Cleve

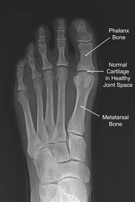
Big Toe Joint

Big Toe Joint

The big toe joint, technically known as the first metatarsophalangeal (MTP) joint, is one of the most hardworking structures in your body. Every time you take a step, this complex mechanism undergoes significant pressure, acting as the primary lever for propulsion. Despite its relatively small size, it plays an outsized role in your overall mobility, balance, and quality of life. When this joint functions properly, you move with ease; however, when pain or inflammation strikes, the simplest activities—like walking to the mailbox—can become daunting challenges. Understanding how this joint functions, identifying the common issues that plague it, and learning how to protect it is essential for anyone who values long-term foot health.

Understanding the Anatomy and Function

The big toe joint acts as a hinge, allowing the toe to flex and extend during the gait cycle. It is composed of the head of the first metatarsal bone and the base of the proximal phalanx of the big toe. Encased within this structure are cartilage, ligaments, and a joint capsule, all of which work in harmony to facilitate movement.

During the “toe-off” phase of walking, your entire body weight is momentarily transferred through the big toe joint. Because of this high-impact responsibility, it is prone to wear and tear over time. When the mechanics of the foot are misaligned, or when external factors like improper footwear come into play, the delicate balance of this joint is easily disrupted, leading to chronic discomfort or structural changes.

Common Conditions Affecting the Big Toe Joint

Many individuals will experience some form of discomfort in this area at least once in their lives. Distinguishing between conditions is key to finding the right treatment path. Below are the most frequent culprits behind joint pain:

  • Hallux Valgus (Bunions): A bony bump that forms on the joint at the base of the big toe, causing the toe to angle toward the others.
  • Hallux Rigidus: A form of degenerative arthritis that causes stiffness and limited range of motion in the joint.
  • Sesamoiditis: Inflammation of the two small, pea-shaped bones (sesamoids) embedded in the tendons beneath the big toe joint.
  • Gout: A type of inflammatory arthritis caused by the buildup of uric acid crystals, which often specifically targets the MTP joint.
  • Turf Toe: A sprain of the ligaments surrounding the big toe joint, often caused by forced hyperextension during athletic activity.
Condition Primary Symptom Common Cause
Bunion Visible bony protrusion Genetics/Ill-fitting shoes
Hallux Rigidus Stiffness and swelling Aging or repetitive trauma
Gout Sudden, intense pain Dietary factors/Uric acid

⚠️ Note: If you experience sudden, unbearable pain combined with redness and heat, please consult a medical professional immediately, as these may be signs of infection or acute gout flares.

Strategies for Maintaining Joint Health

Prevention is always superior to intervention when it comes to orthopedic health. Maintaining a healthy big toe joint requires a proactive approach to footwear, weight management, and activity modification.

1. Choosing Proper Footwear

The most common cause of joint degradation is restrictive footwear. Avoid shoes with narrow toe boxes that force the toes together. Opt for wider, supportive shoes that allow your toes to splay naturally while walking.

2. Strengthening and Mobility Exercises

You can improve the resilience of the big toe joint by performing simple daily exercises. Gentle range-of-motion movements—such as using your hand to slowly bend the big toe upward and downward—can help preserve flexibility. Additionally, picking up small objects like marbles with your toes can strengthen the intrinsic muscles of the foot, taking the pressure off the joint.

3. Orthotic Support

Over-the-counter or custom orthotics can help realign the foot, ensuring that pressure is distributed more evenly across the metatarsals. This reduces the mechanical load on the big toe joint and can slow the progression of structural issues like bunions.

When to Seek Professional Medical Care

While minor aches can sometimes be managed with rest, ice, and anti-inflammatory medications, certain symptoms necessitate a visit to a podiatrist or orthopedic specialist. You should seek an expert evaluation if you notice:

  • Persistent pain that prevents you from wearing standard shoes.
  • A visible deformity that seems to be changing in shape or angle.
  • Significant loss of range of motion, making it difficult to walk or stand.
  • Numbness or tingling sensations in the toe.

💡 Note: Always monitor for changes in skin color or temperature around the joint, as these can indicate circulatory or inflammatory issues that require prompt clinical attention.

Long-Term Management and Outlook

The journey to recovery or maintenance depends largely on the severity of the underlying condition. For many, conservative treatments such as physical therapy, lifestyle adjustments, and medication are sufficient to lead a pain-free life. In more advanced cases where structural damage has occurred, surgical options may be discussed. Modern surgical techniques for the big toe joint are highly sophisticated, often focusing on joint preservation rather than simple fusion, which helps maintain natural movement patterns.

By prioritizing the health of your feet today, you are essentially investing in your mobility for years to come. Staying mindful of how your feet feel, choosing supportive shoes, and responding early to discomfort are the best ways to ensure your joints remain flexible and functional. Listen to what your body is telling you; your feet carry you through every aspect of your life, and taking small, consistent steps toward their care will pay off in long-term comfort and independence.

Related Terms:

  • foot hurts behind big toe
  • big toe joint pain nhs
  • big toe cartilage problems
  • big toe joint pops constantly
  • big toe joint painful
  • Swollen big toe joint