Cleve

Bullous Lung Disease

Bullous Lung Disease

Breathing is an automatic process that most of us take for granted, but for individuals diagnosed with Bullous Lung Disease, each breath can become a significant challenge. This condition, characterized by the formation of large air-filled spaces within the lung tissue, can drastically impact quality of life and respiratory efficiency. Understanding the nature of these bullae—and how they develop—is the first step toward effective management and better health outcomes for patients dealing with chronic lung complications.

What is Bullous Lung Disease?

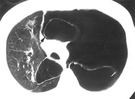
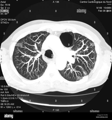
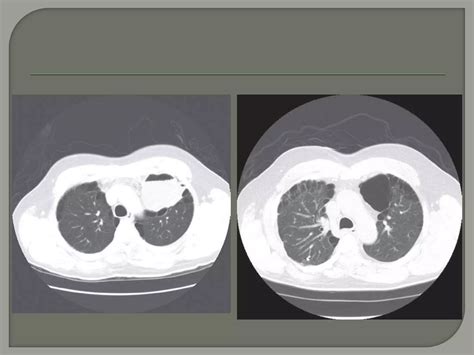
At its core, Bullous Lung Disease is a pulmonary disorder defined by the presence of at least one large air-filled space (a bulla) within the lung, which has a diameter of more than one centimeter. These bullae are essentially damaged air sacs (alveoli) that have merged and lost their elastic properties. Over time, these pockets trap stale air, preventing the lungs from effectively exchanging oxygen and carbon dioxide, which leads to feelings of shortness of breath and chronic fatigue.

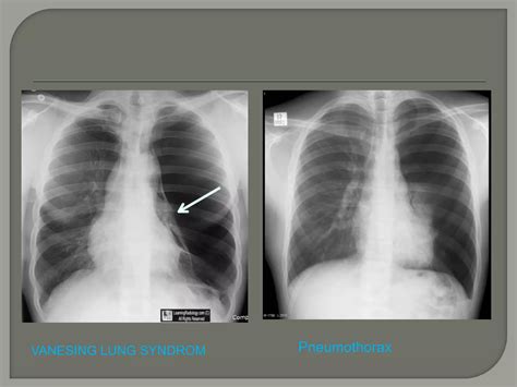
While often associated with emphysema, bullae can develop through various mechanisms. The lung tissue essentially loses its internal architecture, leading to areas of over-inflation. When these areas become large enough to compress healthy surrounding tissue, the condition is referred to as giant bullous emphysema, or Vanishing Lung Syndrome, in extreme cases.

Key Causes and Risk Factors

The development of Bullous Lung Disease is rarely spontaneous; it usually stems from underlying structural damage to the pulmonary tissues. Several factors contribute to the progression of this condition:

  • Smoking: The most significant risk factor, as tobacco smoke directly destroys the walls of the alveoli.
  • Chronic Obstructive Pulmonary Disease (COPD): A primary driver that creates the environment for air trapping.
  • Alpha-1 Antitrypsin Deficiency: A genetic condition that predisposes individuals to lung damage.
  • Infection and Inflammation: Recurring pulmonary infections can weaken lung elasticity.
  • Environmental Factors: Long-term exposure to airborne pollutants or industrial irritants.

Common Symptoms to Monitor

Symptoms often appear insidiously, progressing from mild exertional breathlessness to significant respiratory distress. It is vital to recognize the early warning signs of Bullous Lung Disease to prevent further complications:

  • Progressive dyspnea (shortness of breath) during physical activity.
  • Persistent, non-productive cough.
  • Chest pain, which may indicate a pneumothorax (collapsed lung) if a bulla ruptures.
  • Reduced exercise tolerance and fatigue.
  • Cyanosis (a bluish tint to the lips or fingertips) in advanced stages.

Clinical Classification and Severity

Medical professionals categorize the severity of the disease based on the size of the bullae and the impact they have on the patient’s respiratory function. The table below outlines how these bullae are typically classified in clinical practice.

Classification Bulla Size Clinical Impact
Small Bullae 1–5 cm Minimal symptoms; usually stable.
Large Bullae 5–10 cm Noticeable breathlessness; potential compression.
Giant Bullae > 10 cm Severe, requiring urgent evaluation and potential surgery.

⚠️ Note: Always consult with a pulmonologist to undergo diagnostic imaging, such as a CT scan, as chest X-rays may not always reveal the full extent of the bullae.

Diagnostic Procedures

Diagnosis begins with a thorough medical history and physical examination. However, imaging is essential to confirm Bullous Lung Disease. High-resolution Computed Tomography (HRCT) is considered the gold standard for visualizing bullae. It allows physicians to determine if the bullae are localized or widespread and whether they are compressing functional lung tissue. Pulmonary function tests (PFTs) are also conducted to measure lung capacity and identify the degree of airflow obstruction.

Treatment Approaches and Management

Treatment is tailored to the individual, focusing on relieving symptoms and preventing complications. While there is no “cure” that reverses emphysematous damage, management strategies are highly effective:

  • Smoking Cessation: The absolute first step in halting further tissue degradation.
  • Inhalers and Medications: Bronchodilators and corticosteroids help keep airways open and reduce inflammation.
  • Pulmonary Rehabilitation: Exercise programs designed to improve muscle efficiency and breathing techniques.
  • Oxygen Therapy: Supplemental oxygen for those with chronically low blood oxygen levels.
  • Bullectomy: A surgical procedure to remove large, non-functional bullae that are compressing healthy lung tissue.

💡 Note: Surgical interventions are generally reserved for patients where the bullae occupy more than one-third of the hemithorax and are causing significant, symptomatic compression of healthy lobes.

Living with Lung Health Complications

Maintaining a proactive lifestyle is crucial. Many patients find that keeping a consistent exercise regimen, eating a nutrient-dense diet, and avoiding respiratory irritants significantly enhances their quality of life. Vaccination against influenza and pneumonia is also essential, as lung infections pose a heightened risk to those with pre-existing bullous formations.

Recognizing the nuances of Bullous Lung Disease empowers patients to work effectively with their healthcare providers. By focusing on early diagnosis, aggressive symptom management, and lifestyle adjustments, it is possible to mitigate the risks of severe respiratory failure. Whether through medical maintenance or surgical intervention, the ultimate goal remains the preservation of lung function and the maximization of day-to-day comfort. Prioritizing respiratory health and maintaining regular follow-ups with a specialist are the best ways to ensure long-term stability and respiratory wellness.

Related Terms:

  • bullous changes in lungs
  • bullous lung disease pathology outlines
  • bullous changes on cxr
  • bullous lung disease ppt
  • causes of bullous emphysema
  • bullous lung disease symptoms