Fibula and Tibial Fracture | Rehab My Patient
Cleve

Fibula and Tibial Fracture | Rehab My Patient

1389 × 1400 px October 22, 2025 Peter Cleve

Fibula and Tibial Fracture | Rehab My Patient is a high-quality image in the Cleve collection, available at 1389 × 1400 pixels resolution — ideal for both digital and print use.

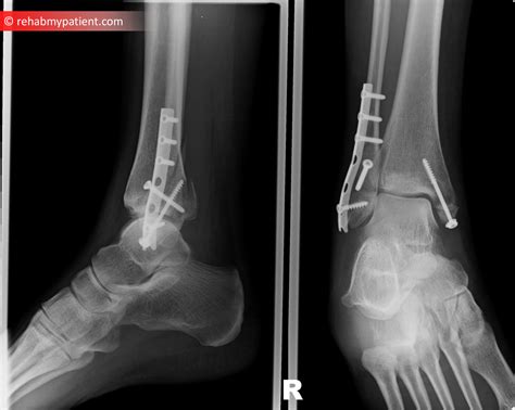
Wondering about your ankle fracture rehabilitation time? Learn what to expect during your recovery journey, from initial immobilization to regaining mobility. Discover key physical therapy exercises, healing stages, and expert tips to ensure a successful return to daily activities. Get the essential insights you need for effective bone healing and restoring full strength to your injured ankle.

Image Details

TitleFibula and Tibial Fracture | Rehab My Patient
Dimensions1389 × 1400 px
CategoryCleve
PublishedOctober 22, 2025
AuthorZeus
Downloads1,814
Views2,008

Read full article: Ankle Fracture Rehabilitation Time

// More Images