Cleve

Cam Impingement Hip

Cam Impingement Hip

Experiencing sharp, stabbing pain in your groin area during physical activity is a common concern among active individuals, and one of the most frequent culprits is Cam Impingement Hip. This condition, a subset of Femoroacetabular Impingement (FAI), occurs when the anatomy of your hip joint is slightly abnormal, causing friction and damage during movement. Understanding how this condition develops, the symptoms to look for, and the management strategies available is essential for anyone looking to regain their mobility and return to their favorite sports or daily routines without pain.

What is Cam Impingement Hip?

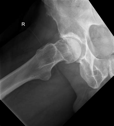
At its core, Cam Impingement Hip is a mechanical problem. A healthy hip is a "ball-and-socket" joint. The "ball" is the head of the femur (thigh bone), and the "socket" is the acetabulum (part of the pelvis). In a healthy hip, these two parts move smoothly against each other, cushioned by cartilage and the labrum—a ring of soft tissue that seals the joint.

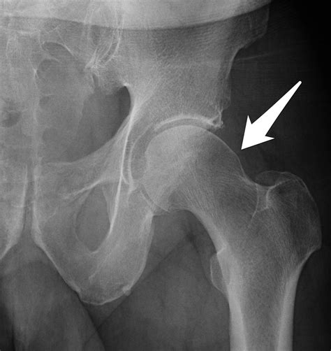
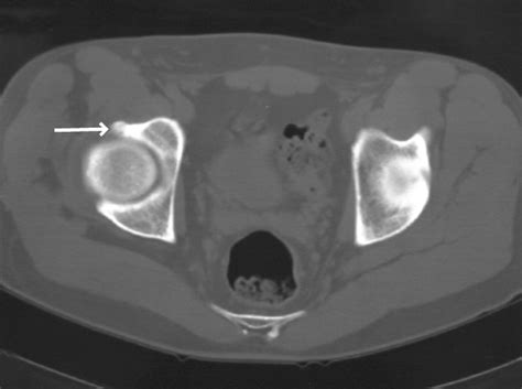
In patients with Cam Impingement, the shape of the femoral head is not perfectly round. Instead, it has an abnormal bony growth, often referred to as a "cam" lesion. Because this bone is irregular, it cannot rotate smoothly within the socket. As you move, especially during hip flexion or internal rotation, this extra bone bumps into the rim of the socket, pinching the labrum and causing damage to the articular cartilage.

Common Symptoms to Monitor

Recognizing the signs early can prevent long-term damage. Symptoms often develop gradually, but they may worsen during high-impact sports or prolonged sitting.

  • Groin pain: This is the hallmark symptom, typically felt deep in the front of the hip.
  • Stiffness: Difficulty putting on socks or shoes due to limited range of motion.
  • Clicking or locking: A sensation of the joint catching during movement.
  • Pain with prolonged sitting: Feeling an ache in the hip after sitting in a car or at a desk for long periods.
  • Reduced athletic performance: A noticeable decrease in speed, agility, or comfort during lateral movements.

The Anatomy of FAI: A Quick Comparison

It is important to distinguish between the types of hip impingement. While Cam Impingement specifically relates to the femoral head, other types can occur either alone or in combination. The following table provides a breakdown of the differences:

Type Anatomical Issue Impact
Cam Impingement Bony bump on the femur head Causes friction against the socket rim
Pincer Impingement Excessive coverage by the socket Pinches the labrum between bone edges
Combined Impingement Mix of both Cam and Pincer Most common clinical presentation

⚠️ Note: If you experience sharp, sudden pain that prevents you from putting weight on your leg, seek professional orthopedic evaluation immediately to rule out fractures or severe labral tears.

Diagnostic Procedures

If you suspect you have Cam Impingement Hip, a physical examination is the first step. An orthopedic specialist will perform specific tests, such as the FADIR test (Flexion, Adduction, Internal Rotation), which is designed to reproduce the impingement and pain. Following this, imaging is usually required to confirm the diagnosis.

  • X-rays: Standard views help the doctor visualize the shape of the femur and the degree of the bony prominence.
  • MRI or MRA: These scans are critical for evaluating the soft tissues, specifically looking for labral tears or cartilage thinning that might have resulted from the impingement.

Management and Treatment Options

Treatment for Cam Impingement Hip is typically conservative at the outset. Many patients successfully manage their symptoms without ever requiring surgery.

Conservative Physical Therapy

Physical therapy focuses on optimizing the biomechanics of the hip joint. By strengthening the glutes, core, and hip stabilizers, you can reduce the amount of stress placed on the anterior hip. Exercises should prioritize postural corrections and avoiding positions that trigger the “impingement” sensation.

Lifestyle Modifications

Adjusting your daily activities can provide significant relief. This might include using a standing desk, avoiding deep squats, or switching to lower-impact activities like swimming or cycling until the inflammation subsides.

Surgical Intervention

If physical therapy and activity modification fail to provide relief after several months, surgical options may be discussed. Hip arthroscopy is a minimally invasive procedure where the surgeon uses small incisions to remove the excess bone (the “cam” lesion) and repair any torn labral tissue. This “reshaping” of the hip anatomy aims to restore normal movement patterns.

💡 Note: Success rates for hip arthroscopy are generally high in active patients, but recovery requires a dedicated, multi-month rehabilitation program to ensure the soft tissues heal properly.

Long-term Outlook and Prevention

The journey toward managing Cam Impingement Hip is unique for every individual. While you cannot "fix" the shape of your bone without surgery, you can often "fix" how your body handles the anatomy you were born with. Many people live active, fulfilling lives by maintaining strong hip musculature and being mindful of their physical limits. Consistency with hip-opening stretches (as tolerated) and strengthening programs is the best defense against worsening pain. Always listen to your body; if a movement causes that familiar, deep, pinching sensation, it is time to adjust your approach or consult with a physical therapist to refine your technique.

Taking a proactive approach to your joint health is the most effective way to address the challenges posed by this condition. Whether through targeted physical therapy, strategic lifestyle changes, or exploring medical interventions, the goal remains the same: reducing pain, restoring your natural range of motion, and ensuring you can stay active for years to come. By staying informed about the nature of your hip mechanics, you empower yourself to make better decisions regarding your health and activity levels, effectively turning a diagnosis of a bony abnormality into a manageable facet of your athletic journey.

Related Terms:

  • cam impingement hip surgery
  • cam impingement hip icd 10
  • cam versus pincer impingement
  • cam impingement symptoms
  • cam vs pincer impingement
  • cam impingement hip symptoms