Rp

Anterior Shoulder Dislocation

Anterior Shoulder Dislocation

An Anterior Shoulder Dislocation is one of the most common orthopedic emergencies encountered in clinical practice, accounting for nearly 95% of all shoulder dislocations. The shoulder joint, known anatomically as the glenohumeral joint, is a highly mobile ball-and-socket joint that relies heavily on soft tissues for stability. When an external force or extreme range of motion pushes the humeral head out of the glenoid cavity in a forward direction, the result is both painful and debilitating. Understanding the mechanisms, symptoms, and rehabilitation requirements is essential for anyone who has experienced this injury or is involved in the care of an athlete or patient prone to joint instability.

Shoulder anatomy and injury

Understanding the Mechanism of Injury

The glenohumeral joint is designed for mobility rather than stability. An Anterior Shoulder Dislocation typically occurs when the arm is positioned in abduction, external rotation, and extension. This specific position, often referred to as the “vulnerable position,” leaves the anterior capsule and ligaments of the shoulder joint unsupported. Common scenarios that lead to this injury include:

  • Falling onto an outstretched hand (FOOSH injury).
  • Direct impact to the posterior aspect of the shoulder.
  • Sports-related trauma, such as a tackle in football or a awkward landing in gymnastics.
  • High-velocity collisions that force the humeral head forward out of its socket.

Recognizing the Symptoms

The signs of an Anterior Shoulder Dislocation are usually immediate and unmistakable. The sudden displacement of the bone results in significant trauma to the surrounding tissues, nerves, and blood vessels. Patients often report hearing or feeling a “pop” at the time of injury. Key symptoms include:

  • Severe pain: Intense, deep-seated pain that prevents any movement of the arm.
  • Visual Deformity: The shoulder appears “squared off” rather than rounded, often with a prominent bump where the humeral head has shifted.
  • Functional Loss: The patient is usually unable to rotate the arm or lift it away from the body.
  • Neurological sensations: Numbness or tingling down the arm, which may indicate temporary nerve stretching.

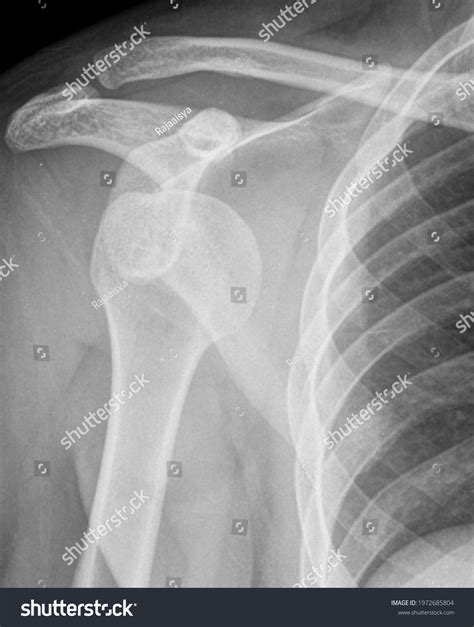
Diagnostic Procedures and Imaging

Before any treatment is attempted, a healthcare provider must assess the stability and neurovascular status of the limb. Diagnostic imaging is critical to rule out fractures—particularly Bankart lesions or Hill-Sachs deformities, which are common complications. The following table highlights common clinical findings associated with the injury:

Diagnostic Method Purpose
X-ray (AP and Scapular Y views) Confirms the direction of dislocation and excludes fractures.
Physical Exam Assesses neurovascular health (checking radial pulse and sensation).
MRI Evaluates soft tissue, specifically the labrum and rotator cuff.

⚠️ Note: Always seek emergency medical attention if you suspect a dislocation. Attempting to "pop" the shoulder back into place without professional guidance can cause severe nerve damage or fracture the bone.

Treatment and Reduction Techniques

The immediate goal is reduction—the process of guiding the humeral head back into the glenoid socket. This procedure is performed by medical professionals using various techniques, including the Stimson technique, traction-countertraction, or external rotation methods. Once the shoulder is reduced, the primary focus shifts to immobilization and protection.

Physical therapy and recovery

Rehabilitation Protocols

Rehabilitation following an Anterior Shoulder Dislocation is a multi-phased process designed to restore strength and prevent recurrent instability. The timeline varies based on age, activity level, and whether surgery was required.

  • Phase 1: Protection. Use of a sling to immobilize the shoulder, typically for 1–3 weeks. Gentle pendulum exercises may be introduced to prevent total stiffness.
  • Phase 2: Range of Motion. Progressive movement exercises to restore flexion and rotation, ensuring the joint capsule does not tighten excessively.
  • Phase 3: Strengthening. Focus on the rotator cuff muscles (supraspinatus, infraspinatus, teres minor, subscapularis) and scapular stabilizers to provide better dynamic support for the joint.
  • Phase 4: Return to Activity. Sport-specific drills and plyometric exercises that prepare the shoulder for the high-impact stresses of athletics.

💡 Note: Consistency with physical therapy exercises is the strongest predictor of preventing chronic shoulder instability. Skipping exercises can lead to secondary frozen shoulder or long-term joint laxity.

Preventing Future Episodes

Recurrence is a significant concern for younger, active individuals. Because the ligaments are often stretched or torn during the initial event, the joint becomes more susceptible to future injuries. Preventing a repeat Anterior Shoulder Dislocation involves:

  • Maintaining superior rotator cuff strength.
  • Improving proprioception and neuromuscular control of the shoulder girdle.
  • Avoiding high-risk positions where the arm is forced into extreme external rotation and abduction.
  • Using protective bracing during contact sports if recommended by a physician.

Managing an Anterior Shoulder Dislocation requires a balanced approach of immediate professional reduction followed by dedicated, long-term rehabilitation. While the initial trauma is severe, the majority of patients recover full functionality through structured physical therapy and careful management of their activities. By focusing on strengthening the supporting muscles and avoiding risky, high-stress positions during the healing process, patients can significantly reduce the risk of secondary injuries. Whether dealing with a first-time event or recurring instability, early intervention remains the cornerstone of maintaining a healthy, mobile shoulder joint for years to come.

Related Terms:

  • anterior shoulder dislocation xr
  • anterior shoulder dislocation x ray
  • anterior shoulder dislocation treatment
  • anterior shoulder dislocation rehab protocol
  • anterior shoulder dislocation wikem
  • anterior shoulder dislocation icd 10