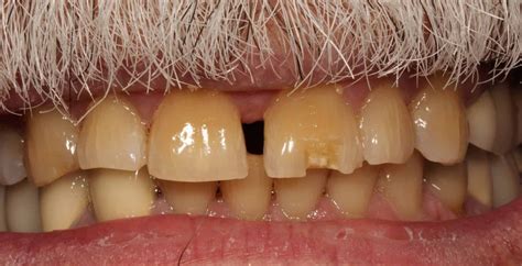
Discovering that your bonded tooth broke can be an incredibly alarming experience, especially when you are in the middle of a meal or simply going about your day. Dental bonding is a popular, minimally invasive cosmetic procedure used to repair chips, cracks, or discoloration. However, it is not indestructible. When that composite resin layer sustains damage, it can cause discomfort, sensitivity, and aesthetic concerns that require immediate attention from a dental professional. Understanding why this happens and what steps to take next is crucial for preserving your dental health and preventing further damage to your natural tooth structure underneath.
Why Does a Bonded Tooth Break?

Dental bonding is designed to withstand normal biting and chewing forces, but it is not as strong as your natural tooth enamel. The material used—typically a composite resin—can weaken over time due to various factors. When a bonded tooth broke, it is usually the result of excessive physical stress or degradation of the bonding agent that secures the resin to your tooth.
- Biting on Hard Objects: Using your teeth as tools to open packages, chewing on ice, pens, or hard candies places immense pressure on the bond, often leading to a fracture.
- Bruxism (Teeth Grinding): If you grind or clench your teeth, especially at night, the constant pressure can cause the bonding material to fatigue and eventually break.
- Poor Oral Hygiene: Bacteria and plaque can accumulate at the edges of the bonding material, weakening the seal and leading to decay or detachment.
- Natural Aging of Materials: Over several years, the composite resin can become brittle or stained, making it more susceptible to damage from daily use.
- Trauma: A direct blow to the mouth from a fall or sports-related impact is a common cause for both natural teeth and bonded restorations to break.
Immediate Actions When You Notice Damage
If you find that your bonded tooth broke, your first reaction should be to stay calm. While it can be stressful, it is rarely a life-threatening emergency. However, you should treat it as a priority dental issue. Taking prompt action can save you from unnecessary pain and help the dentist perform a quicker repair.
- Assess the Damage: Check to see if the break is sharp or jagged, as this could cut your tongue or cheek.
- Save the Fragments: If a large piece of the bonding has broken off, try to find it and keep it in a small container; your dentist may be able to assess it to understand why it failed.
- Rinse Your Mouth: Use warm salt water to gently rinse away any debris and keep the area clean.
- Manage Sensitivity: If the underlying tooth is exposed and causing sensitivity, avoid hot or cold foods until you see a dentist.
- Contact Your Dentist: Schedule an appointment as soon as possible. Even if you aren’t in pain, the exposed area can be prone to decay or further fractures.
⚠️ Note: Avoid using temporary glue or over-the-counter repair kits meant for dentures or jewelry. These chemicals can be toxic or permanently damage your natural tooth structure, making professional repair much more difficult.
Comparison of Dental Restoration Repairs
| Restoration Type | Durability | Repairability |
|---|---|---|
| Dental Bonding | Moderate (3-10 years) | High (Easily polished or added to) |
| Porcelain Veneers | High (10-15+ years) | Low (Usually requires full replacement) |
| Dental Crowns | Very High (15+ years) | Low (Requires replacement) |
Professional Repair Process
When you visit your dentist for a bonded tooth broke incident, they will conduct a thorough examination. They need to determine if the issue is merely a fracture of the resin or if the underlying natural tooth has also been compromised. The repair process is typically straightforward and often does not require local anesthesia.
The dentist will clean the area, etch the surface of the tooth to create a better bond, and apply a new layer of composite resin. They will then sculpt the material to match the shape of your tooth and use a special curing light to harden the resin. Finally, they will polish it to ensure it blends seamlessly with your smile. If the bonding breaks frequently, your dentist might suggest a more durable alternative, such as a porcelain veneer or a crown, which offers superior longevity compared to composite materials.
Preventing Future Fractures
To avoid finding yourself in a situation where your bonded tooth broke again, you should adopt habits that protect your dental restorations. Consistent care will extend the life of your bonding and maintain the aesthetic results for as long as possible.
- Avoid Hard Foods: Be mindful of what you bite into. Avoid popcorn kernels, hard nuts, and biting directly into apples or carrots without cutting them into smaller, manageable pieces.
- Wear a Night Guard: If you suffer from bruxism, a custom-fitted night guard is essential to protect your teeth from grinding forces.
- Maintain Excellent Hygiene: Brush twice daily and floss regularly. Keeping the margins of the bonding clean prevents secondary decay that could undermine the restoration.
- Routine Checkups: Regular visits to your dentist allow them to catch microscopic cracks or weaknesses in the bonding before they turn into major breaks.
- Avoid Tobacco and Staining Agents: Smoking and excessive consumption of coffee or red wine can discolor the bonding material and weaken the resin’s integrity over time.
The experience of having a bonded tooth broke is a common occurrence that can usually be managed with a quick, effective trip to your dental provider. By recognizing the warning signs, seeking timely professional intervention, and adopting protective habits, you can maintain a healthy, bright, and stable smile for years to come. Remember that while bonding is a fantastic tool for cosmetic improvement, it requires the same diligence as your natural enamel to stay in top condition. By treating your dental work with care and keeping up with your professional dental cleanings, you significantly reduce the risk of future fractures and ensure that your smile remains as resilient as it is beautiful.
Related Terms:
- teeth bonding procedure
- broken tooth falling off
- dental bonding treatment
- replanting a broken tooth
- cracked tooth binding
- what is dental bonding