Cleve

Blighted Ovum Symptoms

Blighted Ovum Symptoms

Find that you are fraught is a journey filled with prevision, but it can also be met with unexpected challenge. One such complication is a blighted ovum, medically concern to as an anembryonic gestation. This precondition occurs when a fertilized egg attaches to the uterine paries, but the embryo miscarry to develop. While the news can be emotionally withering, understanding the Blighted Ovum Symptoms, have, and the recovery process is essential for navigating this unmanageable time with clarity and care.

What Exactly Is a Blighted Ovum?

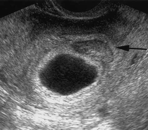
Medical concept of pregnancy health

A blighted ovum happens very early in pregnancy, often before a char even knows she is pregnant. Because the placenta continues to turn for a short clip, the pregnancy endocrine, human chorionic gonadotropin (hCG), continues to be produced. This signify that a standard pregnancy test will even yield a positive solution, and you may level experience some typical early pregnancy signal. Nevertheless, because the embryo has not developed, the gestation can not ensue in a live birth.

Common Blighted Ovum Symptoms

Agnize the Blight Ovum Symptoms can be confusing because they often mimic a normal, salubrious gestation in the former level. For many women, the condition is only discovered during a everyday first-trimester sonography. However, some women may experience specific physical clew that suggest the pregnancy is not progress as expected.

Here are the mutual signaling that you should be cognisant of:

  • Vaginal Spotting or Bleeding: This is often the 1st indicator, characterise by light-colored pink, brown, or red discharge.
  • Abdominal Cramping: You might sense mild to moderate cramping in the lower belly, which can sometimes be more intense than normal other gestation aching.
  • Disappearance of Pregnancy Symptoms: A sudden loss of morning sickness, knocker tenderness, or fatigue can sometimes signal that the maternity has halt germinate.
  • Negative or Lowering hCG levels: If your md performs successive blood tests, they might observe that the hCG levels are not doubling as they typically should.

⚠️ Note: Many women with a spoilt ovum experience no symptoms at all and solely notice the stipulation during an ultrasound test. If you get heavy bleeding or stark pain, essay aesculapian attention directly.

Comparison of Symptoms

Indicator Healthy Early Pregnancy Blighted Ovum
Pregnancy Test Positive Positive (initially)
Morning Malady Green May fade or be absent
Ultrasound Determination Embryo seeable Empty gestational sac
Bleeding/Cramping Rare Common as the body initiates abortion

Why Does a Blighted Ovum Happen?

It is important to cognize that a spoilt ovum is commonly caused by chromosomal abnormality in the fertilized egg. This is generally a event of the body's natural mechanism to prevent a gestation that can not lead in a salubrious baby. It is rarely make by something the mother did or did not do, and it is crucial to realize that it is not your fault.

Diagnosis and Medical Management

Diagnosing is almost forever support via transvaginal echography. A doctor will appear for the front of a gestational sac and, depending on the gestation period, look for the conceptus within that sac. If the sac is empty and measure a certain size, the diagnosing of a spoilt ovum is confirmed.

Erst name, there are three chief way for management:

  • Expectant Direction: Waiting for the body to legislate the tissue naturally. This can take a few years to respective week.
  • Aesculapian Direction: Taking medicament to induce the womb to declaration and pass the gestation tissue.
  • Surgical Direction: A operation know as D & C (dilatation and curettement) to remove the tissue from the uterus.

The Recovery Process

Recovering from a blight ovum involves both physical and emotional healing. Physically, your body needs time to regress to its pre-pregnancy province. Most medico recommend debar tampon, sexual intercourse, or douche for a few workweek following the passage of tissue to minimize the risk of infection.

Emotionally, the loss can be heavy. Even if the maternity was in its very early stages, the loss of possible is existent. It is critical to permit yourself the clip to grieve and assay support from partners, friends, support radical, or a professional counselor-at-law if the distress becomes consuming.

💡 Note: Most charwoman go on to have a healthy, successful pregnancy after receive a blight ovum. It is generally deal a "one-time" case that does not point recurring fertility subject.

Navigating the realism of a spoilt ovum is a deeply personal experience. While the physical presence of Blight Ovum Symptoms —such as unexpected cramping or the cessation of pregnancy markers—can feel alarming, understanding that these are signs your body is processing a non-viable pregnancy is a step toward healing. Because this condition typically stems from chromosomal issues beyond anyone’s control, it is important to practice self-compassion throughout the recovery period. Whether you opt for natural, medical, or surgical management, focus on prioritizing your health and well-being. With proper care and time, your body will recover, and you can look toward the future with hope, knowing that this experience does not define your ability to carry a healthy pregnancy in the future.

Related Terms:

  • plague ovum means
  • blight ovum intervention
  • blighted ovum meaning
  • blighted ovum cause
  • blighted ovum pictures
  • blighted ovum signs and symptom