Rp

Ectopic Kidney Disease

Ectopic Kidney Disease

Discovering that you have an abnormality in your renal system can be an unsettling experience, but understanding the condition is the first step toward effective management. Ectopic kidney disease refers to a congenital condition where one or both kidneys are not located in their normal position in the back of the abdomen. While most people live healthy, full lives without ever knowing they have this condition, it is essential to be aware of potential complications, diagnostic processes, and lifestyle adjustments that may be required to maintain long-term renal health.

Understanding Ectopic Kidney Disease: What Is It?

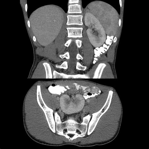
Normally, kidneys develop in the pelvis area of a fetus and then ascend to their final location near the ribcage. When this process is interrupted, the organ remains in the pelvis, the lower abdomen, or even the chest, resulting in what medical professionals call an ectopic kidney. In some rare cases, the kidneys may fuse together as they ascend, which is a related condition known as a crossed fused ectopic kidney.

The severity of ectopic kidney disease is highly variable. Many patients remain asymptomatic throughout their entire lives, as a displaced kidney can function perfectly well despite its unusual position. However, because the kidney is not in its protected anatomical location and the ureters (the tubes connecting the kidney to the bladder) may have a more difficult path, patients can be at a higher risk for specific urological issues.

Common Symptoms and Risk Factors

Because the condition is congenital—meaning it is present at birth—it is often discovered incidentally during imaging tests for unrelated issues. However, if symptoms do manifest, they usually occur due to secondary complications rather than the position of the organ itself. You should consult a specialist if you experience:

  • Persistent abdominal or lower back pain.
  • Recurrent urinary tract infections (UTIs).
  • Blood in the urine (hematuria).
  • High blood pressure, which can indicate that the kidneys are struggling to filter waste efficiently.
  • Symptoms of kidney stones, which are more common in ectopic kidneys due to irregular urine flow.

The primary risk factor associated with ectopic kidney disease is the increased likelihood of vesicoureteral reflux (VUR). This occurs when urine flows backward from the bladder into the kidney, creating a breeding ground for bacteria and potentially causing scarring of the renal tissue over time.

Diagnostic Procedures

If your doctor suspects an ectopic kidney, they will use imaging technology to confirm the location and assess the health of the renal tissue. Early detection is vital for monitoring function. Common diagnostic methods include:

Method Description
Ultrasound The most common, non-invasive initial scan to locate the kidney.
Intravenous Pyelogram (IVP) Uses dye to map the drainage pathway of the kidneys.
Renal Scintigraphy (DMSA Scan) Provides detailed information on the function and structure of the kidney.
CT/MRI Scans Used for detailed cross-sectional views if further analysis is needed.

⚠️ Note: Always discuss the necessity of radiation-based tests (like CT scans) with your healthcare provider, especially in younger patients, to balance diagnostic benefits against radiation exposure.

Managing Life with an Ectopic Kidney

For the vast majority of individuals, no specific surgical intervention is required. Treatment is usually directed toward managing complications rather than the location of the kidney itself. If your doctor confirms your ectopic kidney is healthy, you should focus on general kidney maintenance.

Strategies for long-term health include:

  • Hydration: Drinking adequate water throughout the day to prevent stone formation and keep the urinary tract flushed.
  • Blood Pressure Control: Regular monitoring of blood pressure, as hypertensive damage can be more pronounced in patients with anatomical variations.
  • Regular Check-ups: Periodic blood tests (to check creatinine and GFR levels) and ultrasound monitoring to ensure the kidney remains healthy.
  • Infection Awareness: Treating any UTI immediately to prevent the infection from spreading to the kidneys, which can cause significant damage to the displaced organ.

Surgical Considerations

Surgery is rarely indicated for ectopic kidney disease unless the kidney is causing severe, unmanageable symptoms. If an ectopic kidney is severely damaged, is blocking the flow of urine, or is causing debilitating chronic pain, a urologist might suggest procedures such as ureteral reimplantation to correct flow or, in extreme cases, the removal of the non-functioning kidney. It is important to emphasize that removing an ectopic kidney is only considered if the other kidney is fully functional and capable of handling the body’s filtration needs alone.

ℹ️ Note: If you participate in high-impact contact sports, consult your doctor. While an ectopic kidney is usually tucked away in the pelvis, its position might change its vulnerability to physical trauma compared to a standard anatomical position.

Summary of Findings

Living with this condition does not necessarily mean a future of medical complications. The majority of people with an ectopic kidney lead entirely normal lives, unaware of their anatomical difference until a routine physical or scan reveals it. The key to maintaining health is awareness and proactive monitoring. By staying hydrated, keeping blood pressure in check, and treating urinary infections promptly, you can protect your renal function for the long term. If you have been diagnosed, do not be alarmed; instead, utilize this knowledge to maintain regular communication with your physician, ensuring that your unique anatomy is factored into your long-term health strategy. Maintaining a balanced diet, avoiding excessive salt intake, and staying physically active remain the best defenses for anyone looking to support their kidney health, regardless of their anatomical structure.

Related Terms:

  • left ectopic kidney
  • ectopic kidney means
  • ectopic kidney ct
  • ectopic kidney treatment
  • ectopic kidney radiopaedia
  • ectopic malrotated kidney