Cleve

Brown Colour On Teeth

Brown Colour On Teeth

Discovering brown colour on teeth can be a source of significant anxiety, often leading people to hide their smiles or avoid social situations. While a bright, white smile is often synonymous with health and hygiene, discoloration is a common dental concern that affects individuals of all ages. Understanding why these stains appear is the first step toward correcting them. From surface-level discoloration caused by lifestyle choices to deeper, structural changes in the enamel, the causes are as varied as the treatments available. By identifying the root cause, you can take proactive steps to restore your oral health and regain your confidence.

Common Causes of Brown Colour on Teeth

Dental health and tooth discoloration

The appearance of brown marks or spots on your teeth is rarely a mystery; it is almost always the result of a specific external or internal factor. To manage the condition effectively, you must first recognize the source. Here are the most frequent culprits:

  • Dietary Habits: Frequent consumption of dark-pigmented foods and drinks, such as coffee, tea, red wine, balsamic vinegar, and dark berries, can leave stubborn stains over time.
  • Tobacco Use: Smoking or chewing tobacco is a primary cause of severe brown staining due to the nicotine and tar content.
  • Poor Oral Hygiene: Inadequate brushing and flossing allow plaque to harden into tartar (calculus), which is naturally yellow or brown and porous, trapping further stains.
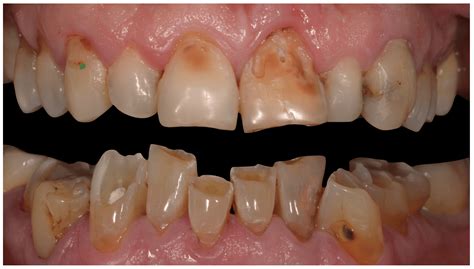
  • Enamel Erosion: Acidic foods or aggressive brushing can wear down the enamel, exposing the dentin—a yellowish-brown layer beneath the surface.
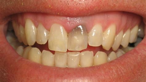
  • Dental Decay: A brown spot that feels soft or deep might be a cavity (caries), which is a sign of tooth decay that requires professional intervention.
  • Medications and Trauma: Certain antibiotics like tetracycline can stain teeth during development, while trauma to a tooth can cause it to darken as the nerve inside dies.

Distinguishing Between Extrinsic and Intrinsic Stains

Understanding the nature of the brown colour on teeth helps in determining the right course of action. Generally, dental professionals classify these stains into two main categories:

Also read: Subtle Full Face Refresh Without Surgery
  • Extrinsic Stains: These occur on the outer surface of the enamel. They are often caused by external agents like food, drinks, and smoking. Because they are superficial, they are usually easier to remove with professional cleaning or whitening treatments.
  • Intrinsic Stains: These occur within the tooth structure, often due to developmental issues, medication use, or injury. Because the discoloration is inside the enamel or dentin, standard whitening products are often ineffective, and more invasive restorative treatments may be needed.
Type of Stain Primary Cause Treatment Approach
Extrinsic Coffee, tea, smoking, plaque Professional cleaning, whitening
Intrinsic Medication, trauma, fluorosis Veneers, crowns, bonding
Decay-related Bacteria, sugar Fillings, root canal therapy

Professional vs. At-Home Solutions

If you are struggling with brown teeth, you might be tempted to try every over-the-counter remedy available. However, a measured approach is essential to avoid damaging your teeth further.

Professional Cleaning: The most important first step is a professional dental hygiene visit. A hygienist uses specialized tools to remove hardened tartar that no toothbrush can touch. Often, this alone can significantly reduce the brown appearance.

Whitening Treatments: Once the plaque and tartar are removed, your dentist can evaluate if whitening is appropriate. While store-bought kits exist, professional-grade whitening is safer and more effective because it is customized to your teeth, ensuring even results.

Restorative Options: If the brown color is due to deep decay, cracks, or intrinsic staining, your dentist may recommend:

  • Dental Bonding: A tooth-colored resin is applied to the tooth to cover stubborn spots.
  • Veneers: Thin shells of porcelain are bonded to the front of the teeth for a natural, uniform look.
  • Crowns: If a tooth is heavily decayed or weakened, a crown can provide both aesthetic and structural support.

⚠️ Note: Avoid using harsh abrasive DIY remedies, such as baking soda or activated charcoal mixed with lemon juice. These can permanently scratch and erode your enamel, making the brown discoloration worse in the long run.

Preventive Strategies to Keep Your Smile Bright

Maintaining a bright, stain-free smile is easier when you adopt consistent habits. Prevention is far more cost-effective than restorative treatment. Consider the following daily adjustments to keep brown colour on teeth at bay:

  • Rinse After Meals: Simply rinsing your mouth with water after consuming staining liquids like coffee or tea can prevent pigments from settling into the enamel.
  • Use a Straw: When drinking dark beverages, use a straw to bypass the front teeth, which are the most visible and susceptible to staining.
  • Strict Oral Care Routine: Brush twice a day with fluoride toothpaste and floss daily to prevent plaque buildup, which quickly turns into discolored tartar.
  • Limit Acidic Foods: Reduce intake of sodas and citrus fruits that weaken enamel, making it easier for stains to penetrate.
  • Regular Check-ups: Visit your dentist every six months. They can identify the early signs of decay before they manifest as dark brown spots.

💡 Note: Smoking cessation is perhaps the most impactful lifestyle change you can make. It not only eliminates the primary cause of extrinsic staining but also significantly improves your overall gum health, reducing the risk of periodontal disease.

Addressing brown discoloration on your teeth requires patience and professional guidance. Because discoloration can indicate everything from simple surface staining to serious decay or internal structural damage, it is vital to avoid quick-fix solutions that might harm your enamel. By scheduling a consultation with a dentist, you can receive an accurate diagnosis and a personalized treatment plan that restores your smile safely and effectively. Consistent oral hygiene, dietary awareness, and regular professional cleanings are the pillars of long-term dental health. With the right care, you can successfully remove the signs of staining and maintain a healthy, bright smile for years to come.

Related Terms:

  • what causes browning on teeth
  • brown stains between teeth
  • permanent brown stains between teeth
  • brown between teeth
  • teeth turning brown around edges
  • brown stains on teeth