Cleve

Growth Plate Fracture

Growth Plate Fracture

A Growth Plate Fracture is a common orthopedic injury occurring in children and adolescents whose bones are still in the process of developing. These fractures specifically affect the physis, which is the layer of developing cartilage tissue near the ends of long bones. Because these areas are significantly weaker than the surrounding ligaments and tendons, they are particularly susceptible to trauma. Understanding the nature of these injuries is vital for parents, coaches, and young athletes, as improper management can lead to permanent limb length discrepancies or angular deformities as the child continues to mature.

What Exactly Is a Growth Plate?

The growth plate, or physis, is a specialized area of cartilage found at the ends of long bones in children, such as the bones in the arms, legs, fingers, and toes. These plates are responsible for the longitudinal growth of the bone. Unlike mature bone, which is dense and rigid, the physis is soft and vulnerable to mechanical stress. Once a child reaches physical maturity, these plates harden into solid bone, meaning they no longer function as sites of growth. It is during this active growth phase that a Growth Plate Fracture is most likely to occur, often triggered by sports injuries, falls, or motor vehicle accidents.

Child with arm support

The Salter-Harris Classification System

Medical professionals classify these injuries using the Salter-Harris system, which helps determine the severity of the damage and the likelihood of future growth complications. This system divides the fractures into five primary categories:

  • Type I: The fracture passes through the entire growth plate, separating the end of the bone from the shaft.
  • Type II: The fracture passes through the growth plate and up through the shaft of the bone (the most common type).
  • Type III: The fracture passes through the growth plate and down through the end of the bone.
  • Type IV: The fracture passes through the shaft, the growth plate, and the end of the bone.
  • Type V: A rare, high-force compression injury that crushes the growth plate.

⚠️ Note: Classification is essential because Type IV and Type V fractures carry a much higher risk of permanent damage compared to Type I or II.

Symptoms and Diagnosis

Identifying a Growth Plate Fracture early is critical for successful treatment. Common symptoms include persistent pain during movement, an inability to bear weight on the affected limb, and visible swelling or tenderness. In some cases, the limb may appear deformed or shortened. When you visit a healthcare professional, they will typically perform the following diagnostic steps:

  • Physical Examination: Assessing the range of motion and checking for point tenderness.
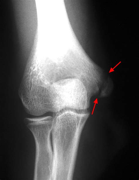
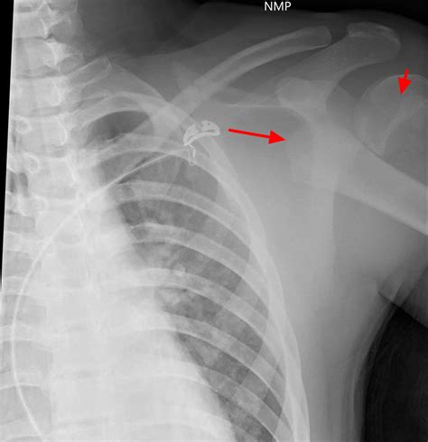
  • X-ray Imaging: The primary tool for diagnosis, though it is important to note that growth plates can be difficult to see on standard X-rays, often requiring comparisons to the uninjured limb.
  • Advanced Imaging: In complex cases, an MRI or CT scan may be necessary to view soft tissue damage or subtle fractures that do not appear on X-rays.

Treatment and Recovery

The treatment approach for a Growth Plate Fracture depends heavily on the classification and the displacement of the bone. Minor, non-displaced fractures are often managed with a cast or splint to stabilize the area while it heals. However, if the bone has shifted, a doctor may need to perform a “reduction” to realign the bones, either through manual manipulation or, in more severe cases, surgical intervention. During the recovery period, it is important to monitor the child closely for any signs of restricted movement or unequal limb length.

Injury Type Common Treatment Recovery Outlook
Type I & II Casting / Splinting Excellent with minimal risk
Type III & IV Surgery (ORIF) Requires monitoring for growth arrest
Type V Surgery & Rehabilitation High risk of growth disturbance

Long-term Considerations and Prevention

While many children recover fully from a Growth Plate Fracture without lasting effects, some may experience growth arrest, where the affected bone stops growing entirely or grows at a different rate than the uninjured side. Regular follow-up appointments are essential for at least a year post-injury to track bone development. To prevent these injuries, focus on proper equipment for sports, adequate warm-ups, and ensuring that young athletes are not overtraining, which can lead to stress-related fractures in the physis.

💡 Note: Always consult with a pediatric orthopedic specialist if you suspect a growth plate injury; early intervention significantly improves the chances of a full recovery.

Understanding the risks and management of a growth plate injury allows parents and athletes to take swift, informed action should an accident occur. While these injuries sound intimidating, modern orthopedic techniques provide high success rates for healing. By prioritizing professional diagnosis, adhering strictly to stabilization protocols, and attending all follow-up appointments, you can ensure that the child’s bone development remains on track. Vigilance in both prevention and post-injury care serves as the best strategy to maintain long-term skeletal health and mobility.

Related Terms:

  • growth plate fractures in children
  • growth plate fracture name
  • growth plate fracture shoulder
  • growth plate fracture wrist
  • growth plate fracture symptoms
  • growth plate fracture xray