Cleve

Gum Disease Pictures

Gum Disease Pictures

Many individuals unknowingly live with the early stages of periodontal issues, often ignoring subtle warning signs until the condition progresses into something more severe. While most people associate dental health with bright white smiles, the foundation of your oral health lies deep within the gum tissue. Searching for Gum Disease Pictures is often the first step people take when they notice unusual swelling, persistent bad breath, or bleeding during flossing. Visualizing the progression of this condition is a powerful motivator for change, as it helps bridge the gap between dental terminology and the actual reality occurring inside your mouth.

Understanding the Progression of Periodontal Health

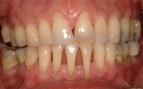
Periodontal disease is a silent, inflammatory condition that affects the tissues surrounding and supporting your teeth. It typically begins as gingivitis, characterized by inflammation, and can advance to periodontitis, which involves the destruction of bone and connective tissue. By examining Gum Disease Pictures, you can often identify the transition from healthy, firm, pink gums to tissues that appear puffy, red, or even receding.

The progression usually follows these stages:

  • Gingivitis: The earliest stage where gums are inflamed, sensitive, and prone to bleeding while brushing.
  • Early Periodontitis: The gums begin to pull away from the teeth, forming small pockets where bacteria can hide.
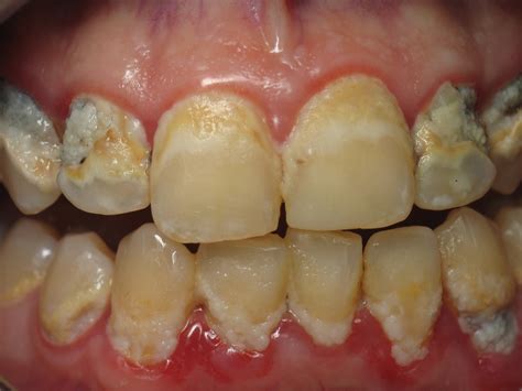
  • Moderate to Advanced Periodontitis: Deep pockets form, bone support is lost, and teeth may become loose or shift, which is frequently documented in medical Gum Disease Pictures.

💡 Note: While visual comparisons are helpful, they cannot replace a professional periodontal exam. If you suspect you have symptoms, schedule a visit with your dentist immediately.

Common Visual Symptoms to Watch For

When you look at resources providing Gum Disease Pictures, you will notice consistent visual markers. Recognizing these early is essential to preventing permanent tooth loss. The following table highlights what you should look for compared to healthy tissue:

Visual Indicator Healthy Gums Signs of Disease
Color Firm, pale pink Deep red, purple, or bright red
Texture Stippled (orange peel texture) Smooth, shiny, or puffy
Margin Snug against the tooth Receding or showing gaps/pockets
Bleeding None Frequent bleeding during brushing

Why Seeing Gum Disease Pictures Matters for Prevention

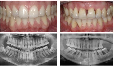
There is a psychological component to health awareness. Reading a clinical description of "periodontal inflammation" is often less impactful than seeing Gum Disease Pictures that show how gum recession can expose tooth roots. This visual evidence helps patients understand why their dentist emphasizes daily flossing and professional cleanings.

When you view these images, focus on these critical observations:

  • Recession: Notice how the gum line moves away from the crown, often making teeth look longer.
  • Swelling: Observe how the interdental papilla (the triangle of gum between teeth) loses its sharp point and becomes rounded or blunted.
  • Pus or Exudate: In advanced stages, Gum Disease Pictures may show signs of infection near the gum margin, indicating deep-seated bacterial growth.

Risk Factors That Accelerate Gum Damage

Understanding what contributes to the decline of gum health is as important as identifying the symptoms. While poor hygiene is the primary cause, several external factors can accelerate the damage shown in Gum Disease Pictures. These include:

  • Tobacco Use: Smoking is one of the most significant risk factors, as it impedes blood flow to the gums, masking signs of inflammation.
  • Diabetes: Individuals with poorly controlled blood sugar levels have a higher susceptibility to infections, including severe gum disease.
  • Hormonal Changes: Pregnancy or menopause can increase gum sensitivity and make them more prone to gingivitis.
  • Genetics: Some individuals are genetically predisposed to periodontal disease, requiring more frequent professional intervention.

⚠️ Note: If you have a family history of tooth loss due to periodontal issues, mention this to your dentist to establish a preventative maintenance schedule tailored to your risk level.

Maintaining Long-term Periodontal Health

The goal of looking at Gum Disease Pictures should be to reinforce positive habits. Reversing the early stages of gingivitis is entirely possible with consistent care, while managing advanced stages requires a partnership between you and your dental provider. Focus on these pillars of oral hygiene:

  1. Mechanical Cleaning: Use an electric toothbrush to ensure consistent pressure and reach difficult areas.
  2. Interdental Care: Daily flossing or the use of water flossers is mandatory to remove plaque from between teeth where standard brushing fails.
  3. Antiseptic Rinses: A dentist-recommended mouthwash can help reduce the bacterial load in the mouth.
  4. Routine Exams: Professional cleanings every six months are essential for removing hardened tartar (calculus) that cannot be brushed away.

Ultimately, the key to avoiding the consequences depicted in Gum Disease Pictures lies in early intervention and daily vigilance. By paying attention to the color, texture, and position of your gum tissue, you can catch minor issues before they escalate into complex health challenges. Periodontal health is not just about avoiding bad breath or sensitive teeth; it is a foundational pillar of your systemic wellness. Adopting a proactive approach, including regular professional checkups and a disciplined home care routine, ensures that your smile remains healthy and your gum tissue stays firmly attached for years to come. Remember that your gums serve as the protective barrier for your jawbone, and keeping them healthy is an investment that yields lifelong benefits for your overall physical health.

Related Terms:

  • pictures of gum disease symptoms
  • different gum problems with pictures
  • what gum disease looks like
  • pictures of gum disease mouth
  • stages of periodontal disease photos
  • gingivitis pictures before after