Cleve

What Does Gingivitis Look Like

What Does Gingivitis Look Like

Gingivitis is one of the most common oral health conditions affecting millions of people worldwide, yet many don't recognize its early warning signs until it progresses into more serious gum disease. Understanding what gingivitis looks like is crucial for early detection and treatment, as this inflammatory condition can be reversed with proper care when caught in its initial stages. The appearance of gingivitis varies from person to person, but there are distinct visual and physical characteristics that can help you identify whether your gums are showing signs of this condition. By learning to recognize these symptoms, you can take proactive steps to protect your oral health and prevent the progression to periodontitis, a more severe form of gum disease that can lead to tooth loss.

Visual Characteristics of Healthy Gums vs. Gingivitis

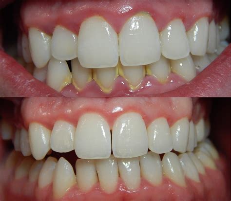
Before understanding what gingivitis looks like, it's essential to know what healthy gums should look like. Healthy gums typically appear pale pink in color, firm to the touch, and fit snugly around each tooth. They have a stippled texture similar to an orange peel and don't bleed during normal brushing or flossing. The gum line should be even and consistent, creating a smooth seal around the teeth.

When gingivitis develops, these characteristics change noticeably. The most obvious visual sign is a change in color—gums affected by gingivitis often appear red or dark red, sometimes even purplish in severe cases. This redness is caused by increased blood flow to the inflamed tissue. The gums may also look shiny or glossy rather than having their normal matte appearance, and they lose their firm texture, becoming soft and puffy instead.

Also read: Face Cosmetic Surgery Cost

Common Signs and Symptoms of Gingivitis

Recognizing gingivitis involves looking for multiple indicators beyond just color changes. Here are the primary signs to watch for:

  • Swollen or puffy gums: The gum tissue appears enlarged and may extend further over the teeth than normal
  • Bleeding gums: Blood appears when brushing, flossing, or even eating hard foods
  • Tender or painful gums: Discomfort when touching or applying pressure to the gum tissue
  • Receding gums: Gums pull away from teeth, making teeth appear longer
  • Bad breath: Persistent halitosis that doesn't improve with brushing
  • Gum sensitivity: Increased sensitivity to hot, cold, or sweet foods and beverages

⚠️ Note: Bleeding gums are never normal, even if it only happens occasionally. Any bleeding during brushing or flossing should be evaluated by a dental professional.

Stages of Gingivitis Appearance

Gingivitis doesn't develop overnight—it progresses through stages, and its appearance changes as the condition worsens. Understanding these stages can help you identify how advanced your gingivitis might be.

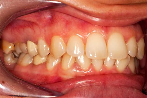
Early Stage Gingivitis

In the earliest stage, gingivitis may be barely noticeable. You might observe slight redness along the gum line, particularly between teeth where plaque tends to accumulate. The gums may feel slightly tender when touched, and you might notice occasional light bleeding when brushing vigorously. At this stage, the changes are subtle, and many people dismiss them as normal or temporary irritation.

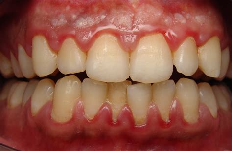
Moderate Gingivitis

As gingivitis progresses to a moderate stage, the symptoms become more pronounced. The redness spreads from the gum line to cover more of the gum tissue, and swelling becomes more obvious. Bleeding occurs more frequently and with less provocation—you might see blood in the sink after normal brushing. The gums may start to pull away from the teeth slightly, creating small pockets where bacteria can accumulate. Bad breath becomes more persistent and noticeable.

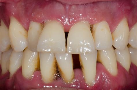
Advanced Gingivitis

In advanced gingivitis, the visual changes are unmistakable. The gums appear bright red or purple, significantly swollen, and may feel spongy to the touch. Bleeding occurs easily and frequently, sometimes even spontaneously. The gum tissue may begin to recede noticeably, exposing more of the tooth surface and potentially the root. At this stage, without intervention, gingivitis is on the verge of progressing to periodontitis, which involves bone loss and is irreversible.

Specific Areas Where Gingivitis Appears

Gingivitis doesn't always affect all areas of the mouth equally. Certain locations are more prone to developing this condition due to plaque accumulation patterns and cleaning difficulties.

Location Why It's Affected What to Look For
Between teeth (interdental areas) Difficult to clean, plaque accumulates easily Red, swollen triangular tissue between teeth, bleeding when flossing
Back molars Hard to reach with toothbrush, often neglected Puffy gums around wisdom teeth and rear molars, tenderness when chewing
Front lower teeth Saliva glands deposit minerals, leading to tartar buildup Visible tartar deposits, inflamed gum line along inner surface
Around dental work Crowns, bridges, and fillings create cleaning challenges Redness and swelling specifically around restorations

Differences Between Gingivitis and Other Gum Conditions

It's important to distinguish gingivitis from other oral health conditions that may have similar appearances. Periodontitis, the advanced form of gum disease, looks similar to severe gingivitis but includes additional signs like deep pockets between teeth and gums, loose teeth, and visible bone loss on X-rays. Unlike gingivitis, periodontitis causes permanent damage.

Gum abscesses appear as localized swellings filled with pus, usually accompanied by severe pain and sometimes a visible white or yellow spot. This is different from the generalized inflammation of gingivitis. Oral thrush can cause white patches on gums and tongue, while oral lichen planus creates white, lacy patterns on gum tissue—both distinct from gingivitis's characteristic redness and swelling.

Risk Factors That Affect Gingivitis Appearance

Several factors can influence how gingivitis manifests and how quickly it progresses. Smoking and tobacco use can mask some symptoms of gingivitis because nicotine constricts blood vessels, reducing bleeding even when inflammation is present. This makes gingivitis harder to detect in smokers, though the underlying damage continues.

Hormonal changes during pregnancy, menstruation, or menopause can make gums more sensitive and prone to inflammation, sometimes causing a condition called pregnancy gingivitis that appears more severe than typical gingivitis. Diabetes affects the body's ability to fight infection, often resulting in more aggressive gingivitis with pronounced swelling and bleeding.

Certain medications, including some blood pressure drugs, immunosuppressants, and anticonvulsants, can cause gum overgrowth that looks similar to gingivitis swelling. Nutritional deficiencies, particularly vitamin C deficiency, can cause gums to become swollen, bleed easily, and appear purplish—symptoms that overlap with gingivitis.

💊 Note: If you're taking medications that affect your gums, inform your dentist so they can adjust your treatment plan accordingly and help you maintain optimal oral health.

How to Self-Examine for Gingivitis

Regular self-examination can help you catch gingivitis early. Here's how to check your gums at home:

Stand in front of a well-lit mirror and gently pull your lip away from your teeth. Examine the color of your gums—they should be pale pink, not red or purple. Look at the gum line where your gums meet your teeth; this area should be firm and tight, not swollen or puffy. Check the spaces between your teeth for any redness or swelling of the triangular tissue (papillae).

Gently press on your gums with a clean finger. Healthy gums should feel firm and resilient, not soft or spongy. After brushing and flossing, check your toothbrush and floss for blood. While a tiny amount of blood occasionally might occur if you're flossing too hard, regular bleeding is a red flag.

Pay attention to your breath throughout the day. Persistent bad breath that doesn't improve after brushing could indicate bacterial buildup associated with gingivitis. Also notice if your gums feel tender or painful when eating, especially with crunchy or hard foods.

When Gingivitis Requires Professional Attention

While mild gingivitis can often be reversed with improved home care, certain situations require professional dental intervention. You should schedule an appointment with your dentist if you notice persistent bleeding that continues for more than a week despite improved oral hygiene, or if your gums are severely swollen to the point where they cover more of your teeth than usual.

Seek professional care if you experience pain or tenderness that interferes with eating or brushing, or if you notice your gums are receding, making your teeth appear longer. Any loose teeth or changes in how your teeth fit together when you bite should be evaluated immediately, as these may indicate progression to periodontitis.

If you have persistent bad breath that doesn't improve with thorough brushing, flossing, and tongue cleaning, this could signal advanced gingivitis or other oral health issues. Additionally, if you notice pus between your teeth and gums or any unusual discharge, seek dental care promptly as this may indicate an infection.

Treatment and Reversal of Gingivitis

The good news about gingivitis is that it's reversible with proper treatment. The primary goal is to remove the plaque and tartar that cause inflammation. Professional dental cleaning is often the first step, where a dentist or hygienist removes hardened plaque (tartar) that can't be eliminated with regular brushing.

At home, improving your oral hygiene routine is crucial. Brush twice daily for at least two minutes using a soft-bristled toothbrush and fluoride toothpaste. Pay special attention to the gum line, using gentle circular motions. Floss daily to remove plaque from between teeth where your toothbrush can't reach. Consider using an antimicrobial mouthwash to reduce bacteria.

Your dentist might recommend more frequent cleanings—every three to four months instead of the standard six months—until your gingivitis is under control. In some cases, they may prescribe antibiotic mouth rinses or gels to help reduce bacteria and inflammation.

🦷 Note: Consistency is key when treating gingivitis. You should see improvement within a few weeks of proper care, but maintaining good oral hygiene must become a lifelong habit to prevent recurrence.

Prevention Strategies for Maintaining Healthy Gums

Preventing gingivitis is far easier than treating it. The foundation of prevention is maintaining excellent oral hygiene through proper brushing technique, daily flossing, and regular dental checkups. Beyond these basics, several lifestyle factors play important roles.

Diet matters for gum health. Limit sugary and starchy foods that feed bacteria in your mouth. Instead, eat plenty of fruits and vegetables rich in vitamins C and D, which support gum health. Crunchy vegetables like carrots and celery can help clean teeth naturally. Stay hydrated by drinking plenty of water throughout the day, which helps wash away food particles and bacteria.

If you smoke or use tobacco products, quitting is one of the best things you can do for your gum health. Tobacco use significantly increases your risk of gingivitis and makes it harder to treat. Manage stress through healthy outlets, as stress can weaken your immune system and make you more susceptible to gum inflammation.

Replace your toothbrush every three to four months, or sooner if the bristles become frayed. Consider using an electric toothbrush, which studies show can be more effective at removing plaque than manual brushing. If you have difficulty with traditional floss, try floss picks, interdental brushes, or water flossers to make cleaning between teeth easier.

Understanding what gingivitis looks like empowers you to take control of your oral health and catch problems early when they’re most treatable. The characteristic red, swollen, bleeding gums of gingivitis are your body’s warning signal that bacteria and plaque have triggered an inflammatory response. By recognizing these signs promptly and taking action through improved oral hygiene and professional dental care, you can reverse gingivitis and restore your gums to health. Remember that healthy gums are the foundation of a healthy smile, and maintaining them requires consistent daily care and regular dental visits. Don’t ignore the early warning signs—your gums are telling you something important, and addressing gingivitis now can prevent more serious dental problems down the road. With proper attention and care, you can keep your gums pink, firm, and healthy for life.

Related Terms:

  • pictures of gingivitis symptoms
  • gingivitis pictures before after
  • pictures of gums with gingivitis
  • bad gingivitis pictures
  • gingivitis stages pictures
  • picture of gingivitis gum disease