If you have been experiencing persistent difficulty swallowing, chronic heartburn, or unexplained chest pain, your healthcare provider may recommend a Barium Swallow Test to get a clearer picture of what is happening inside your digestive tract. This diagnostic procedure, often referred to as an esophagram, is a specialized type of imaging study that uses X-rays to visualize the upper gastrointestinal tract. By coating the lining of your esophagus, stomach, and the beginning of your small intestine with a chalky liquid called barium, radiologists can identify structural abnormalities or functional issues that might be causing your symptoms.
Understanding the Barium Swallow Test

A Barium Swallow Test is essentially a "movie" rather than a snapshot. While standard X-rays provide a static image of your bones or lungs, this test utilizes a technique called fluoroscopy, which allows the radiologist to watch the barium move in real-time as you swallow. This dynamic view is crucial for identifying exactly where a blockage or dysfunction might be occurring during the act of deglutition (swallowing).
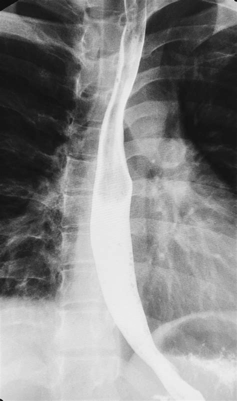
The barium sulfate used in the procedure acts as a contrast medium. Because it is radio-opaque, it shows up bright white on X-ray images, effectively "painting" the walls of your throat and esophagus. This makes it possible to visualize conditions such as:
- Hiatal hernias, where the stomach pushes up through the diaphragm.
- Esophageal strictures or narrowing of the esophagus.
- Gastroesophageal reflux disease (GERD), allowing doctors to see if stomach acid is splashing back into the esophagus.
- Tumors or growths along the esophageal wall.
- Diverticula, which are abnormal pouches in the esophageal wall.
- Motility disorders, where the muscles of the throat or esophagus do not contract properly to move food down to the stomach.
Preparing for Your Procedure
Proper preparation is key to ensuring that the radiologist gets the best possible images. In most cases, you will be instructed to stop eating and drinking for a specific period before the exam—usually 6 to 8 hours. This ensures that your stomach is empty, allowing the barium to coat the tissues without interference from food particles.
Be sure to inform your doctor about any medications you are currently taking, as well as any known allergies. While barium is generally safe and inert, your medical team needs a complete picture of your health profile. On the day of the test, wear comfortable, loose-fitting clothing, as you may be asked to change into a hospital gown to prevent metal zippers or jewelry from interfering with the X-ray clarity.
What to Expect During the Test
When you arrive for your Barium Swallow Test, you will be escorted to the fluoroscopy room. The entire procedure usually takes between 20 to 30 minutes. Here is the general flow of what happens during the appointment:
- You will be asked to stand or sit in front of the fluoroscopy machine.
- The technologist will provide you with a cup of liquid barium. It has a thick, chalky consistency, and while it is often flavored, it may have a distinct taste.
- You will be instructed to swallow the liquid while the radiologist watches the screen. They may ask you to swallow at different speeds or in different positions, such as lying flat or tilted.
- In some variations of the test, you might be asked to swallow a "barium tablet" or a sponge soaked in barium if your doctor suspects a subtle blockage that liquids might pass through too easily.
- The images are captured continuously, and the radiologist will review them to ensure they have enough information to make an accurate diagnosis.
⚠️ Note: It is normal to feel slightly bloated or experience mild constipation after the procedure. Drinking plenty of water for 24 to 48 hours following the exam will help your body flush out the remaining barium.
Comparing Digestive Diagnostic Tests
Patients often wonder how a Barium Swallow Test differs from other common digestive procedures like an endoscopy. The following table provides a quick comparison to help you understand why your doctor might choose one over the other:
| Feature | Barium Swallow | Upper Endoscopy (EGD) |
|---|---|---|
| Method | X-ray/Fluoroscopy | Flexible camera tube |
| Invasiveness | Non-invasive | Minimally invasive (sedation often used) |
| Primary Use | Viewing structure & movement | Direct visualization & biopsy |
| Recovery | Immediate | Recovery from sedation required |
Managing Post-Procedure Symptoms
Because the barium is a heavy, mineral-based substance, it can cause your stool to appear white or very pale for a few days following the test. This is perfectly normal and is simply the result of the body eliminating the contrast material. If you find that you are constipated, your physician may recommend a mild over-the-counter laxative to speed up the process. However, if you experience severe abdominal pain, persistent constipation, or a fever, contact your doctor immediately, as these could be signs of rare complications.
ℹ️ Note: If you have a history of severe constipation or bowel obstructions, mention this to your radiologist beforehand, as they may recommend specific post-test protocols to manage your digestion.
The Diagnostic Value
The information gathered from this study acts as a roadmap for your medical team. By visualizing the anatomy of your swallowing mechanism, the Barium Swallow Test can prevent unnecessary invasive surgeries by identifying the precise location of a pathology. Once the images are reviewed by the radiologist, they will send a formal report to your primary care physician or gastroenterologist. You will then have a follow-up appointment to discuss the findings and determine the next steps, whether that involves lifestyle modifications, medication, or further diagnostic procedures.
Living with swallowing difficulties or chronic digestive discomfort can significantly impact your quality of life, but diagnostic tools like the Barium Swallow Test offer a path toward clarity and effective treatment. By understanding how the procedure works, preparing properly, and knowing what to expect during and after the exam, you can approach your appointment with confidence. Prioritizing your digestive health is an essential step in maintaining your overall wellness, and this test serves as a powerful, non-invasive way to get the answers you need to start feeling better. Always reach out to your medical provider if you have concerns leading up to your procedure, as they are the best resource for tailoring the experience to your specific clinical needs.
Related Terms:
- barium swallow test how long
- barium swallow test cpt code
- barium swallow test nhs
- barium meal test
- barium swallow test cost
- Barium Swallow Reflux