Cleve

Fractures Of Acetabulum

Fractures Of Acetabulum

The human pelvis acts as a vital foundation for the skeletal system, supporting the upper body and facilitating mobility through the hip joint. Among the various injuries that can affect this area, Fractures Of Acetabulum represent some of the most complex orthopedic challenges a surgeon can face. The acetabulum is the cup-shaped socket of the hip bone where the head of the femur sits. When this structure is compromised, it is rarely a minor incident; rather, it often results from high-energy trauma, fundamentally altering the joint's mechanics and stability.

Understanding the Anatomy and Etiology

The acetabulum is part of the pelvic ring and is critical for weight-bearing and movement. Because of its deep location and thick surrounding muscles, it is generally protected from low-impact injuries. However, Fractures Of Acetabulum are frequently associated with high-velocity events. Understanding how these fractures occur is essential for effective diagnosis and treatment planning.

  • Motor vehicle accidents: This is the most common cause, often occurring when the knee strikes the dashboard, driving the femur into the hip socket.
  • Falls from a significant height: Impacting the side or feet can transmit forces directly to the pelvis.
  • Pedestrian accidents: Direct impact forces can shatter the complex geometry of the socket.
  • Osteoporosis: In older adults, even low-energy falls can result in significant pelvic fractures due to decreased bone density.

Classifying the Severity of Injuries

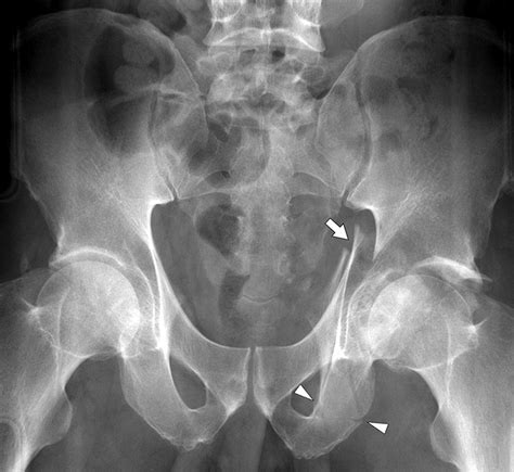
Because the acetabulum is complex in shape, clinicians use specific classification systems to describe the injury pattern. The most widely recognized system is the Letournel-Judet classification, which divides fractures into five "elementary" types and five "associated" types. Recognizing the specific pattern is crucial for determining whether conservative management or surgical intervention is required.

Fracture Type Description
Posterior Wall Most common; occurs when the femoral head is driven posteriorly.
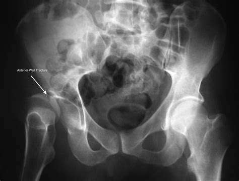
Anterior Column Involves the front part of the socket, often extending to the pelvic brim.
Transverse A break running horizontally across both columns.
T-Shaped A transverse fracture combined with a vertical fracture.
Both-Column The most severe form; the articular surface is completely detached from the stable ilium.

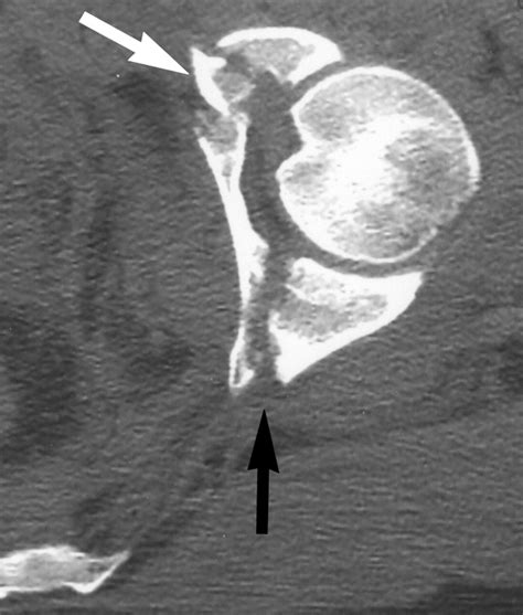
⚠️ Note: Surgical classification is highly specialized and requires high-resolution CT imaging with 3D reconstructions to accurately visualize the fracture fragments before planning surgery.

Clinical Presentation and Diagnostic Procedures

Patients suffering from Fractures Of Acetabulum typically present with severe pain in the hip or groin area. They are often unable to bear weight or move the hip joint without extreme discomfort. Physical examination is vital to rule out associated injuries, as the proximity of the sciatic nerve and major blood vessels makes these injuries high-risk.

Diagnostic protocols include:

  • Standard Radiographs: Pelvic AP and Judet views to assess the general orientation of the pelvis.
  • CT Scans: The gold standard. A CT scan provides a detailed view of the articular surface and the displacement of fracture fragments.
  • Neurological Assessment: Checking for foot drop or sensory changes to determine if the sciatic nerve has been compromised during the injury.

Treatment Options: Surgical vs. Non-Surgical

Deciding between operative and non-operative management depends heavily on the stability of the joint, the degree of articular displacement, and the patient's overall health status. When the joint surface is significantly uneven, or if the socket is unstable, surgery is almost always indicated to prevent early-onset arthritis.

Non-Surgical Management

Non-operative care is reserved for fractures that are minimally displaced, stable under stress, or in patients where surgery poses an unacceptable risk. This involves strict bed rest, protected weight-bearing, and intensive physical therapy. The goal is to avoid further damage while the bone heals in its anatomical position.

Surgical Intervention

Open Reduction and Internal Fixation (ORIF) is the standard surgical approach for Fractures Of Acetabulum. The objective is to restore the smoothness of the joint surface and the stability of the pelvic ring. Surgeons use plates and screws to hold the bone fragments in place, allowing for earlier mobilization and a better long-term functional outcome.

💡 Note: Patients undergoing ORIF must strictly adhere to weight-bearing restrictions provided by their orthopedic surgeon, as premature loading can lead to hardware failure or secondary displacement of the fracture.

Recovery and Long-Term Outlook

The journey to recovery after a fracture of the acetabulum is typically long and requires patience. Rehabilitation starts with early range-of-motion exercises to prevent stiffness. As the bone heals, the focus shifts to strengthening the musculature surrounding the hip, which often atrophies following trauma.

Factors that influence recovery include:

  • Age of the patient: Younger patients typically possess better bone healing capabilities.
  • Presence of secondary injury: Damage to cartilage or the femoral head can complicate recovery.
  • Post-traumatic arthritis: Even with successful surgery, there is a risk that the cartilage may wear down prematurely, potentially requiring a total hip replacement in the future.

To improve outcomes, patients should focus on a multi-disciplinary approach. Physiotherapy is not just an optional component; it is a critical part of regaining gait symmetry and muscle balance. Regular follow-up appointments with orthopedic specialists are necessary to monitor the joint's health through periodic imaging and physical exams.

Ultimately, treating Fractures Of Acetabulum demands a combination of precise surgical expertise and dedicated patient participation in the rehabilitation process. While the injury is undoubtedly severe, the modern advancements in internal fixation techniques and specialized physical therapy allow many individuals to regain significant function. By focusing on anatomical restoration, preventing long-term complications like arthritis, and committing to a structured exercise program, patients can navigate the path from acute trauma to recovery, aiming for the restoration of mobility and a return to their daily lives.

Related Terms:

  • displaced acetabular fractures
  • acetabular fractures radiology
  • closed left acetabular fracture
  • acetabulum fracture symptoms
  • fracture of the right acetabulum
  • acetabulum fractures orthobullets