Cleve

Cavernous Sinus Syndrome

Cavernous Sinus Syndrome

The human skull is a marvel of biological engineering, housing complex networks of nerves and blood vessels within tight, protected spaces. Among these intricate regions, the cavernous sinus—a paired, venous structure located at the base of the brain—serves as a critical crossroads for vital neurological pathways. When this area becomes compromised by infection, inflammation, trauma, or tumors, it can result in a rare but clinically significant condition known as Cavernous Sinus Syndrome. Recognizing the signs of this syndrome early is essential, as the structures passing through this sinus are responsible for eye movement, facial sensation, and autonomic control. Delayed intervention in these cases can lead to irreversible neurological damage, making it a medical emergency that demands prompt diagnostic attention and specialized care.

Anatomy of the Cavernous Sinus

Medical illustration of brain anatomy

To understand why Cavernous Sinus Syndrome is so debilitating, one must first appreciate the density of the anatomy involved. The cavernous sinus is a dural venous sinus situated on either side of the sella turcica. Within this space travel several critical cranial nerves and the internal carotid artery. The following structures are most frequently involved in cases of syndrome manifestation:

  • Oculomotor nerve (CN III): Responsible for most eye movements and eyelid elevation.
  • Trochlear nerve (CN IV): Controls the superior oblique muscle, aiding in downward and inward eye rotation.
  • Abducens nerve (CN VI): Primarily responsible for lateral eye movement.
  • Ophthalmic branch of the Trigeminal nerve (CN V1): Provides sensory input from the forehead and eye area.
  • Maxillary branch of the Trigeminal nerve (CN V2): Provides sensory input from the mid-face region.
  • Internal Carotid Artery (ICA): The main blood supply to the brain.

Clinical Manifestations and Symptoms

Because the cavernous sinus is a confined space, even minor swelling or a small mass can cause significant compression of the nerves mentioned above. Patients presenting with Cavernous Sinus Syndrome often describe a sudden onset of symptoms that can rapidly escalate. Clinical presentation typically includes:

  • Ophthalmoplegia: Paralysis or weakness of the eye muscles, leading to double vision (diplopia).
  • Ptosis: Drooping of the eyelid, commonly associated with Oculomotor nerve involvement.
  • Sensory Deficits: Numbness or tingling in the forehead, eyes, or upper cheek area, indicating involvement of the trigeminal nerves.
  • Chemosis and Proptosis: Swelling of the conjunctiva and a bulging appearance of the eye, often resulting from venous congestion.
  • Pupillary Changes: Dilation or constriction issues if the autonomic fibers traveling with the nerves are affected.

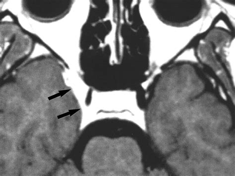
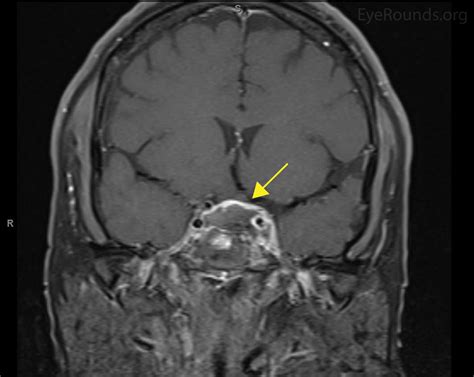
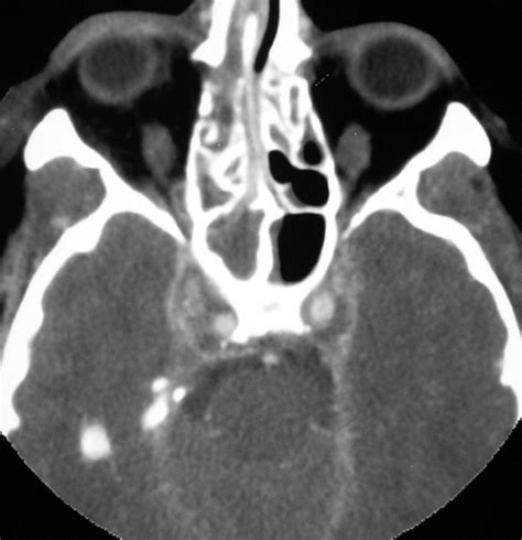
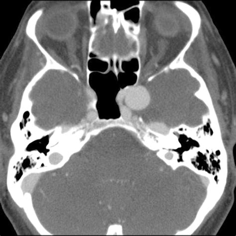
Diagnostic Considerations

Diagnosing Cavernous Sinus Syndrome requires a high index of clinical suspicion and advanced imaging techniques. Physicians often utilize a combination of clinical evaluation and diagnostic testing to pinpoint the underlying etiology. Because the syndrome can be caused by various factors—from infections like sinusitis to malignant tumors or cavernous sinus thrombosis—the approach must be comprehensive.

Diagnostic Tool Purpose
MRI (Magnetic Resonance Imaging) Provides detailed views of soft tissues, identifying tumors, aneurysms, or inflammation.
CT Scan (Computed Tomography) Excellent for viewing bone involvement, particularly if the cause is related to paranasal sinus infection.
Angiography Used to visualize blood flow within the internal carotid artery to rule out aneurysms or thrombosis.
Blood Cultures/Lumbar Puncture Essential if an infectious etiology is suspected to identify specific pathogens.

⚠️ Note: Always prioritize urgent radiological imaging if a patient presents with rapidly progressing ophthalmoplegia or vision loss, as these are markers for high-risk pathology.

Etiology and Common Causes

The triggers for Cavernous Sinus Syndrome are diverse, reflecting the susceptibility of the sinus to various systemic and local pathologies. Understanding these triggers is vital for planning treatment:

  • Infections: Sinusitis, orbital cellulitis, or infections of the central face can spread through venous pathways into the sinus.
  • Neoplasms: Pituitary adenomas, meningiomas, or metastatic tumors can exert pressure on the sinus walls.
  • Vascular Issues: Carotid-cavernous fistulas or internal carotid artery aneurysms.
  • Inflammatory/Autoimmune: Tolosa-Hunt syndrome, a rare granulomatous inflammation, is a classic cause of painful ophthalmoplegia originating in the cavernous sinus.

Management and Therapeutic Strategies

Treatment is strictly dependent on the underlying cause. If the syndrome is caused by an infection, high-dose intravenous antibiotics are the primary course of action. If the culprit is a tumor, treatment may involve surgical decompression, radiation therapy, or chemotherapy depending on the histological nature of the mass. In cases of vascular issues, such as a fistula, endovascular interventions like coil embolization are frequently used to restore normal blood flow dynamics and reduce pressure.

💡 Note: Early identification of the causative agent, particularly in infectious cases, significantly improves prognosis and reduces the likelihood of permanent cranial nerve deficits.

Long-Term Prognosis and Recovery

The long-term outlook for someone diagnosed with Cavernous Sinus Syndrome hinges on the duration of symptoms before treatment begins. Nerves are notoriously slow to heal, and while many patients experience significant recovery after successful intervention, some may have lingering double vision or sensory loss. Consistent follow-ups with neurologists and ophthalmologists are standard protocols to monitor nerve regeneration and ensure the underlying pathology does not recur. Patients are often encouraged to engage in physical therapy for eye muscles if diplopia persists, helping the brain adapt to the sensory changes caused by the earlier compression.

Given the complexity of the cavernous sinus, this condition underscores the importance of a multidisciplinary approach involving neurologists, neurosurgeons, radiologists, and infectious disease specialists. By recognizing the hallmark symptoms early, such as sudden-onset eye paralysis or focal facial pain, clinicians can intervene rapidly. Whether the underlying cause is inflammatory, infectious, or neoplastic, modern diagnostic and surgical techniques provide a robust framework for managing this syndrome. Through timely and precise medical intervention, the long-term impact on patient quality of life can be significantly mitigated, allowing for better recovery and sustained neurological health.

Related Terms:

  • cavernous sinus syndrome in dogs
  • cavernous venous sinus thrombosis
  • cavernous sinus syndrome ncbi
  • cavernous sinus thrombosis
  • cavernous sinus syndrome eyewiki
  • cavernous sinus syndrome radiopaedia