Rp

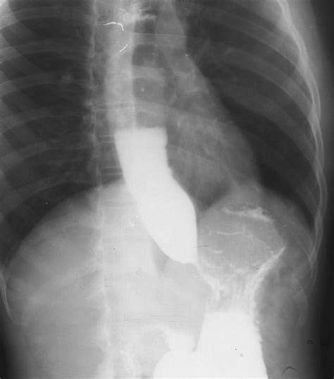
Achalasia Barium Swallow

Achalasia Barium Swallow

Difficulty swallowing, a persistent sensation of food getting stuck in your chest, and unexplained weight loss are symptoms that should never be ignored. When these issues arise, medical professionals often turn to specific diagnostic tools to understand what is happening within the esophagus. One of the most critical diagnostic procedures in this context is the Achalasia Barium Swallow. By using this imaging technique, gastroenterologists can visualize the functional and structural health of the esophageal passage, providing clarity where clinical symptoms alone might leave uncertainty.

Understanding the Condition: What is Achalasia?

Achalasia is a relatively rare, chronic disorder of the esophagus that makes it difficult for food and liquid to pass into the stomach. It occurs when the nerves in the esophagus become damaged or degenerate, preventing the lower esophageal sphincter (LES)—the muscular valve at the bottom of the esophagus—from relaxing properly during swallowing. Additionally, the normal rhythmic contractions of the esophagus, known as peristalsis, are lost.

Because the food cannot move efficiently into the stomach, it accumulates in the esophagus, leading to:

  • Regurgitation of undigested food.
  • Chronic cough or chest pain.
  • A feeling of “fullness” or pressure in the chest after eating.
  • Nutritional deficiencies due to decreased intake.

The Role of the Achalasia Barium Swallow

When a patient presents with dysphagia (difficulty swallowing), the Achalasia Barium Swallow serves as a cornerstone diagnostic test. During this procedure, the patient drinks a liquid containing barium, a contrast material that coats the inner lining of the esophagus. As the patient swallows, a radiologist uses fluoroscopy—a continuous X-ray beam—to observe the movement of the liquid down the esophagus in real-time.

The hallmark finding on a barium swallow study for achalasia is the "bird’s beak" appearance. This occurs because the LES remains tightly closed, causing the esophagus above it to dilate and taper to a narrow point, resembling the beak of a bird. This visual evidence is often the first major indicator that confirms a diagnosis of achalasia.

What to Expect During the Procedure

Preparing for the procedure is relatively straightforward, but it is essential to follow your healthcare provider’s specific instructions. Generally, you will be asked to fast for several hours before the exam to ensure your esophagus is clear. The process is non-invasive and typically follows these steps:

  1. Preparation: You will be asked to change into a gown and remove any jewelry or metal objects that might interfere with the X-ray images.
  2. Ingestion: Under the supervision of a radiologist, you will be asked to swallow the chalky, barium-containing liquid.
  3. Observation: You may be asked to swallow while standing in different positions or to lie down on the X-ray table so the radiologist can observe how gravity and body position affect the movement of the barium.
  4. Imaging: The fluoroscope captures a series of images, creating a “movie” of the swallowing process, which is then analyzed for transit time and structural abnormalities.

⚠️ Note: You may experience mild constipation following the procedure as the barium passes through your digestive system. It is highly recommended to drink plenty of water and increase your fiber intake for 24 to 48 hours after the exam to help flush the contrast agent out of your body.

Comparison of Diagnostic Modalities

While the barium swallow is excellent for identifying the structural narrowing and the “bird’s beak” sign, it is often used in conjunction with other tests to confirm the diagnosis and assess the severity of the condition. The following table illustrates how different tests compare in the workup for esophageal motility disorders.

Diagnostic Test Primary Purpose Clinical Utility
Achalasia Barium Swallow Structural/Functional observation High; identifies "bird's beak" and esophageal dilation.
High-Resolution Manometry Pressure measurement Definitive; measures LES pressure and peristaltic activity.
Upper Endoscopy (EGD) Visual inspection Rules out pseudo-achalasia caused by tumors or strictures.

Interpreting Results and Moving Forward

If your Achalasia Barium Swallow indicates signs of achalasia, your medical team will likely proceed to manometry to quantify the pressure within the LES. Once the diagnosis is formally confirmed, the focus shifts to management. While there is no cure for achalasia, several treatments are highly effective at relieving symptoms and improving quality of life.

Treatment options generally categorized by their invasiveness include:

  • Pneumatic Dilation: An endoscopic procedure where a balloon is inflated inside the LES to stretch the muscle fibers.
  • Heller Myotomy: A surgical procedure that cuts the muscles of the LES to allow food to pass more easily.
  • Peroral Endoscopic Myotomy (POEM): A minimally invasive endoscopic approach that achieves the same muscle-cutting effect as a myotomy without external incisions.
  • Botox Injections: Sometimes used for patients who are not candidates for surgery, though it is usually a temporary measure.

Long-Term Management Considerations

Living with achalasia requires ongoing vigilance regarding your diet and lifestyle. Even after successful treatment, many patients find that small, frequent meals are easier to manage than three large meals a day. Avoiding trigger foods that are difficult to chew or swallow—such as tough meats, bread, or fibrous vegetables—can help reduce the risk of irritation. It is also beneficial to stay upright for at least two hours after eating to allow gravity to assist in the movement of food into the stomach.

💡 Note: If you experience sudden, severe chest pain, fever, or an inability to swallow even liquids, seek immediate medical attention, as these could be signs of complications like aspiration or esophageal perforation.

Understanding your diagnostic journey is the first step toward effective treatment. The utilization of an Achalasia Barium Swallow provides an essential visual roadmap for doctors, helping to distinguish between benign motility issues and other more sinister esophageal pathologies. By combining this diagnostic clarity with modern, minimally invasive treatment techniques like POEM or Heller myotomy, most patients can see a significant improvement in their ability to eat, swallow, and maintain a healthy nutritional status. If you suspect you are experiencing symptoms of this condition, do not hesitate to reach out to a gastroenterologist to discuss these imaging options and develop a personalized plan of care that restores your comfort and quality of life.

Related Terms:

  • achalasia bird beak appearance
  • achalasia protocol barium swallow
  • how do you diagnose achalasia
  • achalasia barium swallow sign
  • can achalasia cause cancer
  • achalasia barium swallow findings