Cleve

Dentist For Receding Gums

Dentist For Receding Gums

Discovering that your gums are pulling away from your teeth can be a startling experience, often accompanied by sensitivity, pain, or a visible change in your smile. Receding gums, medically known as gingival recession, is a common condition that affects people of all ages. Many individuals ignore the initial signs, hoping they will resolve on their own, but early intervention by a professional dentist for receding gums is essential to prevent permanent damage to your tooth structure and bone health. Understanding the causes, symptoms, and treatment options available is the first step toward reclaiming your oral health and stopping the progression of this condition.

Why Gum Recession Occurs

Gum recession does not happen overnight. It is a slow, progressive process where the gum tissue surrounding the teeth wears away or pulls back, exposing more of the tooth or the tooth's root. Several factors contribute to this condition, ranging from genetic predisposition to daily lifestyle habits.

  • Aggressive Toothbrushing: Using a hard-bristled brush or brushing with excessive force can wear down the enamel and push the gum tissue away from the tooth line.
  • Periodontal Disease: Bacterial gum infections are the primary cause of gum recession. The inflammation destroys gum tissue and the supporting bone.
  • Poor Oral Hygiene: Inadequate brushing and flossing lead to the buildup of plaque and tartar, which can only be removed by a dental professional.
  • Hormonal Changes: Fluctuations in estrogen levels, particularly during puberty, pregnancy, or menopause, can make gums more sensitive and prone to recession.
  • Tobacco Use: Smoking or chewing tobacco makes it difficult for gums to heal and adhere properly to the teeth.
  • Grinding and Clenching (Bruxism): The immense pressure placed on the teeth during grinding can cause the gums to recede over time.

Signs You Need to See a Professional

Recognizing the symptoms early allows you to seek a dentist for receding gums before the issue reaches an advanced stage. You might notice one or more of the following indicators:

Sensitivity to Hot and Cold: Because the tooth root is not protected by enamel, temperature changes can cause sharp pain.

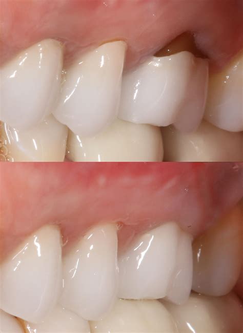
Visible Tooth Roots: You may notice that your teeth appear longer than they used to be, or there is a distinct notch near the gum line.

Bleeding and Swelling: If your gums bleed when you brush or floss, or if they appear red and puffy, you may have underlying gingivitis.

Loose Teeth: In severe cases, recession is a symptom of advanced bone loss, which can lead to tooth mobility or eventual tooth loss.

Treatment Approaches for Gum Recession

When you visit a specialist, they will assess the severity of the recession and recommend a tailored treatment plan. Depending on the depth of the pockets and the amount of bone loss, the approach may vary.

Treatment Type Description Purpose
Scaling and Root Planing Deep cleaning below the gum line Remove bacteria and tartar
Gum Grafting Surgical procedure using tissue Restore lost gum tissue
Pinhole Surgical Technique Minimally invasive advancement Reposition gum tissue without grafts
Regeneration Use of membranes or proteins Encourage bone and tissue regrowth

💡 Note: While surgical options are effective, they are usually reserved for advanced cases. Early-stage recession is often managed through improved home care and professional cleanings.

Choosing the Right Dentist for Receding Gums

Selecting the right care provider is crucial. While a general dentist can handle mild cases, you may be referred to a periodontist—a specialist in the supporting structures of the teeth. When looking for a dentist for receding gums, consider these criteria:

  • Experience with Gum Therapy: Look for a provider who emphasizes gum health and offers specialized periodontal services.
  • Use of Advanced Technology: Clinics that utilize lasers or digital imaging often provide less invasive and more precise treatment options.
  • Patient Reviews: Read testimonials from other patients who have undergone gum restoration or periodontal treatment.
  • Comprehensive Consultations: A good provider should conduct a thorough examination of your bite, hygiene habits, and family history.

The Importance of Preventative Maintenance

Even after treatment, maintaining your oral health is vital to prevent the recurrence of recession. A disciplined routine helps keep the gums tight against the teeth and prevents the buildup of harmful bacteria. Always switch to a soft-bristled toothbrush to prevent mechanical damage, and consider using an electric toothbrush with a pressure sensor to ensure you are not brushing too hard. Consistency with professional cleanings every six months allows your dentist for receding gums to monitor your progress and catch any new areas of concern before they escalate.

💡 Note: If you have a habit of clenching your teeth at night, ask your dentist about custom-made night guards to protect your gum tissue from unnecessary stress.

Addressing gum recession is an investment in the longevity of your natural teeth. By identifying the root causes, whether they are related to hygiene, genetics, or habits, you can take control of your dental health. Seeking professional guidance from an experienced dentist for receding gums ensures that you receive the most appropriate care, from non-surgical deep cleanings to advanced restorative techniques. Remember that consistency in your daily routine and regular dental checkups are the most effective ways to preserve your gums and keep your smile healthy for years to come. Do not wait for discomfort to become unbearable; early diagnosis and treatment offer the best prognosis for a full recovery and a stabilized gum line.

Related Terms:

  • dentist specializing in gums
  • gums receding from teeth pictures
  • how to fix recessed gums
  • treatment for receding gums nhs
  • dentist that deals with gums
  • receding gums exposed tooth