Cleve

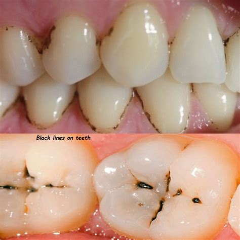
Black Marks On Teeth

Black Marks On Teeth

Discovering black marks on teeth can be an alarming experience, often leading to immediate concerns about oral health and cosmetic appearance. While it is easy to jump to the worst-case scenario—such as severe tooth decay—these dark spots are not always cavities. They can stem from a variety of sources ranging from simple surface stains caused by lifestyle habits to more complex dental issues that require professional intervention. Understanding the root cause of these marks is the first step toward restoring your smile and ensuring your long-term dental health.

Common Causes of Black Marks on Teeth

To effectively address dark discoloration, you must first identify what is causing it. The nature of these marks—whether they are on the surface, within the grooves, or near the gum line—provides critical clues for both you and your dentist.

  • Dietary Stains: Consuming dark-pigmented foods and drinks like coffee, red wine, tea, and blueberries can lead to surface stains that darken over time.
  • Tobacco Use: Smoking or chewing tobacco is a leading cause of stubborn dark stains on teeth due to the nicotine and tar content.
  • Tartar Buildup: When plaque is not removed, it hardens into tartar (calculus), which can trap pigments and appear as black or brown spots, particularly near the gum line.
  • Dental Decay (Cavities): This is the most serious cause. Decay often starts as a small black or dark brown spot in the pits and fissures of your molars, indicating that the tooth structure has been compromised.
  • Dental Materials: Sometimes, old silver amalgam fillings can cause the surrounding tooth structure to appear gray or black as the material wears down.
  • Medications and Supplements: Certain iron supplements or medications can cause internal or external discoloration of the teeth.

Distinguishing Between Stains and Decay

It is often difficult for the untrained eye to differentiate between simple surface staining and structural decay. However, there are some general indicators to look for. Surface stains typically appear on the enamel and may be widespread across multiple teeth. In contrast, black marks on teeth that are caused by cavities usually feel "sticky" or soft to a dental explorer, reside in the deep grooves of the biting surface, and may be accompanied by sensitivity or pain.

Feature Surface Stains Dental Decay (Cavities)
Texture Smooth Rough or soft
Location Often on front or sides of teeth Deep grooves or near gum line
Sensitivity Usually none May be sensitive to cold/sweet
Removal Professional cleaning/whitening Dental filling required

⚠️ Note: If you experience sharp pain, swelling, or lingering sensitivity when eating or drinking, do not wait for a routine check-up. These are signs that a black mark may have progressed into a deeper cavity or infection.

When to See a Dentist

If you notice persistent black marks on teeth that do not come off with regular brushing and flossing, it is time to schedule a professional dental evaluation. A dentist can perform a visual exam, use specialized tools to check for softness in the enamel, and utilize dental X-rays to see if the dark area extends into the dentin or pulp of the tooth.

Professional Treatment Options

Depending on the diagnosis, your dentist may suggest one of the following treatments:

  • Professional Dental Cleaning: A hygienist can remove hardened tartar and surface stains using ultrasonic tools and professional-grade polishing agents.
  • Dental Fillings: If the mark is a cavity, the decayed area will be removed and filled with a composite resin or amalgam to restore the tooth’s integrity.
  • Teeth Whitening: For extrinsic stains caused by diet or tobacco, professional whitening treatments can effectively lift the color without damaging the enamel.
  • Veneers or Bonding: For intrinsic stains that are resistant to whitening, cosmetic options like veneers can cover the discoloration and improve the tooth's appearance.

Preventive Measures for Oral Health

Maintaining a bright, stain-free smile requires consistent effort. By adopting a proactive approach to your daily hygiene routine, you can prevent the recurrence of dark spots and ensure your teeth remain healthy.

  • Brush Twice Daily: Use a fluoride toothpaste to strengthen enamel and prevent acid attacks that lead to decay.
  • Floss Every Night: Removing plaque from between the teeth is essential, as this is a common area for decay to start unnoticed.
  • Limit Staining Agents: If you consume coffee, tea, or wine, rinse your mouth with water afterward to reduce the contact time of pigments with your enamel.
  • Quit Tobacco Products: Stopping the use of cigarettes or chewing tobacco is the most effective way to eliminate tobacco-induced stains and reduce the risk of oral disease.
  • Regular Check-ups: Visiting your dentist every six months allows for the early detection of issues before they become painful or expensive to fix.

💡 Note: Brushing too aggressively can actually wear away your enamel, making your teeth more susceptible to future staining and decay. Use a soft-bristled toothbrush and gentle, circular motions.

Taking care of your dental health is about more than just aesthetics; it is a vital component of your overall well-being. Whether the black marks you have identified are merely cosmetic stains or indicators of underlying dental decay, addressing them promptly ensures that you maintain a healthy and functional smile. By staying consistent with your oral hygiene habits and maintaining regular appointments with your dental professional, you can successfully prevent these issues from escalating. Always prioritize professional advice over home remedies to ensure that you are treating the root cause rather than just masking the symptoms, keeping your mouth healthy for years to come.

Related Terms:

  • tiny black spots on teeth
  • why is tooth decay black
  • teeth turning black suddenly
  • small black spot on tooth
  • can teeth stains be removed
  • tiny black dots on teeth