Cleve

Aortic Dissection Ct

Aortic Dissection Ct

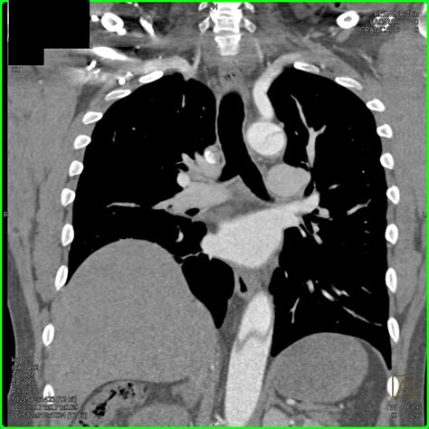
An aortic dissection is a life-threatening medical emergency that occurs when a tear develops in the inner layer of the body's main artery, the aorta. When blood surges through this tear, it causes the inner and middle layers of the aorta to separate, or "dissect." Given the speed at which this condition can deteriorate, rapid diagnostic imaging is paramount. The Aortic Dissection CT scan, specifically a CT Angiography (CTA), has become the gold standard for clinicians worldwide due to its remarkable speed, high resolution, and widespread availability in emergency departments. Understanding how this diagnostic tool works and why it is critical can provide life-saving insights for patients and caregivers alike.

Understanding the Role of CT in Emergency Cardiology

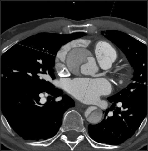
When a patient presents to the emergency room with symptoms like tearing chest pain that radiates to the back, medical teams must act with extreme precision. The diagnostic window for aortic dissection is remarkably narrow. A Aortic Dissection CT study is typically performed as a CT Angiography, which involves the intravenous administration of contrast dye. This dye highlights the vascular structures, allowing radiologists to see exactly where the blood is flowing within the aortic wall.

Why is this specific imaging modality preferred? Unlike an MRI or a transthoracic echocardiogram, a high-speed CT scan can capture images of the entire thoracic and abdominal aorta in a matter of seconds. For patients who are hemodynamically unstable, every minute counts, and the CTA provides the clarity needed to determine whether an immediate surgical intervention or aggressive medical management is required.

How the Procedure is Performed

The process of undergoing an Aortic Dissection CT is designed for efficiency. Upon arrival at the radiology suite, a healthcare professional will insert an IV line into a peripheral vein, usually in the arm. Through this line, a radiopaque contrast agent is injected. The scanner then performs a rapid, non-invasive scan that covers the chest and sometimes the abdomen.

  • Preparation: The medical team checks the patient's kidney function (creatinine levels) and history of allergies to contrast dye.
  • Imaging: The patient lies flat on the scanning table, which slides into the donut-shaped gantry.
  • Bolus Timing: Sophisticated sensors track the movement of the contrast dye to ensure the scan captures the aorta at the peak of opacification.
  • Reconstruction: The raw data is processed into 3D images, allowing surgeons to visualize the exact anatomy of the flap and its relation to critical branch vessels.

⚠️ Note: If a patient has severe kidney failure or a known life-threatening allergy to iodinated contrast, the medical team will weigh the risks and benefits carefully or seek alternative imaging strategies.

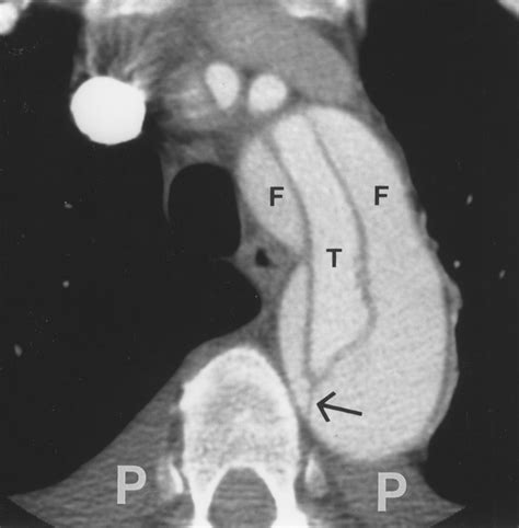
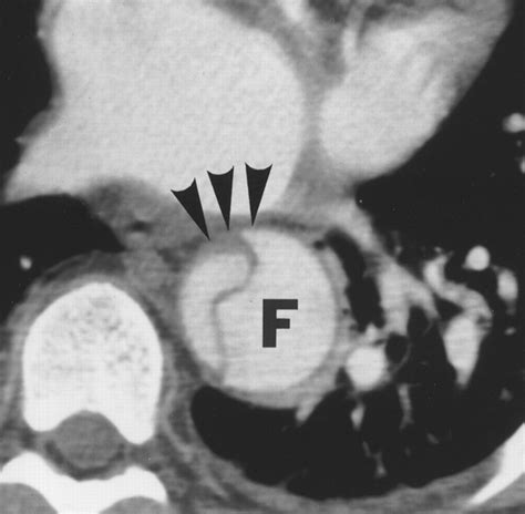
Interpreting Results: What Radiologists Look For

The primary goal of the Aortic Dissection CT is to identify the "intimal flap"—the physical separation of the aortic layers. Radiologists categorize these findings based on the Stanford or DeBakey systems, which help surgeons decide the urgency of the repair. The report will typically detail several critical features:

Feature Description
Intimal Flap The presence of a visible tear separating the true and false lumens.
False Lumen The space formed between the aortic layers that fills with blood.
Branch Vessel Involvement Determining if the dissection affects arteries feeding the brain, heart, kidneys, or legs.
Periaortic Hematoma Signs of blood leaking outside the aorta, indicating a potential impending rupture.

Stanford Classification System

Clinical management is heavily dictated by the classification determined during the Aortic Dissection CT analysis. The Stanford system is the most commonly used framework in clinical practice:

  • Stanford Type A: Involves the ascending aorta. This is a surgical emergency that requires immediate intervention to prevent rupture, cardiac tamponade, or stroke.
  • Stanford Type B: Involves only the descending aorta (beyond the left subclavian artery). These are often managed initially with intensive blood pressure control medication in an ICU setting, though some require endovascular repair.

Safety and Radiation Considerations

While the speed of the Aortic Dissection CT is its greatest asset, patients often express concern regarding radiation exposure. It is important to emphasize that in the context of an aortic dissection, the risk of the condition itself far outweighs the risk of radiation exposure. Modern scanners use "dose-modulation" technology to reduce radiation while maintaining image quality. Furthermore, the use of contrast material is strictly monitored, and post-scan hydration is often encouraged to help the kidneys clear the contrast agent efficiently.

💡 Note: Always inform the medical team if there is a possibility of pregnancy, as special precautions may be taken to protect the fetus while still ensuring a rapid diagnosis for the mother.

The Importance of Rapid Diagnosis

The time between the onset of symptoms and the final diagnostic report is the most critical period for survival. Because aortic dissection can mimic other conditions like a heart attack (myocardial infarction) or pulmonary embolism, clinicians often order a "triple rule-out" CT protocol. This specialized Aortic Dissection CT protocol covers the coronary arteries, the pulmonary arteries, and the aorta simultaneously. This comprehensive approach ensures that no time is wasted in identifying the exact cause of the patient’s distress, allowing for the correct life-saving treatment path to be initiated without delay.

Advanced post-processing techniques now allow surgeons to view the dissection in high-fidelity 3D models. This technological leap enables the surgical team to map out the placement of stents or grafts with millimeter precision before even entering the operating room. Such preparation reduces the time spent under anesthesia and improves the overall prognosis for the patient, marking a significant advancement in vascular medicine.

The integration of rapid imaging, expert radiologic interpretation, and surgical readiness represents the best defense against this silent killer. By prioritizing speed and accuracy, the medical community continues to improve survival rates for those suffering from aortic events. Whether the diagnosis leads to emergency open-heart surgery or careful monitoring of blood pressure in a high-dependency unit, the Aortic Dissection CT serves as the indispensable map that guides medical professionals through one of the most challenging cardiovascular emergencies. Early recognition of symptoms, combined with the swift application of this imaging technology, remains the most effective strategy for ensuring positive patient outcomes in the face of an unpredictable and dangerous vascular emergency.

Related Terms:

  • aortic dissection x ray
  • ct scan for aortic dissection
  • aortic dissection ct without contrast
  • aortic dissection ct angiography
  • type a stanford aortic dissection
  • aortic dissection types