Cleve

Cystoid Macular Edema

Cystoid Macular Edema

Vision is one of our most precious senses, yet it is often taken for granted until a complication arises. One such complication that can significantly impact your central vision is Cystoid Macular Edema (CME). This condition occurs when fluid accumulates within the layers of the macula, the small, central part of the retina responsible for sharp, detailed vision. When this happens, the macula swells, leading to blurred or distorted vision. Understanding what causes this condition, how it manifests, and the available treatment paths is essential for anyone dealing with retinal health concerns.

What is Cystoid Macular Edema?

Cystoid Macular Edema is not a disease in itself but rather a sign of an underlying issue. The term "cystoid" refers to the cyst-like spaces that form as fluid collects in the macula, while "edema" simply means swelling. Because the macula is critical for tasks like reading, driving, and recognizing faces, any interference in this area can cause noticeable changes in your sight. If left untreated, the chronic swelling can lead to permanent damage to the retinal cells, making early intervention vital.

Eye examination

Common Causes and Risk Factors

CME is frequently associated with surgery or pre-existing eye conditions. It is a well-documented complication of cataract surgery, known as Pseudophakic Cystoid Macular Edema (PCME). However, it can also stem from inflammatory responses or vascular blockages. Common causes include:

  • Cataract Surgery: The most common post-operative cause.
  • Diabetic Retinopathy: High blood sugar can damage blood vessels in the retina.
  • Retinal Vein Occlusion (RVO): Blockages in the veins that drain the retina.
  • Uveitis: Chronic inflammation of the middle layer of the eye.
  • Age-Related Macular Degeneration (AMD): Specifically the wet form which involves abnormal blood vessel growth.
  • Certain Medications: Some topical or systemic drugs may trigger fluid buildup.

Recognizing the Symptoms

The hallmark symptom of Cystoid Macular Edema is a painless, gradual decrease in visual acuity. Patients often report that things look "wavy" or that colors seem faded. Because the swelling is central, peripheral vision typically remains intact, which can sometimes delay the patient from seeking immediate help. Key symptoms include:

  • Blurred vision in the center of your field of view.
  • Difficulty reading small print or fine details.
  • Metamorphopsia, where straight lines appear wavy or bent.
  • Increased sensitivity to bright light.

Diagnostic Procedures

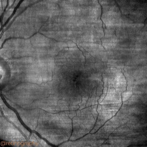
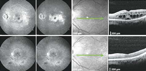
To confirm the presence of CME, an ophthalmologist will perform a comprehensive eye exam. Standard tests include a dilated fundus examination, where the doctor looks at the back of the eye. More precise imaging is often used to visualize the fluid:

Diagnostic Test Purpose
Optical Coherence Tomography (OCT) Provides high-resolution cross-sectional images of the retina to measure swelling.
Fluorescein Angiography (FA) Uses a special dye to track blood flow and highlight leaking vessels.
Amsler Grid Test A simple self-check tool to identify central vision distortions.

⚠️ Note: Always consult with a retina specialist if you notice sudden changes in your vision, as these tests are best interpreted by trained professionals using specialized equipment.

Treatment and Management Options

The goal of treating Cystoid Macular Edema is to reduce the fluid and address the underlying cause. Modern medicine offers several effective approaches:

  • Topical Medications: Non-steroidal anti-inflammatory eye drops (NSAIDs) are often the first line of defense for post-surgical CME.
  • Intravitreal Injections: Anti-VEGF medications or corticosteroids injected directly into the eye can stop the leakage of blood vessels.
  • Systemic Treatments: Oral medications may be used if the condition is linked to systemic inflammatory diseases.
  • Laser Therapy: Used less frequently now, but sometimes effective for specific types of retinal leakage.

💡 Note: While these treatments are generally safe, intravitreal injections carry a small risk of infection, which is why strict sterile protocols are always followed in clinical settings.

Living with Retinal Health Challenges

Managing your eye health requires consistency and patience. If you are at risk for CME—perhaps because you are preparing for cataract surgery or managing diabetes—maintaining open communication with your eye care provider is paramount. Regular monitoring via OCT scans allows doctors to detect fluid buildup even before you notice significant vision loss. Lifestyle adjustments, such as controlling blood glucose levels and protecting your eyes from UV rays, also play a supportive role in overall retinal health.

Dealing with a diagnosis of Cystoid Macular Edema can feel overwhelming, but it is important to remember that it is a treatable condition. With the advent of advanced imaging techniques like OCT and targeted injection therapies, the prognosis for vision recovery is better than it has ever been. The most significant factor in successful outcomes is early detection. By staying vigilant regarding changes in your visual clarity and attending all scheduled follow-up appointments, you provide your medical team with the best opportunity to protect your eyesight. Protecting your central vision is a long-term commitment, but by working closely with your specialist, you can effectively manage the condition and maintain your quality of life for years to come.

Related Terms:

  • right cystoid macular edema
  • causes of cystoid macular edema
  • cystoid macular edema fa
  • cystoid macular edema treatment options
  • cme in right eye
  • cystoid macular edema differential diagnosis