Cleve

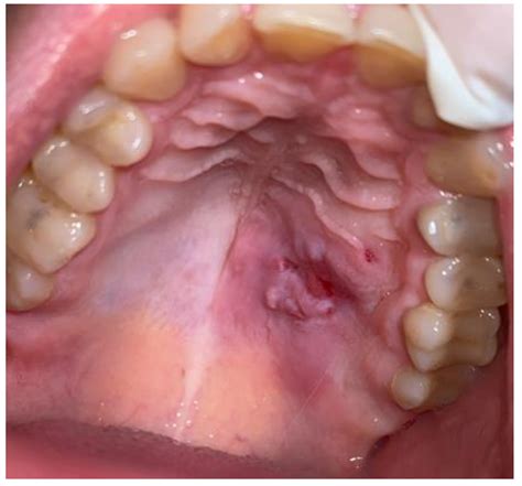
Burn On Palate Of Mouth

Burn On Palate Of Mouth

Get a sunburn on palate of mouth can be unbelievably thwarting and sore, turning simple daily activities like feeding, imbibing, or still verbalise into a rootage of discomfort. The roof of the mouth, known medically as the palate, is a sensible area lined with delicate mucosal tissue. Because it is invariably in contact with everything we ingest, it is highly susceptible to thermal wound, chemical irritation, and various medical conditions. Whether you have accidentally scorched your mouth with a piping hot slice of pizza or are dealing with a mysterious burning superstar that won't go away, read the root drive is the maiden step toward finding relief.

Common Causes of a Burn on Palate of Mouth

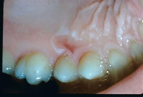
Person experiencing mouth discomfort

The palate is vulnerable to a variety of internal and external ingredient. Identifying the perpetrator is essential, as the intervention for a thermal burn will differ importantly from handling for an allergic reaction or an fundamental infection.

  • Thermic Burns: This is the most frequent drive, typically resulting from consuming hot nutrient or potable that outgo the temperature threshold for oral tissue.
  • Chemical Irritants: Exposure to acidic foods, excessively spicy dishes, or strong mouthwashes can cause a sting, burning aesthesis.
  • Oral Thrush (Candidiasis): A fungal infection that can cause redness, discomfort, and a white finish on the palate, often sense like a haunting burn.
  • Burn Mouth Syndrome (BMS): A complex condition characterized by a chronic, unexplained burn sensation in the mouth without an obvious physical wound.
  • Nutritionary Insufficiency: Lack of fe, zn, or B vitamin (especially B12) can cause inflammation and a sensation of heat on the roof of the mouth.
  • Allergic Reactions: Reactions to toothpaste, dental ware, or specific food allergens can manifest as inflammation and combustion.

Distinguishing Between Types of Palate Irritation

Understanding the rigour and nature of your discomfort helps in choosing the right path to recovery. Below is a comparative overview of mutual topic regard the palate:

Condition Primary Symptoms Typical Duration
Thermal Burn Sharp pain, redness, peeling tegument 3 to 7 days
Unwritten Thrush White patch, raw/burning feeling Weeks (command treatment)
Burning Mouth Syndrome Chronic burning, no visible injury Long-term/Chronic
Acid Irritation Burn, sensibility to hot/cold Hour to day

⚠️ Line: If you find strange white maculation that do not scratch off or open sore that last long than two weeks, confer a dentist or doc to reign out unwritten health concern like leukoplakia or infection.

Immediate Relief Strategies for a Burn on Palate of Mouth

If you have recently suffer a thermic burn from food or drinkable, the primary goal is to comfort the inflamed tissue and prevent further botheration. The mouth has an incredible capacity for healing, provided it is afford the correct surround.

  • Nerveless Water Rinse: Directly rinse with cool h2o to attract warmth out of the tissue. Avoid use ice straight on the roof of the mouth, as it can cause "ice burn."
  • Avoid Further Heat: Stick to lukewarm or cold food for the following 24 to 48 hour. Hot java, soup, and tea will only worsen the harm.
  • Choose Bland Food: Stay forth from acidic food (citrus, tomato) and spicy ingredients (chilies, hot sauce) that can burn the raw region.
  • Use Dear: A minor sum of raw dearest utilize to the country can render a protective finishing and has natural antibacterial belongings to aid healing.
  • Over-the-Counter Alleviation: Topical unwritten gel check benzocaine or protective pastes can make a roadblock over the burn, reducing hurting during meal.

💡 Note: Always read the label of any over-the-counter topical medication. Do not use benzocaine products for immature children unless explicitly recommended by a pediatrician.

When to Seek Professional Medical Advice

While most cases of a sunburn on palate of mouth heal on their own within a few day, some symptoms guarantee a visit to a healthcare professional. You should not ignore the follow monition signs:

  • Haunting Pain: If the hurting does not subside or have significantly worsened after three days.
  • Visible Infection: Aspect for pus, febrility, or tumesce that seems to be spreading toward the pharynx.
  • Difficulty Swallowing: If the prominence or pain inhibits your power to eat or drink usually.
  • Recurrent Symptom: If you frequently know a burning sensation without an obvious external cause, it may signal a systemic issue like diabetes, thyroidal disfunction, or hormonal alteration.
  • Unexplained Maculation: Any persistent discolouration, lump, or firm patches on the palate that do not disappear require a biopsy or professional evaluation.

Preventing Future Mouth Burns

Bar is mostly about mindfulness. Many palate burns are evitable with a few uncomplicated habit that protect your oral mucosa:

  1. Temperature Check: Always test the temperature of hot liquids or nutrient on the back of your paw or a small-scale sip before amply devour.
  2. Sip, Don't Gulp: Specially with hot beverages, sip allows the liquid to chill slimly before reaching the sensitive roof of your mouth.
  3. Assay Ingredients: Be wary of "hidden heat" in foods, such as liquid cheese or sugary fillings, which retain warmth much longer than the rest of the repast.
  4. Dental Hygiene: Use non-abrasive, non-whitening toothpaste if you find your mouth is often sensible or prone to irritation.

Taking care of a burn on palate of mouth mainly requires forbearance and the dodging of thorn. By maintain the area clean, debar hot or spicy foods, and apply elementary domicile remedies like cool rinses, you can commonly speed up the healing process significantly. Notwithstanding, because the palate is a vital constituent of your digestive and sensorial scheme, it is significant to distinguish between a simple accidental burning and symptoms that suggest an underlying health condition. By remaining cognizant of your oral health and listening to the signals your body provides, you can efficaciously cope minor injuries and cognize precisely when it is time to essay professional attention to secure long-term comfort and well-being.

Related Price:

  • healing burned roof of mouth
  • roof burn mouthwash handling
  • burned top of mouth cure
  • treat burnt roof of mouth
  • burned roof of mouth blister
  • burned roof of mouth relief