Cleve

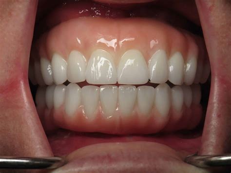
Dental Implant Crown

Dental Implant Crown

Losing a tooth can be a distressing experience, impacting not only the aesthetic of your smile but also your ability to chew, speak clearly, and maintain the health of your remaining teeth. Fortunately, modern dentistry offers a gold-standard solution for tooth replacement: the dental implant crown. This restoration serves as the final, visible part of the implant procedure, meticulously crafted to function and look just like a natural tooth. Understanding the role, composition, and care of this specialized restoration is essential for anyone considering or currently undergoing implant treatment.

What Exactly Is a Dental Implant Crown?

To understand the restoration, it is helpful to visualize the three parts of an implant system: the implant post (which acts as the root), the abutment (the connector), and the dental implant crown (the prosthetic tooth). The crown is the only portion visible above the gum line. It is custom-designed to match the shape, size, and shade of your surrounding natural teeth, ensuring that it blends seamlessly into your smile.

Unlike traditional bridges that rely on adjacent teeth for support, an implant-supported crown is anchored directly into the jawbone. This provides unparalleled stability, preventing bone loss and maintaining the integrity of your facial structure. Because the crown is fabricated from highly durable materials, it is designed to withstand the significant forces of biting and chewing over many years.

Materials Used for Your Restoration

The choice of material for your dental implant crown plays a significant role in both its aesthetic appearance and its longevity. Dentists and dental laboratories typically select materials based on their strength, translucency, and biocompatibility. The most common options include:

  • Zirconia: Renowned for its extreme durability and natural-looking translucency. It is often the preferred choice for molars due to its high resistance to fracture.
  • Porcelain-Fused-to-Metal (PFM): Combines the strength of a metal base with the natural appearance of porcelain.
  • Lithium Disilicate (E-max): Highly aesthetic and suitable for front teeth where cosmetic outcomes are the primary concern.
Feature Zirconia Porcelain/Ceramic
Durability Very High Moderate to High
Aesthetics Excellent Superior
Best Used For Back Teeth (Molars) Front Teeth (Incisors)

The Fabrication and Placement Process

The journey toward receiving your dental implant crown usually begins once the dental implant post has fully integrated with the jawbone, a process known as osseointegration. Once your periodontist or oral surgeon confirms the implant is stable, the restorative phase begins:

  1. Impression Taking: Your dentist takes a digital scan or a physical mold of your mouth to capture the exact position of the implant and the surrounding teeth.
  2. Abutment Selection: The abutment—the small connector piece—is attached to the implant post.
  3. Custom Design: A dental laboratory uses your impressions to create a crown that mimics your natural tooth's anatomy.
  4. Final Delivery: The crown is either screwed onto the abutment or cemented into place, depending on the specific system used.

⚠️ Note: Temporary crowns may be placed during the initial healing phases to protect the site and maintain aesthetics before the permanent restoration is finalized.

Longevity and Proper Maintenance

While a dental implant crown is resistant to cavities because it is made of artificial materials, the surrounding gum tissue and underlying bone are very much alive and susceptible to disease. Proper hygiene is not optional; it is the cornerstone of your implant's success. If plaque is allowed to accumulate around the base of the crown, it can lead to peri-implantitis, a condition that can jeopardize the implant itself.

To maintain your restoration, follow these best practices:

  • Floss Daily: Use specialized floss designed for implants or an interdental brush to clean the space between the crown and adjacent teeth.
  • Use a Non-Abrasive Toothpaste: This prevents scratches on the surface of the crown that could attract plaque.
  • Schedule Regular Checkups: Professional cleanings are necessary to reach areas that standard brushing might miss.
  • Avoid Chewing Hard Objects: Refrain from using your teeth to open packages or biting down on ice, which can chip or crack the ceramic material.

Common Myths Debunked

There is a lot of misinformation surrounding implant dentistry. One common misconception is that a dental implant crown requires specialized maintenance that is significantly harder than caring for natural teeth. In reality, caring for a crown is very similar to caring for a natural tooth; it simply requires consistency. Another myth is that implants are purely for cosmetic purposes. While they certainly improve your smile, their primary function is to preserve jawbone volume and restore proper bite mechanics, which prevents the drifting of adjacent teeth.

💡 Note: If you notice any wobbling or a strange sensation around your crown, contact your dentist immediately, as this may indicate a loose abutment screw that needs tightening.

Choosing the Right Dental Professional

The quality of your dental implant crown depends heavily on the skill of the restorative dentist. Look for a provider who utilizes advanced digital imaging and works with reputable laboratories. Ask about their experience with various implant systems and inquire about the types of materials they use for their prosthetic work. A transparent dentist will be happy to explain why they recommend a specific material and walk you through the custom design process, ensuring your expectations align with the final clinical result.

In summary, the dental implant crown is a sophisticated blend of art and engineering that restores more than just a missing tooth—it restores your quality of life. By choosing high-quality materials, maintaining a strict oral hygiene routine, and attending regular professional evaluations, you can ensure that your restoration remains a permanent and beautiful fixture in your smile. Investing time and care into your prosthetic ensures it continues to function effectively for years to come, allowing you to eat, speak, and smile with complete confidence.

Related Terms:

  • dental implant crown fell off
  • crown attached to dental implants
  • dental implant crown fell out
  • dental implant crown procedure
  • dental implant crown material
  • dental implant crown problems