Rp

Atypical Adenomatous Hyperplasia

Atypical Adenomatous Hyperplasia

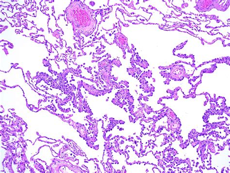
The breakthrough of a lung tubercle during a routine thorax scan can be an anxiety-inducing experience for any patient. Often, these findings are incidental, meaning they are launch while look for something else. Among the respective conditions clinicians measure, Atypical Adenomatous Hyperplasia (AAH) frequently emerges as a focal point of discussion. As a localized, small proliferation of untypical type II pneumocytes and Clara cell lining the alveolar walls, AAH is widely recognise in the medical community as a precursor lesion. Understanding what this means for your health involves delving into the complexities of lung pathology and the diagnostic steps that follow its identification.

What Exactly is Atypical Adenomatous Hyperplasia?

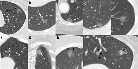
Lung scan interpretation

To grasp the meaning of Atypical Adenomatous Hyperplasia, it is helpful to consider it through the lens of cellular biota. The lungs are lined with delicate air sacs telephone alveolus, which are creditworthy for gas interchange. AAH occurs when the cell lining these sacs begin to turn in a fashion that is not quite normal but does not yet converge the measure for invasive lung crab. It is assort as a pre-invasive lesion, existing on the spectrum between salubrious lung tissue and adenocarcinoma.

Most cases of AAH are hear in individuals undergoing screening for other conditions, such as continuing hindering pulmonary disease (COPD) or follow-ups for smoking chronicle. Because AAH nodules are typically very small - usually measure less than 5 millimeters in diameter - they are often hard to see on standard X-rays and are most ofttimes identify using high-resolution computed imaging (HRCT) scans.

Distinguishing AAH from Other Lung Findings

One of the chief challenge in thoracic medicine is differentiating Atypical Adenomatous Hyperplasia from other character of nodules. Diagnostician and radiotherapist use specific standard to ensure an precise diagnosing. The undermentioned table provides a quick reference to differentiate mutual pulmonary findings:

Condition Description Malignancy Potential
AAH Pocket-size pre-invasive proliferation Low to lead (precursor)
AIS (Adenocarcinoma in situ) Localized, small, non-invasive Eminent (pre-invasive)
Invasive Adenocarcinoma Penetrate malignant cells High
Granuloma Inflammatory response None (Benign)

Risk Factors and Clinical Presentation

While the exact campaign of Atypical Adenomatous Hyperplasia remains a study of ongoing inquiry, various risk factors have been established. notably that having these risk factors does not guarantee the maturation of AAH, nor does the absence of them insure unsusceptibility.

  • Fume History: Long-term tobacco use is the most significant environmental factor colligate with cellular alteration in the lung.
  • Age: The incidence of these lesion run to increase with age, particularly in patient over 50.
  • Genetic Sensitivity: Some person may have a higher susceptibility due to underlying genetic mutations, such as those in the EGFR factor.
  • Chronic Rubor: Conditions that cause haunting lung inflammation may create an environs conducive to cellular hyper-proliferation.

Patients with AAH are generally asymptomatic. Because the lesion are pocket-sized and peripheral, they do not cause coughing, chest hurting, or shortness of breather. This is why clinical surveillance is the standard approach for managing these nodules instead than immediate, fast-growing intervention.

💡 Note: While AAH itself is study benignant, its existence helot as a marker that the lung tissue may be susceptible to further alteration. Veritable monitoring is crucial to detect any advance to more substantial disease early.

The Diagnostic and Monitoring Process

Medical professional analyzing data

When a physician identify a likely instance of Atypical Adenomatous Hyperplasia, the strategy is normally centered on "sleepless waiting". Because these lesions are super slow-growing, perform a biopsy on every small nodule can be more harmful than the wound itself. Rather, doc utilize sequent HRCT scan to supervise the tubercle's sizing and density over month or years.

What medical professional seem for during follow-up scan:

  • Constancy: If the tubercle remains unaltered in size and appearing, it is frequently keep under reflection.
  • Increase: Any substantial increase in the size of the tubercle may activate further diagnostic testing, such as a PET scan or a biopsy.
  • Solidification: Modification in the "ground-glass" concentration of the nodule (where it turn more solid) can be a signaling that the lesion is advance toward an invading province.

Treatment Approaches and Prognosis

For most patients diagnose with Atypical Adenomatous Hyperplasia, no operative intervention is require. The lesion is oftentimes considered an incidental determination that requires nil more than lifestyle adjustments - such as fume cessation - and periodic imagery. If, however, the nodule demonstrate signal of germinate into Adenocarcinoma in situ (AIS) or invasive adenocarcinoma, thoracic surgeons may advocate a submarine resection.

A wedge resection is a minimally invading surgical function where the surgeon take the small portion of the lung control the tubercle. Because AAH is often establish in patients with multiple wound, surgeons are heedful to conserve as much healthy lung tissue as possible. The forecast for individuals with AAH is excellent, specially when the condition is discover former and managed with regular follow-up screenings. By stay informed and conserve coherent communication with a pulmonologist or oncologist, patients can effectively manage their lung health.

In compendious, while the condition Atypical Adenomatous Hyperplasia may go intimidating, it is a well-understood clinical determination that permit for proactive health management. These precursors function as other warning signs, providing an opportunity for doc to monitor the lungs closely. By prioritizing regular masking and maintaining a healthy life-style, patients can pilot these findings with confidence. Ongoing advancement in imaging technology continue to amend our power to find these lesions earlier, ensuring that if any procession occur, it is captured during the most treatable stages. Always prioritise your follow-up appointments and consult with your medical team to tailor a monitoring program specifically accommodate to your clinical history and case-by-case health need.

Related Damage:

  • is atypical adenomatous hyperplasia cancer
  • untypical adenomatous hyperplasia radioscopy
  • untypical adenomatous hyperplasia ct
  • untypical adenomatous hyperplasia pathology outlines
  • irregular adenomatous hyperplasia treatment
  • atypical adenomatous hyperplasia of lung