Cleve

Fibroma In Mouth

Fibroma In Mouth

Discovering an unusual lump inside your oral cavity can be a source of significant anxiety. Among the various conditions that affect the soft tissues of the mouth, the fibroma in mouth—often referred to as an irritation fibroma—stands out as one of the most common findings. While the term "fibroma" might sound concerning, it is crucial to understand that in the context of oral health, this is almost exclusively a benign, non-cancerous growth. Understanding what these lesions are, why they form, and when you should seek professional dental care is essential for maintaining your oral well-being.

What Exactly Is an Irritation Fibroma?

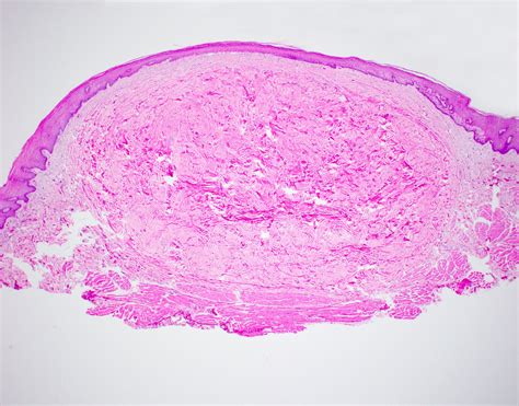
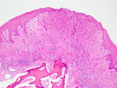
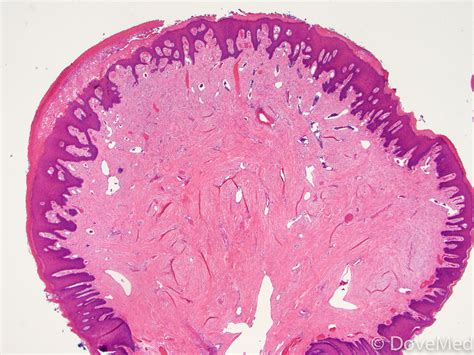
An oral fibroma is a reactive lesion, meaning it is not a tumor in the traditional sense, but rather a response by your body to chronic trauma or irritation. Think of it as a form of “scar tissue” that has overgrown. When a specific area of the mouth is repeatedly subjected to minor injury, the connective tissues react by proliferating, resulting in a firm, smooth-surfaced, and often dome-shaped bump.

These growths are typically the same color as the surrounding mucosa, though they can sometimes appear slightly paler or, if traumatized repeatedly, even ulcerated. They are generally painless unless they become large enough to interfere with chewing or speech. Because they are reactive, they do not spread to other parts of the body and possess no malignant potential.

Also read: Face Plus Plastic Surgery Clinic

Common Causes and Risk Factors

The primary driver behind a fibroma in mouth is repetitive mechanical trauma. Your mouth is a busy environment, and it is easy for soft tissues to become caught in cycles of irritation. Common triggers include:

  • Chronic Biting: Frequently biting your cheek or tongue, often due to stress or an unconscious habit.
  • Dental Appliances: Ill-fitting dentures, partials, or orthodontic hardware that rubs against the cheek or gum line.
  • Sharp Tooth Surfaces: A chipped or broken tooth that consistently scrapes against the inside of the cheek.
  • Rough Restorations: Poorly contoured fillings or crowns that create a constant friction point.

⚠️ Note: While irritation fibromas are benign, any unexplained lump in the mouth should be evaluated by a dentist to rule out other, more serious conditions that can mimic the appearance of a simple fibroma.

Characteristics and Identification

Identifying a fibroma involves looking for specific physical traits. While a formal diagnosis requires a dental professional, understanding these characteristics can help you monitor the area before your appointment.

Feature Description
Texture Firm, solid, and smooth
Color Usually matches surrounding tissue (pinkish)
Mobility Fixed or slightly movable within the tissue
Growth Rate Very slow, often stable in size for long periods
Pain Generally asymptomatic

Diagnosis and Clinical Evaluation

When you visit a dentist, they will perform a thorough clinical examination. Because many different types of oral lesions can look similar, your dentist will assess the site of the lesion relative to your teeth and appliances. If the lesion is located exactly where a sharp tooth edge or a denture border contacts the tissue, the diagnosis of an irritation fibroma becomes highly probable.

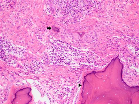
In most cases, a clinical diagnosis is sufficient. However, if the lesion appears atypical, grows rapidly, or has an unusual appearance, the dentist may recommend an excisional biopsy. This is a simple procedure where the tissue is removed and sent to a laboratory to be examined under a microscope by a pathologist. This is a standard precautionary measure to ensure the lesion is indeed benign.

Treatment Options for a Fibroma in Mouth

If a fibroma is small and does not bother you, treatment may not be necessary. However, if the fibroma is large, interferes with your ability to eat, causes you to bite it repeatedly, or is a cosmetic concern, removal is the standard approach. The process is generally straightforward:

  • Surgical Excision: The most common treatment involves numbing the area with local anesthesia and surgically removing the fibrous tissue. The wound is then sutured closed, and healing usually occurs within one to two weeks.
  • Laser Removal: Some dental practices utilize soft tissue lasers to excise the fibroma. This method often results in less bleeding, minimal discomfort, and faster recovery times.
  • Eliminating the Source: Regardless of how the fibroma is removed, it is vital to address the cause. If the fibroma was caused by a sharp tooth, the tooth must be smoothed; if it was caused by a denture, the appliance must be adjusted or relined.

💡 Note: Failing to address the underlying source of irritation—such as an ill-fitting denture or a habitual biting pattern—greatly increases the likelihood that the fibroma will return even after surgical removal.

Prevention and Oral Hygiene

Prevention focuses on minimizing trauma to the soft tissues. Maintaining good oral hygiene and regular dental check-ups are your best defenses. Your dentist can identify potential trouble spots before they evolve into a fibroma. If you notice a habit of biting your cheek, being mindful of the behavior is often the first step toward stopping it. For those who wear dentures, ensuring they are professionally checked for proper fit annually can prevent the friction that often leads to these growths.

Ultimately, a fibroma in mouth is a manageable condition that rarely poses a serious threat to your health. By recognizing the role that chronic irritation plays in its development and seeking professional evaluation, you can address the issue effectively. Whether it is through simple monitoring, surgical removal, or correcting the dental factors causing the friction, you have options to restore your comfort. Always prioritize regular dental visits to ensure that any changes in your oral cavity are identified early, allowing for peace of mind and optimal health for your smile.

Related Terms:

  • what causes fibroma in mouth
  • fibroma in mouth treatment
  • fibroma on tongue pictures
  • pictures of oral fibroma
  • oral fibroma pathology outlines
  • oral fibroma