Cleve

Gingivitis Treatment At Home

Gingivitis Treatment At Home

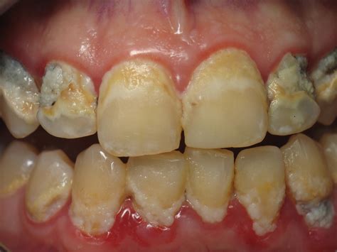
Discovering that your gums are red, swollen, or bleeding during brushing can be alarming, but it is often the first sign of gingivitis—a mild form of gum disease. While professional dental care is the gold standard for oral health, integrating an effective Gingivitis Treatment At Home routine can help you manage symptoms, reduce inflammation, and prevent the condition from progressing into more serious periodontal disease. Understanding how to manage your oral environment is key to restoring the health of your gums and maintaining a bright, pain-free smile.

Understanding the Basics of Gingivitis

Gingivitis is primarily caused by the buildup of plaque, a sticky film of bacteria that forms on teeth. If this plaque is not removed through daily brushing and flossing, it produces toxins that irritate the gum tissue, leading to inflammation. Early intervention is critical because, unlike advanced gum disease, gingivitis is often reversible with consistent care. By improving your daily habits and utilizing natural remedies, you can effectively stop the progression of inflammation.

Essential Habits for Gingivitis Treatment At Home

The foundation of any successful Gingivitis Treatment At Home relies on aggressive plaque control. You must adopt a rigorous routine that goes beyond simple brushing. Here are the core pillars of an effective home care regimen:

  • Brush Twice Daily: Use a soft-bristled toothbrush to avoid further irritation of the gums. Ensure you are brushing for at least two minutes, targeting the gum line where bacteria tend to collect.
  • Floss Every Day: Many people skip flossing, but it is essential for removing bacteria and food particles from between teeth where your toothbrush cannot reach.
  • Use Antimicrobial Mouthwash: Incorporating a therapeutic mouthwash can help kill bacteria and reach areas that brushing might miss.
  • Saltwater Rinses: Salt is a natural disinfectant that can help soothe swollen gums and reduce the bacterial load in your mouth.

⚠️ Note: Always choose an alcohol-free mouthwash if you have sensitive gums, as alcohol can cause excessive dryness and irritation.

Natural Remedies to Support Gum Health

In addition to standard dental hygiene, several natural substances have been shown to help manage gingivitis symptoms. These remedies are meant to supplement, not replace, your daily cleaning routine.

Remedy Benefit Application Method
Oil Pulling Reduces bacteria and plaque Swish 1 tbsp coconut oil for 10-15 minutes.
Turmeric Gel Anti-inflammatory properties Apply to gums; leave for 10 minutes, then rinse.
Hydrogen Peroxide Fights bacteria/light whitening Dilute with water; use as a brief mouth rinse.

The Role of Nutrition and Lifestyle

Your systemic health plays a massive role in your oral health. A diet high in processed sugars fuels the very bacteria that cause gingivitis. To support your Gingivitis Treatment At Home, consider the following lifestyle adjustments:

  • Increase Vitamin C Intake: Vitamin C is vital for gum tissue repair and collagen production. Include citrus fruits, strawberries, and bell peppers in your diet.
  • Hydration: Drinking plenty of water helps wash away food particles and maintains saliva production, which acts as a natural defense against bacteria.
  • Avoid Smoking: Tobacco products significantly hinder the body’s ability to heal gum tissue and increase the risk of severe periodontal complications.

💡 Note: While these home remedies are effective, they are not a substitute for professional dental cleanings, which are necessary to remove hardened tartar that brushing cannot dislodge.

When to See a Dentist

While home care is highly effective for mild cases, you must recognize when the situation requires professional medical attention. If you notice symptoms such as persistent bad breath that won’t go away, gums that have pulled away from your teeth (recession), or loose permanent teeth, you should schedule a visit with your dentist immediately. These can be signs of periodontitis, which requires clinical treatment to prevent permanent tissue and bone loss.

Maintaining Long-Term Results

Once you have managed your initial symptoms, the focus must shift to prevention. Consistency is the most important factor in keeping gingivitis at bay. Continue your daily regimen of brushing and flossing even after the inflammation subsides. Replace your toothbrush every three months, or sooner if the bristles appear frayed, to ensure it remains effective at removing plaque. Furthermore, routine dental check-ups every six months will ensure that any minor issues are addressed before they grow into complex, expensive dental problems. By staying vigilant with your oral care, you can enjoy healthy gums for a lifetime.

Taking control of your oral health through dedicated home care is the most effective way to manage and reverse the effects of gingivitis. By focusing on mechanical plaque removal, utilizing natural soothing agents, and making informed lifestyle choices, you can effectively reduce inflammation and restore your gums to their healthy state. Remember that the combination of daily discipline and professional guidance is the ultimate strategy for success. If you maintain this consistent effort, you will likely see a significant improvement in your comfort and the overall appearance of your smile, ensuring that gum disease does not become a recurring issue in your life.

Related Terms:

  • treatment for gingivitis in humans
  • best way to fight gingivitis
  • how to heal gingivitis naturally
  • how to correct gingivitis
  • Reverse Gingivitis
  • How to Cure Gingivitis