Cleve

Front Tooth Filling

Front Tooth Filling

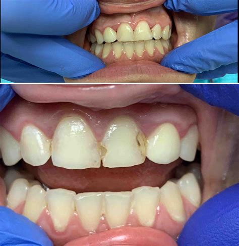
Discovering a cavity or a chip on your smile can be an unsettling experience, particularly when it affects your front tooth filling requirements. Because your front teeth are the most visible part of your smile, the repair process requires a unique blend of clinical precision and artistic finesse. Unlike back teeth, which are primarily functional, front teeth are the focal point of your facial aesthetics. Consequently, modern dentistry has evolved to prioritize materials and techniques that mimic the natural translucency and color of your enamel, ensuring that any restorative work remains virtually undetectable to the naked eye.

Understanding the Need for a Front Tooth Filling

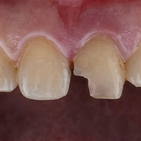
Dentist examining a front tooth

Many patients assume that dental fillings are strictly for molars, but a front tooth filling is a common procedure used to address several dental issues. Whether caused by decay, trauma, or general wear and tear, these restorations are essential for maintaining both structural integrity and confidence. When a dentist identifies a problem, they aren’t just looking to plug a hole; they are looking to restore the original shape and color of the tooth.

Common reasons you might require this treatment include:

  • Dental Decay: Small cavities that develop between teeth or along the gumline.
  • Chipped or Fractured Teeth: Minor breaks resulting from biting down on hard objects or sports-related impacts.
  • Diastema Closure: Using composite resin to close small gaps between the front teeth.
  • Erosion: Loss of enamel structure due to acidic diet or aggressive brushing habits.

The Procedure: What to Expect

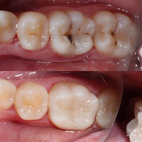
When you sit in the dental chair, the process for a front tooth filling is generally straightforward and highly efficient. Dentists today primarily use composite resin, a tooth-colored plastic and glass mixture that bonds directly to the tooth structure. Unlike old-fashioned metal fillings, composite resin can be shade-matched to your existing teeth, ensuring that the repair blends in seamlessly.

The standard steps involved include:

  1. Numbing and Preparation: Your dentist will often numb the area to ensure comfort. They will then clean the decay or prepare the chipped surface by roughening it slightly.
  2. Etching: A mild acidic gel is applied to the surface to create a microscopic texture, allowing the filling material to bond more securely.
  3. Bonding: An adhesive agent is applied, followed by the layering of the composite resin.
  4. Curing: A specialized blue light is used to harden the resin instantly.
  5. Polishing: The dentist will trim and polish the material to match the natural contour and shine of your tooth.

💡 Note: While composite fillings are durable, they can still stain over time. Avoid excessive consumption of dark liquids like coffee, tea, or red wine immediately following the procedure to allow the bonding material to stabilize.

Comparing Restorative Options

If you are considering your options for a front tooth restoration, it helps to understand how composite resin compares to other alternatives. While fillings are excellent for minor damage, more significant fractures might require more advanced intervention.

Treatment Type Best For Aesthetics
Composite Filling Small cavities and chips High (Color-matched)
Porcelain Veneers Severe staining or shape issues Excellent (Translucent)
Dental Bonding Minor cosmetic improvements Good

Maintaining Your Front Tooth Filling

Once you have received your front tooth filling, long-term maintenance is key to keeping it looking perfect. Composite resin is susceptible to wear, much like your natural enamel. Good oral hygiene habits are the most effective way to ensure your restoration lasts for many years.

Consider these best practices for long-term success:

  • Brush and Floss Daily: Use non-abrasive toothpaste to prevent scratching the surface of the filling.
  • Avoid "Tool" Behavior: Never use your front teeth to open packages, cut threads, or bite down on non-food items.
  • Routine Checkups: Visit your dentist every six months to have the filling polished and inspected for any signs of marginal breakdown.
  • Manage Habits: If you grind your teeth at night, consider a custom night guard to prevent the resin from chipping under pressure.

⚠️ Note: If you notice the filling becoming sensitive to temperature or if the edges feel rough against your tongue, contact your dental professional immediately. These signs often indicate that the material needs a simple re-polish or minor adjustment.

Selecting the Right Dental Provider

The success of a front tooth filling often depends on the artistic capability of the dentist. Because front teeth are highly visible, you want someone who prioritizes aesthetic dentistry. During your consultation, don’t hesitate to ask about their experience with composite layering techniques and whether they use high-quality, long-lasting resins. A skilled practitioner will be able to mimic the natural gradations of color found in your own teeth, making the restoration indistinguishable from your natural smile.

When searching for a provider, look for patient testimonials that specifically mention cosmetic results. You might also ask to see "before and after" photos of similar cases. This will give you peace of mind that your dentist understands the importance of facial harmony and natural tooth anatomy.

Ultimately, a front tooth filling is a highly effective way to restore both the function and beauty of your smile. By choosing a skilled dentist, opting for high-quality composite materials, and maintaining a consistent oral care routine, you can ensure that your dental restoration remains invisible and strong for years to come. Whether you are addressing a minor cavity or a small aesthetic chip, modern dentistry offers the tools and technology to keep your smile bright and healthy without anyone ever knowing you had treatment done. Consistent care and professional maintenance will keep your teeth in peak condition, allowing you to smile with total confidence.

Related Terms:

  • filling cavities on front teeth
  • fixing cavities on front teeth
  • front tooth filling keeps chipping
  • front tooth filling price
  • composite filling on front teeth
  • front tooth filling chipped