Cleve

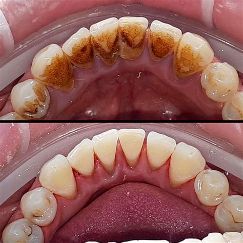
Black Tartar On Teeth

Black Tartar On Teeth

Discovering black tartar on teeth can be an alarming experience, often leading to immediate concern about oral hygiene and overall health. While many people are familiar with the typical yellowish or off-white plaque that builds up throughout the day, the appearance of dark, hardened deposits near the gum line is a sign that simple brushing is no longer sufficient. This condition, medically known as subgingival or supragingival calculus, represents a significant stage in the progression of oral health issues. Understanding what causes this discoloration, why it hardens into such a stubborn substance, and how to effectively address it is crucial for maintaining a healthy, confident smile.

What Exactly is Black Tartar?

To put it simply, tartar—or calculus—is plaque that has calcified. When food particles, saliva, and bacteria mix in the mouth, they form a sticky film called plaque. If this film is not removed regularly through consistent brushing and flossing, it begins to harden due to the minerals present in your saliva. Over time, these mineral deposits build up and become porous, rough, and extremely difficult to remove.

The dark or black tartar on teeth specifically usually indicates a more advanced stage of tartar accumulation. The color change is often attributed to several factors:

  • Blood staining: If the tartar is located near or below the gum line, it can come into contact with bleeding gums caused by inflammation (gingivitis). As the blood dries and interacts with the tartar, it darkens significantly.
  • Pigmentation from food and drink: Because tartar is porous, it acts like a sponge for pigments found in coffee, tea, red wine, and tobacco products.
  • Bacteria types: Certain types of anaerobic bacteria that thrive in the pockets between your teeth and gums produce pigments that contribute to the dark appearance.

Why You Should Be Concerned

Ignoring black tartar on teeth is rarely a good idea because it is firmly bonded to the tooth enamel. Unlike plaque, which can be removed at home, tartar requires professional intervention. When left untreated, it serves as a breeding ground for harmful bacteria that release toxins, leading to a variety of oral health problems:

Stage Condition Primary Impact
Early Gingivitis Red, swollen, and bleeding gums.
Moderate Periodontitis Receding gums and formation of pockets.
Advanced Bone/Tooth Loss Destruction of supporting bone structure.

Professional Removal is Essential

Once plaque has hardened into tartar, it becomes impossible to remove with a standard toothbrush or dental floss. In fact, attempting to scrape it off at home using metal tools can be dangerous, as you risk damaging your enamel or injuring your gum tissue, which can lead to severe infections. Professional dental cleaning is the only safe and effective method to remove these deposits.

Your dentist or dental hygienist uses specialized tools such as ultrasonic scalers or manual hand scalers to break the bond between the tartar and your teeth. This process, often referred to as a deep cleaning or scaling and root planing, ensures that the surface of the tooth is smooth again, which prevents further bacteria from easily attaching to it.

⚠️ Note: If you have significant gum sensitivity or bleeding, inform your dental professional beforehand so they can discuss options for local anesthesia to ensure your comfort during the scaling procedure.

Preventing Future Buildup

Once you have had a professional cleaning, the goal shifts to prevention. Stopping black tartar on teeth from returning requires a dedicated, daily routine. Prevention is significantly easier and cheaper than treating advanced gum disease.

  • Brushing Technique: Brush twice a day for two minutes using a fluoride toothpaste. Consider an electric toothbrush, as studies show they are often more effective at removing plaque than manual brushing.
  • Flossing Daily: Floss reaches the tight spaces between teeth where a toothbrush cannot reach. Removing plaque here is critical to preventing it from turning into tartar.
  • Mouthwash: Use an antimicrobial mouthwash to help reduce the bacterial count in your mouth and combat the buildup of plaque.
  • Dietary Choices: Limit sugary and starchy snacks, as bacteria feed on these carbohydrates to produce the acid that damages teeth and promotes plaque buildup.
  • Regular Dental Checkups: Visit your dentist at least every six months for a professional cleaning. This allows them to catch and remove minor plaque buildup before it hardens into tartar.

💡 Note: Drinking plenty of water throughout the day helps wash away food particles and maintains a healthy flow of saliva, which is your mouth's natural defense against acid and plaque.

Common Misconceptions About Dark Tartar

There are several myths surrounding the dark buildup on teeth that can lead people to try ineffective or harmful "home remedies." It is vital to separate fact from fiction. For instance, many online DIY tutorials suggest using harsh substances like baking soda, lemon juice, or even vinegar to dissolve tartar. These substances are highly acidic or abrasive. They might temporarily lighten the surface, but they will simultaneously erode your protective enamel, making your teeth more susceptible to decay and sensitivity in the long run.

Another misconception is that charcoal toothpaste can remove tartar. While charcoal can help polish off surface stains, it cannot break the chemical bond of hardened calculus. Relying on such products to solve an issue that requires a professional is a delay tactic that only allows the underlying gum disease to progress further.

If you notice dark areas along your gum line, the most proactive step is to schedule an appointment with your dentist. They can assess the extent of the buildup, evaluate the health of your gum tissue, and provide a tailored plan to restore your oral health. Taking action early prevents the transition from simple cosmetic staining to serious periodontal issues that can threaten the longevity of your teeth.

Maintaining a healthy smile is a continuous process that relies on a combination of diligent home care and regular professional maintenance. Black tartar on teeth is a clear indicator that the body is signaling a need for attention. By addressing this buildup through professional cleaning and establishing a robust daily regimen—including brushing, flossing, and mindful dietary habits—you can effectively stop the progression of gum disease and keep your mouth in optimal health. Prioritizing these steps will not only improve the aesthetics of your smile but will also contribute significantly to your overall physical well-being.

Related Terms:

  • black tartar on teeth recovery
  • black tartar on teeth pictures
  • hard black stuff on teeth
  • remove black tartar from teeth
  • can black tartar be removed
  • how to dissolve tartar