X Rays Of Broken Wrist Wrist Fracture Surgery | OrthoVirginia
Cleve

X Rays Of Broken Wrist Wrist Fracture Surgery | OrthoVirginia

1150 × 1800 px December 8, 2024 Peter Cleve

X Rays Of Broken Wrist Wrist Fracture Surgery | OrthoVirginia is a high-quality image in the Cleve collection, available at 1150 × 1800 pixels resolution — ideal for both digital and print use.

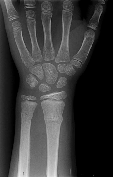
Recovering from a fracture broken wrist requires proper diagnosis and care. Learn about common wrist fracture symptoms, effective treatment options—including casting and surgery—and essential rehabilitation exercises to restore strength. Understand the healing timeline for distal radius fractures and discover expert tips to manage pain and ensure a smooth recovery process for your injured wrist.

Image Details

TitleX Rays Of Broken Wrist Wrist Fracture Surgery | OrthoVirginia
Dimensions1150 × 1800 px
CategoryCleve
PublishedDecember 8, 2024
AuthorZeus
Downloads1,004
Views954

Read full article: Fracture Broken Wrist

// More Images