Cleve

Expander For Teeth

Expander For Teeth

Correcting a misaligned bite or addressing dental crowding often requires specialized orthodontic interventions. One of the most effective tools in a pediatric or adult orthodontist's arsenal is the expander for teeth, clinically known as a palatal expander. This device is designed to widen the upper jaw, creating enough space for crowded teeth to align properly and improving the way your upper and lower teeth meet. While the prospect of wearing an appliance may seem daunting, understanding how it works and what to expect can significantly ease your journey toward a healthier, more aesthetic smile.

What Exactly Is an Expander for Teeth?

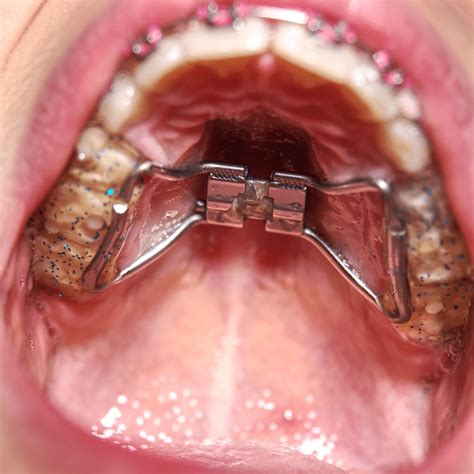
A palatal expander is a custom-made orthodontic appliance that fits across the roof of the mouth. Its primary function is to widen the upper jaw by applying gentle, constant pressure to the two halves of the maxillary bone. In younger patients, the jaw is still developing, and these two halves have not yet fused together, making it the ideal time to guide the bone growth.

The device consists of a metal framework that attaches to the upper molars, often connected by a central screw mechanism. By turning this screw periodically—as directed by your orthodontist—you slowly push the two sides of the palate apart, allowing new bone to form in the space created. This process is essential for correcting crossbites, relieving severe crowding, and potentially reducing the need for permanent tooth extractions later in life.

Types of Palatal Expanders

There is no "one size fits all" when it comes to orthodontic appliances. Depending on your specific dental needs, your orthodontist will select the most suitable type of expander for teeth. Here are the most common variations:

  • Rapid Palatal Expander (RPE): A fixed appliance that uses a high-force mechanism to achieve expansion over a relatively short period.
  • Removable Expanders: These are less common for major structural changes but can be used for minor adjustments. They look similar to clear retainers or thin plates.
  • Surgically Assisted Rapid Palatal Expansion (SARPE): Typically reserved for adults whose jaw sutures have already fused, requiring a minor surgical procedure to facilitate the movement.
  • Bonded Expanders: These cover the biting surfaces of the back teeth, often used when a patient has a very deep bite that needs to be opened during the expansion phase.
Feature Fixed Expander Removable Expander
Compliance High (cannot be taken out) Low (requires patient discipline)
Speed of Results Usually faster Slower, gradual adjustments
Comfort Initial speech adjustment required Easier to clean, less intrusive

⚠️ Note: Always maintain excellent oral hygiene while wearing a fixed expander. Food particles can easily get trapped under the appliance, so using a water flosser and interdental brushes is highly recommended.

The Step-by-Step Process of Palatal Expansion

The journey with an expander for teeth generally follows a predictable timeline. Understanding these phases can help manage expectations and reduce anxiety regarding the treatment process.

  1. Consultation and Imaging: Your orthodontist will take X-rays and digital impressions to confirm that your upper jaw needs widening.
  2. Fabrication: The appliance is custom-manufactured in a laboratory based on your unique dental anatomy.
  3. Fitting: During your appointment, the dentist will cement the appliance to your upper molars. This is a quick and painless procedure.
  4. Activation Phase: You or a parent will be instructed to use a special "key" to turn the screw in the center of the expander. This usually happens once or twice daily.
  5. Stabilization Phase: Once the desired width is reached, the device stays in your mouth for several months to allow the bone to "set" in its new position.

During the activation phase, it is perfectly normal to notice a small gap appearing between your front two teeth. This is actually a positive sign, as it indicates that the palate is successfully widening. This gap typically closes on its own once the expansion is complete and teeth begin to shift naturally.

Addressing Common Concerns and Discomfort

Many patients worry about how the expander for teeth will affect their daily lives. While there is a short adjustment period, most people adapt very quickly. You may experience excess saliva for the first 24 hours, and your speech might sound slightly different for the first few days. Reading aloud or practicing speech at home can accelerate your adaptation to the appliance.

Regarding pain, most patients report a feeling of pressure rather than actual pain. This pressure is most noticeable immediately after turning the key and usually dissipates within a few minutes. Over-the-counter pain relief is generally sufficient to manage any mild soreness during the first week of treatment.

💡 Note: If you experience sharp, persistent pain or if the appliance becomes loose, contact your orthodontist immediately. Do not attempt to adjust or force the appliance yourself.

Long-Term Benefits of Palatal Expansion

Beyond simply creating room for crowded teeth, the use of an expander for teeth can have long-term benefits for your overall oral health. By correcting the structural alignment of the upper jaw, you are less likely to deal with impactions—where teeth become trapped under gum tissue or other teeth. Furthermore, a proper bite alignment ensures that pressure is distributed evenly across all your teeth during chewing, which helps prevent excessive wear and tear on your enamel.

In some cases, widening the palate can also help improve breathing by increasing the volume of the nasal cavity. This is particularly beneficial for children who suffer from mouth breathing, as it encourages better nasal airflow and may lead to improved sleep quality and reduced instances of snoring.

Embarking on orthodontic treatment is a significant step toward improving your long-term dental health. While the process of using an expander for teeth requires a level of commitment—particularly with daily maintenance and cleaning—the results are transformative. By addressing the root cause of crowding and bite issues, you are laying the foundation for a straighter, healthier, and more functional smile. Through regular communication with your orthodontist and a consistent oral hygiene routine, you can navigate the expansion process comfortably and achieve the long-term success you desire for your dental health. Remember that every adjustment brings you one step closer to your final, beautiful smile, making the temporary inconvenience a worthwhile investment in your future.

Related Terms:

  • removable palatal expander for adults
  • expander for teeth cost
  • do palate expanders really work
  • palate expander for teeth
  • before and after palate expander
  • removable palate expander for adults