Rp

Combined Subacute Degeneration

Combined Subacute Degeneration

Subacute combined degeneration of the spinal cord (SCD) is a profound neurological complication typically arising from a chronic deficiency in vitamin B12 (cobalamin). This condition is characterized by the progressive degeneration of the myelin sheaths in the dorsal and lateral columns of the spinal cord, which are essential for transmitting sensory and motor signals. When the body lacks sufficient vitamin B12, the synthesis of myelin—the protective coating around nerves—is disrupted, leading to the clinical manifestations of Combined Subacute Degeneration. Because the nervous system relies heavily on consistent nutrient supply, recognizing the early signs of this metabolic disorder is critical for preventing irreversible neurological damage.

The Pathophysiology of Combined Subacute Degeneration

The biological mechanism behind Combined Subacute Degeneration is rooted in the complex role vitamin B12 plays in DNA synthesis and the maintenance of the myelin sheath. Cobalamin serves as an essential cofactor for two main enzymes: methionine synthase and L-methylmalonyl-CoA mutase. A deficiency in B12 leads to an accumulation of methylmalonic acid and a decrease in methionine production, both of which are toxic to the nervous system.

Specifically, the Combined Subacute Degeneration process involves:

  • Demyelination: The fatty insulating layer of the nerves begins to strip away, primarily affecting the dorsal columns (responsible for vibration and position sense) and the lateral corticospinal tracts (responsible for voluntary muscle movement).
  • Axonal Loss: Once the myelin is compromised, the underlying axons may sustain permanent damage, leading to the "combined" nature of the sensory and motor deficits.
  • Metabolic Disruption: The failure to metabolize methylmalonic acid effectively creates a toxic environment that further hinders nerve regeneration.

Recognizing the Clinical Symptoms

The progression of Combined Subacute Degeneration is often insidious, meaning symptoms develop gradually over weeks or months. Patients frequently report sensory changes before motor weakness becomes apparent. The hallmark of the condition is the involvement of both sensory and motor pathways, distinguishing it from other peripheral neuropathies.

Key clinical features include:

  • Sensory Impairment: Initial sensations of "pins and needles" (paresthesia) in the hands and feet, which eventually progress to a loss of proprioception—the body's ability to sense its position in space.
  • Motor Weakness: Patients often report difficulty walking, feeling unsteady, or experiencing "heavy legs."
  • Ataxia: A lack of muscle coordination that leads to a clumsy gait, often exacerbated by a lack of visual cues.
  • Reflex Changes: While early stages might show decreased reflexes, advanced Combined Subacute Degeneration often presents with spasticity and increased deep tendon reflexes due to upper motor neuron involvement.

⚠️ Note: If you experience persistent tingling in the extremities combined with unexplained weakness or balance issues, seek immediate medical evaluation as early intervention can stop or even reverse the damage.

Diagnostic Approach and Evaluation

Diagnosing Combined Subacute Degeneration requires a high index of suspicion, especially in patients with dietary restrictions (such as strict veganism) or malabsorption issues. Physicians typically utilize a combination of clinical exams and laboratory tests to confirm the diagnosis.

Common diagnostic methods include:

  • Serum B12 Levels: Measuring the concentration of cobalamin in the blood, although these levels can occasionally be normal despite tissue-level deficiency.
  • Methylmalonic Acid (MMA) and Homocysteine Tests: These are often elevated in Combined Subacute Degeneration and provide a more sensitive indicator of functional B12 deficiency.
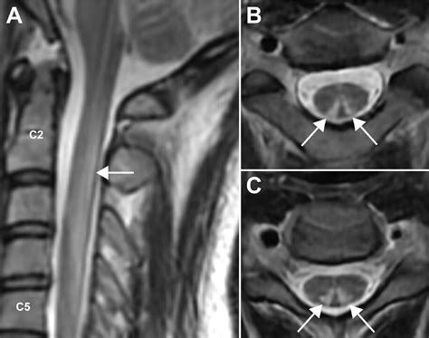
  • MRI of the Spine: An MRI can reveal the classic "inverted V" sign in the posterior columns of the cervical spinal cord, which is highly indicative of SCD.
  • Neurological Examination: Assessment of vibration sense, joint position sense, and motor strength.
Stage Primary Symptoms Neurological Impact
Early Paresthesia, sensory loss Peripheral nerve and mild dorsal column involvement
Intermediate Ataxia, muscle weakness Degeneration of corticospinal tracts
Advanced Spasticity, paralysis Significant demyelination and axonal loss

Management and Recovery Strategies

The treatment for Combined Subacute Degeneration is centered on aggressive vitamin B12 supplementation. Once the root cause of the deficiency is identified—whether it is pernicious anemia, dietary intake, or malabsorption (like Crohn’s disease or post-gastric surgery)—corrective measures are implemented.

Standard recovery protocols involve:

  • Intramuscular Injections: Because absorption is often the problem, high-dose B12 injections are the gold standard for rapid replenishment of tissue stores.
  • Maintenance Therapy: Once levels are restored, patients may transition to oral supplements or scheduled injections to prevent relapse.
  • Physical Therapy: Rehabilitative exercises are essential for retraining motor pathways and improving gait stability once the underlying metabolic deficit is corrected.
  • Dietary Adjustments: Incorporating animal products or fortified foods if the cause is nutritional, or managing underlying GI conditions that prevent proper nutrient uptake.

💡 Note: Do not attempt to treat Combined Subacute Degeneration with over-the-counter supplements alone without professional medical supervision, as the dosage required to penetrate the blood-brain barrier is often significantly higher than what is found in general multivitamins.

Long-term Prognosis and Prevention

The prognosis for Combined Subacute Degeneration is highly dependent on how quickly the condition is diagnosed and treated. In the early stages, the damage to the myelin sheaths is often reversible through B12 replenishment. However, once axonal loss reaches a certain threshold, the neurological deficits may become permanent. Regular monitoring of B12 levels is essential for those at risk, particularly the elderly, individuals with autoimmune conditions, and those on long-term acid-suppressing medication, which can interfere with B12 absorption.

Maintaining a proactive approach to nutritional health is the most effective way to prevent Combined Subacute Degeneration. Ensuring a balanced diet and working with a healthcare provider to screen for absorption issues can safeguard the integrity of the spinal cord. By understanding the link between B12 and the nervous system, individuals can take the necessary steps to maintain their neurological well-being and prevent the debilitating progression of this entirely treatable metabolic condition.

Related Terms:

  • treatment of subacute combined degeneration
  • symptoms of subacute combined degeneration
  • subacute combined degeneration on mri
  • causes of subacute combined degeneration
  • subacute combined degeneration physical exam
  • subacute combined degeneration workup