Rp

Anterior Inferior Iliac Spine

Anterior Inferior Iliac Spine

The human pelvis is a complex structural marvel, serving as the central hub for weight distribution, movement, and muscle attachment. Among its many bony landmarks, the Anterior Inferior Iliac Spine, commonly referred to as the AIIS, plays a critical role in hip biomechanics and athletic performance. While it might sound like an obscure anatomical term reserved for textbooks, understanding this specific point on the hip bone is essential for athletes, physical therapists, and anyone experiencing chronic groin or hip pain. Located on the lower part of the ilium, the AIIS serves as the primary origin point for the rectus femoris muscle—a major component of the quadriceps group—making it a focal point for both explosive power and potential overuse injuries.

Anatomical Significance of the AIIS

The Anterior Inferior Iliac Spine is a small, bony prominence found on the anterior border of the ilium, situated just below the Anterior Superior Iliac Spine (ASIS). Its anatomical positioning is vital because it acts as the anchor for the straight head of the rectus femoris. This muscle is unique because it is the only part of the quadriceps that crosses both the hip and the knee joints. Because of this dual-joint involvement, the AIIS is subject to significant tension during running, jumping, and kicking motions.

When the rectus femoris contracts, it generates a pull on the AIIS. In healthy individuals, the bone is strong enough to withstand these forces. However, in younger, skeletally immature athletes whose bones are still developing, this pull can be excessive, leading to unique injury patterns. Understanding the relationship between the AIIS and the surrounding musculature is the first step toward effective injury prevention and rehabilitation.

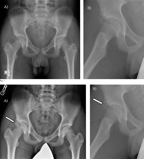
Common Injury Patterns

Injuries to the AIIS are most frequently seen in sports that require rapid acceleration or repetitive kicking, such as soccer, football, and sprinting. The most common type of injury is an avulsion fracture. An avulsion fracture occurs when the muscle contracts so forcefully that it pulls a small piece of bone away from the attachment site.

Other conditions associated with the AIIS include:

  • AIIS Impingement: This happens when the bony prominence of the AIIS is structurally enlarged, causing it to bump against the neck of the femur during hip flexion.
  • Tendinopathy: Chronic inflammation of the rectus femoris tendon at its origin on the AIIS, often resulting from overuse.
  • Apophysitis: Inflammation of the growth plate, typically seen in adolescents whose bones haven't fully fused.

⚠️ Note: If you experience sharp, localized pain in the front of your hip during explosive movements, seek a professional diagnosis to rule out an avulsion fracture versus a simple muscle strain.

Comparison of Hip Landmarks

Landmark Primary Function Associated Muscle
Anterior Superior Iliac Spine (ASIS) Attachment for sartorius and TFL Sartorius
Anterior Inferior Iliac Spine (AIIS) Attachment for rectus femoris Rectus Femoris
Ischial Tuberosity Weight-bearing; attachment for hamstrings Hamstrings

Diagnosis and Imaging

Identifying issues involving the Anterior Inferior Iliac Spine often requires more than just a physical examination. While a physician can test for tenderness through palpation, imaging is necessary to determine the severity of the injury. Standard diagnostic procedures include:

  • X-rays: Highly effective for identifying bone fragments resulting from an avulsion fracture.
  • MRI (Magnetic Resonance Imaging): The gold standard for assessing soft tissue damage, such as inflammation in the rectus femoris tendon or deep muscle tears.
  • Ultrasound: Often used for dynamic assessment, allowing the doctor to see how the muscle behaves while the patient moves the hip.

Rehabilitation Strategies

Recovery from an AIIS-related injury requires a phased approach. Because the area is a primary site for muscle attachment, attempting to “work through” the pain can worsen the condition, potentially leading to chronic deformity or persistent inflammation. Rehabilitation generally follows these stages:

  1. Acute Phase: Focus on pain management, RICE (Rest, Ice, Compression, Elevation), and avoiding movements that trigger sharp pain.
  2. Mobility Phase: Once acute pain subsides, gentle range-of-motion exercises are introduced to prevent the hip joint from becoming stiff.
  3. Strengthening Phase: Gradual eccentric loading of the rectus femoris is essential to restore the tendon’s ability to handle force.
  4. Return to Sport: Implementing sport-specific drills, such as jogging, cutting, and explosive kicking, ensuring that the AIIS can handle high-intensity loads without recurrence.

💡 Note: Always consult with a physical therapist before beginning an aggressive stretching routine, as over-stretching an irritated rectus femoris can actually increase stress on the AIIS.

Prevention and Biomechanical Considerations

Preventing injuries to the Anterior Inferior Iliac Spine involves addressing underlying biomechanical imbalances. Athletes often prioritize training the big muscles while neglecting the deep stabilizing muscles of the core and hip. Strengthening the glutes and core can decrease the load on the hip flexors, thereby reducing the stress placed on the AIIS during movement.

Additionally, ensuring adequate flexibility—not just in the quadriceps but also in the hip flexor complex—helps to manage the tension that is transmitted to the bone. Incorporating regular foam rolling or deep tissue massage for the rectus femoris can help maintain muscle suppleness, decreasing the likelihood of the bone being "tugged" excessively during high-velocity athletic performance.

The Anterior Inferior Iliac Spine serves as a fundamental point of interest for both anatomy enthusiasts and those actively involved in sports. By recognizing the role this landmark plays in the mechanics of the rectus femoris, individuals can better appreciate the importance of proper training and recovery protocols. Whether it is an adolescent athlete navigating growth plate sensitivity or a seasoned runner dealing with chronic tendinopathy, understanding the anatomy allows for better decision-making regarding long-term hip health. Ultimately, maintaining a balance between strength, flexibility, and rest is the most effective way to protect this small but significant part of your skeletal structure, ensuring that your hip remains functional and pain-free for years to come.

Related Terms:

  • anterior inferior iliac spine anatomy
  • anterior inferior iliac spine avulsion
  • anterior inferior iliac spine radiology
  • posterior inferior iliac spine
  • aiis muscle attachments
  • anterior superior iliac spine