Cleve

Cyst In Stomach

Cyst In Stomach

Discovering that you have a cyst in stomach can be an alarming experience, often leading to a whirlwind of questions and anxiety. It is important to understand that the term "cyst" is a broad medical descriptor for a sac-like pocket of membranous tissue that contains fluid, air, substances, or other materials. While many people colloquially refer to any abdominal lump as a "cyst in stomach," medically speaking, these formations can originate from the stomach wall itself, the liver, the pancreas, or even the lining of the abdominal cavity. Understanding the nature, symptoms, and diagnostic pathways for these growths is the first step toward effective management and peace of mind.

What Exactly is a Cyst in the Stomach?

In clinical practice, a cyst in stomach usually refers to one of several types of benign lesions. It is rarely a standalone diagnosis but rather a finding that requires further investigation. These fluid-filled sacs are distinct from tumors, which are solid masses. Because the abdominal cavity is densely packed with vital organs, a cyst can develop in various locations, each with its own set of implications.

  • Gastric Cysts: These are rare and usually grow within the wall of the stomach. Most are benign and do not cause symptoms unless they grow large enough to obstruct food passage.
  • Pancreatic Cysts: Often discovered incidentally during imaging for other issues, these are fluid-filled pockets on or in the pancreas.
  • Hepatic Cysts: These occur in the liver and are generally congenital or related to underlying liver conditions.
  • Mesenteric Cysts: These rare cysts occur in the mesentery, the fold of tissue that attaches the intestines to the abdominal wall.

Common Symptoms and Warning Signs

Many individuals with a cyst in stomach are entirely asymptomatic. In many cases, these cysts are discovered accidentally during a routine ultrasound or CT scan for an unrelated health concern. However, if a cyst becomes large enough or becomes infected, it may begin to exert pressure on surrounding structures. Recognizing the symptoms is vital for timely medical intervention.

Commonly reported symptoms include:

  • Persistent abdominal pain or discomfort.
  • A noticeable sense of fullness or bloating, even after eating small amounts.
  • Unexplained nausea or vomiting, which might indicate a potential blockage.
  • A visible or palpable mass in the abdomen.
  • Unintended weight loss or a loss of appetite.

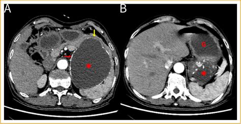
Diagnostic Procedures for Abdominal Cysts

Because the symptoms of a cyst in stomach are often non-specific and mimic other digestive disorders like gastritis or ulcers, doctors rely on imaging technology to pinpoint the location and nature of the growth. Diagnosis typically follows a structured approach to differentiate between benign cysts and more serious conditions.

Diagnostic Tool Purpose
Ultrasound Non-invasive imaging to see if the mass is fluid-filled or solid.
CT Scan Provides detailed cross-sectional images of the abdominal organs.
MRI Offers high-contrast images, excellent for identifying tissue composition.
Endoscopy Uses a camera to view the inside of the stomach directly.

⚠️ Note: If you experience sudden, sharp abdominal pain, high fever, or blood in your stool, seek emergency medical care immediately, as these may be signs of a cyst rupture or an acute infection.

Also read: Teyana Taylor Before And After Face Surgery

Understanding the Treatment Landscape

The treatment for a cyst in stomach is entirely dependent on the type of cyst, its size, and whether it is causing symptoms. Not every cyst requires surgical removal. In many instances, a “wait-and-see” approach—also known as active surveillance—is the gold standard.

If the cyst is symptomatic or carries a risk of becoming malignant, the following interventions might be recommended:

  • Aspiration: A needle is used to drain the fluid from the cyst under ultrasound guidance.
  • Surgical Excision: For larger or recurring cysts, a surgeon may remove the entire sac to prevent future complications.
  • Laparoscopic Surgery: A minimally invasive procedure involving small incisions, which allows for faster recovery times compared to traditional “open” surgery.

Lifestyle Adjustments and Management

While you cannot necessarily “shrink” a cyst in stomach through diet alone, maintaining a healthy lifestyle is crucial for overall digestive health and immune function. If you have been diagnosed with a cyst, your doctor may suggest dietary modifications to manage any associated digestive discomfort. This might include eating smaller, more frequent meals to reduce pressure on the abdomen and avoiding foods that trigger acid reflux or significant bloating.

Recommended lifestyle practices include:

  • Maintaining a food diary to track if certain foods worsen your symptoms.
  • Staying hydrated to ensure smooth digestive transit.
  • Engaging in gentle exercise to improve bowel regularity.
  • Managing stress, as the gut-brain axis can influence how we perceive abdominal pain.

💡 Note: Always consult with a gastroenterologist or a surgeon before starting any new dietary supplement or herbal remedy, as some substances may interact with underlying conditions or affect the stability of a cyst.

When to See a Specialist

It is easy to fall into the trap of self-diagnosing using online resources, but internal issues require professional expertise. You should prioritize seeing a specialist—typically a gastroenterologist or a general surgeon—if you notice your symptoms are getting worse or if you are experiencing “red flag” symptoms such as jaundice, significant fatigue, or unexplained weight loss. Early detection is a significant factor in successfully managing any growth within the abdominal cavity. Most cysts are benign and manageable, but having a professional monitor the situation ensures that you are protected against rare complications. By staying informed and proactive about your health, you can navigate the path of diagnosis and treatment with confidence and clarity.

In summary, while the discovery of a cyst in stomach can be daunting, it is a manageable condition that usually has a positive outlook. Understanding that many such growths are incidental findings allows you to approach your medical consultations with a calm perspective. By utilizing modern diagnostic tools like ultrasounds and CT scans, your healthcare team can effectively differentiate the type of cyst and determine whether treatment is necessary. Whether through active monitoring or surgical intervention, the focus remains on ensuring your long-term comfort and health. Remember that consistent communication with your doctor and adhering to their personalized care plan are the most effective ways to manage any abdominal concern and maintain your overall well-being.

Related Terms:

  • cyst in stomach male
  • cyst in stomach symptoms
  • are abdominal cysts dangerous
  • cyst in stomach female
  • cyst in stomach women
  • cyst in stomach means