Mayo

Dense Breasts 3D Mammogram

Dense Breasts 3D Mammogram

Understanding your breast composition is a critical step in proactive healthcare and early detection of potential issues. Many women are surprised to learn during a routine screening that they have what radiologists classify as dense breast tissue. This classification is not a diagnosis of a disease, but rather a description of how the breast appears on an imaging scan. As medical technology continues to evolve, the integration of Dense Breasts 3D Mammogram technology has become a game-changer for millions of patients, offering a much clearer picture of breast health than traditional imaging methods alone.

What Does It Mean to Have Dense Breasts?

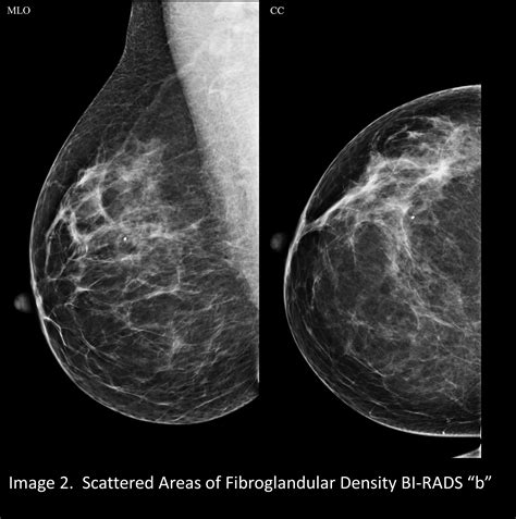
To understand why advanced imaging is necessary, it helps to know what “density” actually refers to. Breast tissue is composed of two primary types: fibrous and glandular tissue (which are dense) and fatty tissue (which is non-dense). When a radiologist looks at a mammogram, fatty tissue appears dark or transparent, while dense tissue appears solid white.

The challenge arises because breast cancer also appears as a white area on a standard mammogram. If a woman has dense breasts, the white dense tissue can essentially “mask” or hide a potential tumor, making it significantly harder to detect abnormalities. This is where the shift toward more sophisticated technology is vital.

The Evolution: 2D vs. 3D Mammography

For decades, standard 2D digital mammography was the gold standard. However, 2D images take a flattened view of the entire breast, which can lead to overlapping tissues that look like suspicious spots. A Dense Breasts 3D Mammogram, clinically known as digital breast tomosynthesis, works differently by taking multiple images from various angles. These images are then reconstructed into a series of thin “slices,” allowing the radiologist to scroll through the breast tissue layer by layer.

Feature 2D Mammography 3D Mammogram (Tomosynthesis)
Imaging Style Single flattened image Layered, multi-angle images
Accuracy for Dense Tissue Lower (potential masking) Higher (see through layers)
Recall Rates Higher (false positives) Lower (fewer call-backs)
Comfort Standard compression Similar compression

Why Dense Breasts 3D Mammogram Matters

The primary advantage of opting for a 3D mammogram when you have dense tissue is the reduction of diagnostic uncertainty. Because radiologists can look through the tissue rather than looking at a flat projection, they are less likely to mistake overlapping normal tissue for a lesion. This leads to several clinical benefits:

  • Improved Cancer Detection: Studies show that 3D imaging finds invasive cancers more reliably than 2D imaging.
  • Fewer False Positives: Because the radiologist has a clearer view, patients are less likely to be called back for “additional imaging” to rule out something that turns out to be nothing.
  • Early Intervention: Finding a tumor while it is smaller and contained can significantly change the treatment pathway and improve prognosis.

💡 Note: While 3D mammography is significantly more effective, it is important to consult with your physician if your report indicates "extremely dense" tissue, as some patients may still benefit from supplemental screening via ultrasound or MRI.

If you have recently received a report indicating dense breasts, it is natural to feel some anxiety. However, the most important step is to maintain a consistent screening schedule. Use the following guide to prepare for your next appointment:

  • Know Your History: Share your family history of breast health with your provider.
  • Ask for 3D: Ensure the facility uses 3D tomosynthesis technology for your routine screening.
  • Schedule Strategically: Try to schedule your exam for the week after your menstrual period when breasts are typically less tender.
  • Track Your Results: Keep a copy of your imaging reports so you can compare changes over several years.

The Role of Clinical Radiologists

The interpretation of a Dense Breasts 3D Mammogram requires specialized training. Radiologists must analyze hundreds of individual slices to ensure no subtle changes are missed. By utilizing the 3D data, they can isolate specific areas of concern that might have been buried under dense, fibroglandular tissue in a 2D scan. This technological precision empowers medical professionals to provide more confident assessments, ultimately leading to better peace of mind for the patient.

💡 Note: Many insurance providers now cover 3D mammography as part of standard screening, but it is always recommended to verify coverage with your specific insurance plan prior to your visit.

Empowerment Through Information

Having dense breasts is a common biological trait rather than a reflection of your overall health. By embracing modern diagnostic tools like the Dense Breasts 3D Mammogram, you are taking a proactive stance on your long-term wellness. Technology has minimized the limitations that once made breast density a diagnostic hurdle, allowing for clearer visibility and more accurate results. Regular screenings, combined with an open dialogue with your healthcare provider, remain the most effective strategy for maintaining breast health and catching any issues early.

Staying informed about your personal risk factors and the tools available to you is the most effective way to manage your health journey. As medical advancements continue to lower the barrier to early detection, the combination of clinical expertise and high-resolution imaging ensures that women receive the highest standard of care regardless of their breast composition. By prioritizing these advanced screenings, you are ensuring that your healthcare providers have the clearest possible view, which is the cornerstone of effective preventive medicine and long-term health monitoring.

Related Terms:

  • 3d mammography pros and cons
  • 3d mammogram before and after
  • 3d mammogram pros and cons
  • 3d breast mammogram near me
  • is 3d mammogram painful
  • 3d breast mammogram cpt