enamel is slightly translucent, but demineralized areas often appear opaque or cloudy.
At this stage, the decay is reversible with proper fluoride treatment and improved oral hygiene. If left unaddressed, these spots become porous, allowing bacteria and acid to penetrate deeper into the tooth structure.
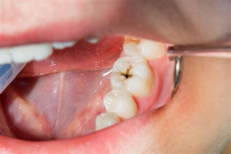
Advanced Cavity Progression: From Brown to Black
As the decay progresses past the enamel and into the dentin, the appearance of the tooth changes significantly. This is usually the stage where patients start searching for information on how do cavities look like because the discoloration becomes impossible to ignore.
The colors you might observe include:
- Light Brown or Tan: This indicates that the decay has breached the enamel surface. The tooth is now structurally compromised.
- Dark Brown: This is a sign of deeper, more active decay. It often indicates that the bacteria have softened the dentin, creating a cavity that can collect food debris.
- Black: A black spot on the tooth surface is often a sign of advanced, stagnant, or “arrested” decay. While sometimes these areas have hardened, they almost always indicate that a significant portion of the tooth has been compromised.
Identifying Cavity Locations
Cavities don’t always show up in the same places. Depending on the anatomy of your teeth and your hygiene habits, decay can appear in distinct patterns. The following table provides a quick reference for common cavity types and their visual indicators:
| Cavity Type | Common Visual Appearance | Location |
|---|---|---|
| Pit and Fissure | Small black lines or dots | Deep grooves on top of molars |
| Smooth Surface | White spots or brown patches | Sides of the teeth near the gums |
| Interproximal | Shadows between teeth | Between two adjacent teeth |
| Root Cavities | Yellowish or brownish recession | Exposed roots due to gum disease |
Why Self-Examination Isn’t Enough
⚠️ Note: Visual checks are meant for awareness. You cannot see “hidden” cavities that exist between teeth or deep underneath existing fillings using a mirror alone.
While you might be interested in how do cavities look like, it is vital to remember that dentistry is as much about what you can’t see as what you can. Many cavities start in the crevices between teeth where light cannot reach. Furthermore, some teeth may look perfectly healthy on the surface while having massive decay underneath old, leaking restorations or deep within the internal structure of the tooth.
The Role of Professional Imaging
Because the naked eye has limitations, dentists use diagnostic tools to confirm what they see. Digital X-rays are the gold standard for identifying the internal structure of a cavity. They can reveal:
- Shadows: Dark spots on an X-ray indicate areas where the tooth density has been lost due to acid erosion.
- Depth: Dentists can measure how close the decay is to the pulp chamber, which helps determine if a filling or a crown is necessary.
- Interproximal Decay: Detecting decay that is physically invisible from the outside of the mouth.
Maintaining Oral Health to Prevent Visible Decay
Prevention is always superior to restoration. If you are worried about the appearance of your teeth, the best approach is to implement a strict maintenance routine. This includes brushing twice a day with fluoride toothpaste, flossing daily to remove plaque from between teeth, and keeping up with professional dental cleanings every six months.
If you notice a dark spot or a persistent white area that doesn’t go away after brushing, do not wait for pain to develop. Pain is usually the final warning sign that the decay has reached the tooth’s nerves. Early intervention through a professional exam is the most effective way to address the issue before it causes permanent damage or requires invasive procedures.
By staying vigilant and monitoring your smile for the visual clues discussed, you can take a proactive stance in your dental health. Knowing how do cavities look like allows you to catch minor issues before they become major problems. Remember that while a mirror can help you monitor changes in your mouth, regular visits to your dental provider remain the safest and most reliable way to maintain a healthy, decay-free smile. Consistent care and professional guidance are the best tools you have to preserve the integrity and appearance of your teeth for years to come.
Related Terms:
- pictures of tooth with cavities
- pictures of bad cavities
- beginning of cavity pictures
- pictures of teeth wirh cavities
- stages of tooth decay pictures
- examples of cavities