Cleve

Cerebellum And Stroke

Cerebellum And Stroke

When we think of a stroke, the most common images that come to mind are speech slurring, facial drooping, or weakness in one side of the body. These symptoms are hallmarks of damage to the cerebral hemispheres. However, there is a specialized region at the back of the brain known as the cerebellum that plays an equally vital role in human function. A cerebellum and stroke event is often more difficult to diagnose because the symptoms are frequently subtle and can easily be mistaken for intoxication, vertigo, or fatigue. Understanding how this small, dense brain structure manages our physical coordination and why it is susceptible to vascular events is essential for early intervention and effective recovery.

The Critical Role of the Cerebellum

The cerebellum, Latin for "little brain," occupies the posterior cranial fossa. Despite its small size relative to the rest of the brain, it contains more neurons than the cerebrum combined. Its primary function is not to initiate movement, but to fine-tune it. It acts as a massive signal processor that compares the intention of a movement with the actual physical output, making real-time corrections to ensure fluidity, balance, and precision.

Key responsibilities of the cerebellum include:

  • Maintaining Balance: Processing vestibular input to keep the body upright.
  • Motor Coordination: Ensuring limbs move smoothly rather than in a jerky or fragmented fashion.
  • Postural Control: Adjusting muscle tone to maintain stability.
  • Motor Learning: The process of refining complex physical tasks, such as riding a bicycle or playing an instrument.

The Mechanics of a Cerebellar Stroke

A stroke occurs when blood flow to a part of the brain is restricted (ischemic) or when a blood vessel ruptures (hemorrhagic). When this happens in the posterior circulation—the system that supplies the back of the brain—we experience a cerebellum and stroke incident. The primary arteries responsible for supplying the cerebellum are the superior cerebellar artery (SCA), the anterior inferior cerebellar artery (AICA), and the posterior inferior cerebellar artery (PICA).

Because the cerebellum is packed tightly into the skull, even a minor bleed or swelling from an ischemic injury can lead to significant pressure on the brainstem. This proximity makes cerebellar strokes particularly dangerous, as the brainstem governs life-sustaining functions such as breathing and heart rate.

⚠️ Note: If you suspect someone is experiencing a cerebellar stroke, do not wait for symptoms to subside. The "B.E. F.A.S.T." mnemonic is helpful, but also look specifically for sudden, severe vertigo or an inability to stand without assistance.

Common Symptoms to Watch For

Because the cerebellum manages motor control and balance, the symptoms of an infarction in this area are distinct. Patients often exhibit a condition called ataxia, which is characterized by uncoordinated movements. The following table highlights common clinical manifestations associated with a cerebellum and stroke diagnosis:

Symptom Description
Ataxia Difficulty with gait, balance, and fine motor coordination (e.g., buttoning a shirt).
Vertigo A severe spinning sensation, often misdiagnosed as an inner ear infection or BPPV.
Dysarthria Slurred or slow, scanning speech that sounds rhythmic or robotic.
Nystagmus Involuntary, rapid, and repetitive eye movements.
Nausea/Vomiting Commonly associated with the severe vertigo caused by posterior circulation involvement.

Diagnostic Challenges

The cerebellum and stroke correlation is frequently overlooked in emergency settings. This is largely because the most dramatic physical deficits—such as hemiplegia—are absent. A patient might remain fully conscious and have clear speech, yet be unable to stand or walk in a straight line. Physicians must perform specific neurological assessments, such as the Finger-to-Nose test or the Heel-to-Shin test, to uncover the subtle motor deficits inherent in cerebellar dysfunction.

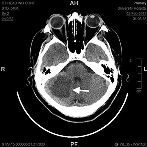
Advanced imaging is non-negotiable in these scenarios. While a CT scan is often the first line of defense, it can sometimes miss small cerebellar strokes. An MRI with Diffusion-Weighted Imaging (DWI) is the gold standard for detecting an ischemic stroke in the posterior fossa, as it can clearly distinguish between healthy and infarcted tissue even in the dense structures of the cerebellum.

The Rehabilitation Journey

Recovery following a cerebellar stroke is a marathon, not a sprint. The brain possesses a remarkable capacity for neuroplasticity—the ability to rewire itself. Because the cerebellum is heavily involved in motor learning, structured therapy is highly effective.

Rehabilitation focuses on:

  • Physical Therapy (PT): Aimed at retraining balance, core stability, and gait. Exercises often involve repetitive, controlled movements to help the brain relearn how to coordinate the limbs.
  • Occupational Therapy (OT): Targeting fine motor skills. This includes tasks like gripping utensils, typing, or writing to improve hand-eye coordination.
  • Speech Therapy: If dysarthria is present, therapists work on breath control and muscle precision to help improve speech clarity.
  • Vestibular Therapy: Specific exercises to help the brain compensate for the "spinning" sensation caused by vestibular system damage.

💡 Note: Early mobilization is generally encouraged by medical professionals to stimulate neuroplasticity, provided the patient is hemodynamically stable and cleared by a neurologist.

Living with the Aftermath

Long-term outcomes for survivors of a cerebellar stroke are generally favorable, provided rehabilitation is consistent. Many individuals regain a significant portion of their motor function over months or even years. However, some patients may experience persistent issues with balance or "intention tremor," where the hand shakes during a directed movement. Adaptive equipment, such as canes or weighted utensils, can greatly enhance the quality of life for those living with these lingering deficits.

Furthermore, psychological support is vital. The frustration associated with losing one’s physical grace can lead to anxiety or depression. Connecting with support groups, where other survivors share their experiences with cerebellum and stroke recovery, can provide emotional resilience that is just as important as physical therapy.

Ultimately, a stroke affecting the cerebellum reminds us that our physical autonomy is a complex orchestration of neurological signals. While the event itself is frightening and disruptive, the brain’s innate ability to adapt through consistent therapy offers a path toward restoration. By recognizing the subtle warning signs—the unexpected vertigo, the sudden loss of balance, and the uncharacteristic clumsiness—we empower ourselves to seek the rapid medical attention necessary to protect the “little brain” that keeps us moving, standing, and interacting with the world. Through vigilant monitoring, quick diagnosis, and a committed approach to long-term rehabilitation, patients can navigate the challenges of recovery and reclaim their independence.

Related Terms:

  • cerebellum stroke after one year
  • cerebellum stroke icd 10
  • cerebellum stroke recovery time
  • cerebellar stroke life expectancy
  • left cerebellar stroke
  • cerebellum stroke treatment