Cleve

Greater Tubercle Of Humerus

Greater Tubercle Of Humerus

The human shoulder is a marvel of biological engineering, relying on a complex arrangement of bones, tendons, and muscles to facilitate an extensive range of motion. Central to this structural integrity is the greater tubercle of humerus, a prominent landmark located on the proximal end of the upper arm bone. Understanding this anatomical feature is essential for athletes, medical professionals, and anyone interested in human movement, as it serves as the primary attachment point for several critical muscles that govern arm rotation and stabilization. By exploring its location, function, and clinical significance, we can better appreciate how this specific bony prominence supports the daily activities that define our physical capabilities.

Anatomy and Location

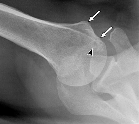
The greater tubercle of humerus is situated on the lateral aspect of the humeral head, adjacent to the articular surface. It is one of two key projections at the top of the humerus, the other being the lesser tubercle, which sits anteriorly. Separating these two structures is the bicipital groove, also known as the intertubercular sulcus, which houses the long head of the biceps brachii tendon.

The surface of the greater tubercle is distinctively roughened, providing an optimized surface area for the insertion of three of the four rotator cuff muscles. This anatomical positioning is not accidental; it provides the mechanical advantage necessary for the shoulder joint to execute movements like abduction and external rotation. The specific arrangement of these muscle attachments is described below:

  • Supraspinatus: Attaches to the superior facet of the greater tubercle.
  • Infraspinatus: Attaches to the middle facet.
  • Teres Minor: Attaches to the inferior facet.

Functional Importance in Shoulder Mechanics

The primary role of the greater tubercle of humerus is to act as a lever arm. When the rotator cuff muscles contract, they pull on the greater tubercle, allowing the humerus to move within the glenoid cavity of the scapula. Without the elevation provided by this tubercle, the ability to lift the arm away from the body (abduction) would be severely compromised.

Furthermore, the greater tubercle contributes to the overall stability of the shoulder joint. Because it provides a solid anchor for the tendons of the rotator cuff, it ensures that the humeral head remains centered in the glenoid fossa. This centration is crucial for preventing shoulder impingement and maintaining smooth, pain-free movement during overhead activities like swimming, throwing, or lifting.

Muscle Primary Action Attachment Site
Supraspinatus Abduction Superior facet of Greater Tubercle
Infraspinatus External Rotation Middle facet of Greater Tubercle
Teres Minor External Rotation Inferior facet of Greater Tubercle

Clinical Significance and Common Injuries

Due to its exposed position and the intense forces placed upon it, the greater tubercle of humerus is susceptible to various pathologies. Understanding these conditions is vital for effective diagnosis and rehabilitation. One of the most common issues associated with this anatomical site is greater tubercle fracture, which often occurs during high-impact falls or contact sports.

Other clinical conditions include:

  • Rotator Cuff Tendinopathy: Chronic wear or inflammation of the tendons attaching to the tubercle, often caused by repetitive overhead motion.
  • Calcific Tendonitis: The formation of calcium deposits within the tendons at their insertion point on the greater tubercle, leading to intense pain.
  • Subacromial Impingement: A condition where the greater tubercle rubs against the underside of the acromion during elevation, causing irritation to the bursa and tendons.

⚠️ Note: If you experience persistent shoulder pain, localized tenderness at the lateral aspect of your shoulder, or difficulty with overhead lifting, seek professional evaluation from a physical therapist or orthopedic specialist to rule out structural damage to the rotator cuff.

Diagnostic Imaging and Rehabilitation

Diagnosing issues involving the greater tubercle of humerus typically involves a combination of physical examinations and imaging techniques. X-rays are the gold standard for identifying bony fractures, while MRI scans are essential for visualizing the soft tissues—specifically the rotator cuff tendons—that attach to the bone. Physicians look for irregularities in the bone surface, bone spurs (osteophytes), or evidence of tendon tearing near the insertion sites.

Rehabilitation for injuries in this region is generally progressive. Following a standard injury protocol, the focus shifts through several phases:

  1. Protection Phase: Reducing inflammation and avoiding movements that stress the attachment sites.
  2. Range of Motion Phase: Gently introducing passive, then active-assisted motion to prevent stiffness.
  3. Strengthening Phase: Gradually loading the rotator cuff muscles through controlled resistance exercises.
  4. Return to Activity: Incorporating sport-specific or functional movements to restore full performance.

⚠️ Note: Always consult with a healthcare professional before beginning any strengthening program post-injury, as premature loading can exacerbate damage to the tendon-bone interface.

Prevention and Maintenance

Maintaining the health of the tissues around the greater tubercle of humerus is the best strategy for long-term shoulder longevity. Because this area is so heavily reliant on the balance of the rotator cuff muscles, a consistent routine focused on postural awareness and strengthening is key. Avoid the “weekend warrior” syndrome where the shoulder is pushed to its limits without adequate conditioning. Instead, integrate shoulder-stabilization exercises into your regular workout routine. These exercises, which often involve resistance bands or light dumbbells, help ensure that the muscles pull evenly on the tubercle, preventing the micro-trauma that can lead to chronic degeneration over time.

In summary, the greater tubercle of humerus is a fundamental component of the shoulder’s architecture, serving as the essential junction where muscular force is converted into complex arm movement. Its role as the primary attachment point for the rotator cuff highlights its necessity for both power and joint stability. By recognizing the critical function of this bone and staying vigilant regarding its vulnerability to injury, individuals can better manage their musculoskeletal health. Whether you are an athlete seeking to optimize your performance or someone focused on preventing age-related shoulder decline, acknowledging the role of this anatomical landmark is a significant step toward maintaining a healthy and functional upper limb throughout your life.

Related Terms:

  • greater tubercle of humerus fracture
  • lesser tubercle of humerus
  • greater tubercle of humerus anatomy
  • medial epicondyle of humerus
  • deltoid tuberosity
  • greater tubercle of humerus attachments