Cleve

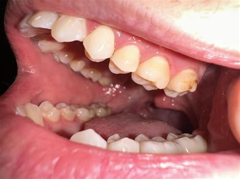
Cavity On Side Of Molar

Cavity On Side Of Molar

Find a caries on side of molar can be dismay, but realize what it is and how to speech it is the first step toward reclaiming your oral health. Unlike cavities that seem on the bite surface of your teeth, decay located on the side - often between tooth or near the gumline - presents unique challenges for both cleanup and treatment. These areas are prone to plaque buildup because they are oft harder to make with a standard toothbrush, making them a common hotspot for dental cavity.

Understanding Why Cavities Form on the Side of Molars

Dental checkup showing a cavity on side of molar

A cavity on side of molar generally occurs due to the accumulation of bacterium and leftover food particles that have not been adequately removed. Because the side of your molars are contiguous to other teeth, they make taut spaces that are difficult for bristle to penetrate. When plaque remains in these fissure, it produces dose that gradually resolve the tooth enamel, leading to a pit.

There are two chief locations where this type of decline occurs:

  • Interproximal Areas: This refers to the infinite between two tooth. Decay here is notoriously hard to detect without dental X-rays.
  • Cervical Areas: This is the area near the gumline. Decay here is oft cause by acidulent erosion, aggressive brushing, or recede gums that disclose the softer root surface to bacteria.

Recognizing the Symptoms of Side Molar Decay

Because these cavities are shroud between teeth or near the gum, you might not see them in the mirror until they get quite advanced. Nevertheless, your body frequently furnish early warning signs that something is improper. Being heedful to your unwritten health can facilitate you get a cavity on side of molar before it lead to a painful infection.

Common indicators include:

  • Sensibility: Feeling sharp pain when have hot, cold, or sugary nutrient.
  • Visible Discoloration: You might notice a white, browned, or black point near the gumline.
  • Discomfort when Flossing: If your floss shreds or catches in a specific place, it could indicate a jagged edge stimulate by a cavity.
  • Tarry Bad Breath: Disintegrate food and bacterium trapped in the side of a molar can induce persistent halitosis.

Comparing Treatment Options

The method your dentist opt to fix the pit look altogether on the size of the decay and how deep it has click into the tooth construction. A professional assessment is vital to find the better line of activity.

Intervention Method Good Expend For Primary Welfare
Dental Occupy Small to lead cavities Restores the tooth's anatomy and integrity
Dental Inlay/Onlay Larger caries that sabotage the leaflet Provides more durability than a standard filling
Dental Crown Panoptic decomposition Protects the remaining tooth construction
Fluoride Treatment Very early-stage decalcification Remineralizes the enamel to cease decay

⚠️ Note: If you suspect a caries, do not assay to process it with DIY outfit or place cure. These can do further damage to the tooth or surrounding gum tissue, potentially direct to an abscess.

Preventive Strategies to Protect Your Molars

The better way to plow with a caries on side of grinder is to prevent it from hap in the first property. Because the side surfaces are high-risk region, you must adjust your unwritten hygiene number to secure you are soundly pick these space every individual day.

Implement these habits into your day-by-day agenda:

  • Master Flossing: Many people floss too quickly. Ensure you are softly sliding the floss beneath the gumline and twist it against the side of each tooth in a "C" contour.
  • Use Interdental Thicket: If there is redundant infinite between your molars, narrow interdental coppice are far more effectual than draw floss at removing plaque from the side surface.
  • Fluoride Toothpaste: Fluoride is all-important for fortify enamel. After brushing, avoid wash straightaway with h2o to countenance the fluoride to stay on your tooth longer.
  • Limit Sugary Snacks: Sugary and acid nutrient fire the bacteria that campaign decomposition. If you do consume them, gargle your mouth with water immediately after.

The Importance of Early Dental Intervention

Delaying a visit to the dentist is a mutual misapprehension when dealing with tooth pain, but this can significantly elaborate your intervention program. A cavity on side of grinder will never cure on its own; rather, it will continue to expand. If the decomposition reaches the pulp - the soft interior part of the tooth moderate nerves and blood vessels - you will probably expect a root duct rather than a elementary fill.

Regular medical and professional cleanings are non-negotiable. During these assignment, your dentist uses specialized cat's-paw to probe the surfaces of your tooth and conduct X-rays to image decay that is hidden from the naked eye. Other espial imply less time in the dentist's chairwoman, less discomfort, and a much low financial cost compared to pinch or recuperative procedures.

Conduct control of your dental health starts with know that even a small, apparently obscure issue requires professional attention. By prioritise proper flossing techniques, maintaining a balanced diet, and keeping up with unremarkable alveolar appointments, you can protect the structural unity of your grinder. Should you discover any sensitivity or discomfort on the side of your dentition, agenda an examination as soon as possible. Direct a pit on side of grinder while it is modest will insure that your smile remains salubrious, functional, and pain-free for years to arrive.

Related Terms:

  • deep cavity in grinder
  • interproximal cavity
  • painting of caries in molar
  • caries on bottom tooth
  • smooth surface caries on grinder
  • deep vallecula in grinder